Π”Π΅ΠΌΠΎΠ΄Π΅ΠΊΠΎΠ· Ρƒ кошСк: ΠΊΠ°ΠΊ Ρ€Π°ΡΠΏΠΎΠ·Π½Π°Ρ‚ΡŒ, Π»Π΅Ρ‡ΠΈΡ‚ΡŒ ΠΈ ΠΏΡ€Π΅Π΄ΠΎΡ‚Π²Ρ€Π°Ρ‚ΠΈΡ‚ΡŒ болСзнь

07.02.2026
18 ΠΌΠΈΠ½.
185
0
0
Π’Π°Ρ€Π²Π°Ρ€Π° Π“ΠΎΡ€ΠΈΡ‡ΠΊΠΈΠ½Π°
Π’Π°Ρ€Π²Π°Ρ€Π° Π“ΠΎΡ€ΠΈΡ‡ΠΊΠΈΠ½Π°
Π’Π΅Ρ€Π°ΠΏΠ΅Π²Ρ‚, ΠΎΡ„Ρ‚Π°Π»ΡŒΠΌΠΎΠ»ΠΎΠ³

Π‘ΠΎΠ΄Π΅Ρ€ΠΆΠ°Π½ΠΈΠ΅

  1. КСйс Π²Π΅Ρ‚Π΅Ρ€ΠΈΠ½Π°Ρ€Π° — Π»Π΅Ρ‡Π΅Π½ΠΈΠ΅ Π΄Π΅ΠΌΠΎΠ΄Π΅ΠΊΠΎΠ·Π° Ρƒ кошСк
  2. Π§Ρ‚ΠΎ Ρ‚Π°ΠΊΠΎΠ΅ Π΄Π΅ΠΌΠΎΠ΄Π΅ΠΊΠΎΠ· Ρƒ кошки
  3. Demodex cati vs Demodex gatoi
    1. Demodex cati
    2. Demodex gatoi
  4. Π‘ΠΈΠΌΠΏΡ‚ΠΎΠΌΡ‹ Π΄Π΅ΠΌΠΎΠ΄Π΅ΠΊΠΎΠ·Π° Ρƒ кошСк
    1. Локализованная Ρ„ΠΎΡ€ΠΌΠ°
    2. ГСнСрализованная Ρ„ΠΎΡ€ΠΌΠ°
  5. Диагностика Π΄Π΅ΠΌΠΎΠ΄Π΅ΠΊΠΎΠ·Π° Ρƒ кошСк
    1. Π“Π»ΡƒΠ±ΠΎΠΊΠΈΠΉ соскоб ΠΊΠΎΠΆΠΈ: Π·ΠΎΠ»ΠΎΡ‚ΠΎΠΉ стандарт
    2. Π‘ΠΊΠΎΡ‚Ρ‡-тСст (tape impression)
    3. Врихоскопия (исслСдованиС Π²Ρ‹Ρ‰ΠΈΠΏΠ°Π½Π½Ρ‹Ρ… волос)
    4. Цитология (ΠΊΠΎΠΆΠ½Ρ‹Π΅ ΠΎΡ‚ΠΏΠ΅Ρ‡Π°Ρ‚ΠΊΠΈ)
  6. Π§Ρ‚ΠΎ Π½Π°Π΄ΠΎ ΡƒΡ‡Π΅ΡΡ‚ΡŒ послС диагностики
  7. ΠŸΠΎΡ‡Π΅ΠΌΡƒ развиваСтся Π΄Π΅ΠΌΠΎΠ΄Π΅ΠΊΠΎΠ·
  8. Π§Ρ‚ΠΎ я дСлаю ΠΏΡ€ΠΈ ΠΎΠ±Π½Π°Ρ€ΡƒΠΆΠ΅Π½ΠΈΠΈ Π΄Π΅ΠΌΠΎΠ΄Π΅ΠΊΠΎΠ·Π°
  9. Как Π»Π΅Ρ‡ΠΈΡ‚ΡŒ Π΄Π΅ΠΌΠΎΠ΄Π΅ΠΊΠΎΠ· Ρƒ кошСк
    1. Π‘ΠΎΠ²Ρ€Π΅ΠΌΠ΅Π½Π½Ρ‹Π΅ ΠΏΡ€Π΅ΠΏΠ°Ρ€Π°Ρ‚Ρ‹: изоксазолины
    2. ΠšΠ»Π°ΡΡΠΈΡ‡Π΅ΡΠΊΠΈΠ΅ ΠΌΠ΅Ρ‚ΠΎΠ΄Ρ‹
    3. Π”ΠΎΠΏΠΎΠ»Π½ΠΈΡ‚Π΅Π»ΡŒΠ½Ρ‹Π΅ ΠΏΡ€Π΅ΠΏΠ°Ρ€Π°Ρ‚Ρ‹
    4. Π”ΠΎΠΏΠΎΠ»Π½ΠΈΡ‚Π΅Π»ΡŒΠ½ΠΎΠ΅ Π»Π΅Ρ‡Π΅Π½ΠΈΠ΅, Ссли Π΅ΡΡ‚ΡŒ ослоТнСния
  10. ΠŸΠΎΡ‡Π΅ΠΌΡƒ Ρ‚Π°ΠΊ ΠΌΠ½ΠΎΠ³ΠΎ Π²Π»Π°Π΄Π΅Π»ΡŒΡ†Π΅Π² ΠΏΡ€Π΅Ρ€Ρ‹Π²Π°ΡŽΡ‚ Π»Π΅Ρ‡Π΅Π½ΠΈΠ΅ Ρ€Π°Π½ΠΎ
  11. Π€ΠΎΡ€ΠΌΡ‹ Π±ΠΎΠ»Π΅Π·Π½ΠΈ — ΡƒΡ…ΠΎ ΠΈ Π»Π°ΠΏΡ‹
  12. ΠŸΡ€ΠΎΡ„ΠΈΠ»Π°ΠΊΡ‚ΠΈΠΊΠ°: ΠΊΠ°ΠΊ ΠΈΠ·Π±Π΅ΠΆΠ°Ρ‚ΡŒ Π΄Π΅ΠΌΠΎΠ΄Π΅ΠΊΠΎΠ·Π°
Π‘Ρ€ΠΎΡ‡Π½Ρ‹ΠΉ Π²Ρ‹Π·ΠΎΠ² Π²Π΅Ρ‚Π΅Ρ€ΠΈΠ½Π°Ρ€Π°
ΠœΡ‹ всСгда Π³ΠΎΡ‚ΠΎΠ²Ρ‹ ΠΏΠΎΠΌΠΎΡ‡ΡŒ ΠΈ ΠΎΡ‚Π²Π΅Ρ‚ΠΈΡ‚ΡŒ Π½Π° Π»ΡŽΠ±Ρ‹Π΅ вопросы. ΠžΠ±Ρ€Π°Ρ‰Π°ΠΉΡ‚Π΅ΡΡŒ!

Π”Π΅ΠΌΠΎΠ΄Π΅ΠΊΠΎΠ· — это болСзнь, ΠΊΠΎΡ‚ΠΎΡ€ΡƒΡŽ Π»Π΅Π³ΠΊΠΎ ΠΏΡ€ΠΎΠΏΡƒΡΡ‚ΠΈΡ‚ΡŒ Π½Π° Ρ€Π°Π½Π½ΠΈΡ… стадиях. Π­Ρ‚ΠΎ Π½Π΅ ΠΎΡ‡Π΅Π²ΠΈΠ΄Π½ΠΎΠ΅ Π·Π°Π±ΠΎΠ»Π΅Π²Π°Π½ΠΈΠ΅, ΠΊΠ°ΠΊ, Π½Π°ΠΏΡ€ΠΈΠΌΠ΅Ρ€, абсцСсс ΠΈΠ»ΠΈ ΠΏΠ΅Ρ€Π΅Π»ΠΎΠΌ. Π­Ρ‚ΠΎ тихая инфСкция, которая ΠΌΠΎΠΆΠ΅Ρ‚ ΠΏΡ€ΠΎΠ³Ρ€Π΅ΡΡΠΈΡ€ΠΎΠ²Π°Ρ‚ΡŒ, ΠΏΠΎΠΊΠ° хозяин Π½Π΅ Π·Π°ΠΌΠ΅Ρ‚ΠΈΡ‚. И часто ΠΏΠ΅Ρ€Π²Ρ‹ΠΉ Π²ΠΈΠ΄ΠΈΠΌΡ‹ΠΉ ΠΏΡ€ΠΈΠ·Π½Π°ΠΊ — это симптом Π±ΠΎΠ»Π΅Π΅ Π³Π»ΡƒΠ±ΠΎΠΊΠΎΠΉ ΠΏΡ€ΠΎΠ±Π»Π΅ΠΌΡ‹.

Π’ этой ΡΡ‚Π°Ρ‚ΡŒΠ΅ я расскаТу Π²Π°ΠΌ всё ΠΎ Π΄Π΅ΠΌΠΎΠ΄Π΅ΠΊΠΎΠ·Π΅: ΠΎΡ‚ Ρ‚ΠΎΠ³ΠΎ, Ρ‡Ρ‚ΠΎ это Ρ‚Π°ΠΊΠΎΠ΅ ΠΈ ΠΊΠ°ΠΊ это начинаСтся, Π΄ΠΎ Ρ‚ΠΎΠ³ΠΎ, ΠΊΠ°ΠΊ Π΅Π³ΠΎ Π΄ΠΈΠ°Π³Π½ΠΎΡΡ‚ΠΈΡ€ΠΎΠ²Π°Ρ‚ΡŒ, Π»Π΅Ρ‡ΠΈΡ‚ΡŒ ΠΈ ΠΏΡ€Π΅Π΄ΠΎΡ‚Π²Ρ€Π°Ρ‚ΠΈΡ‚ΡŒ. И, Ρ‡Ρ‚ΠΎ самоС Π²Π°ΠΆΠ½ΠΎΠ΅, я объясню, ΠΏΠΎΡ‡Π΅ΠΌΡƒ Π΄Π΅ΠΌΠΎΠ΄Π΅ΠΊΠΎΠ· Ρƒ вашСй кошки ΠΌΠΎΠΆΠ΅Ρ‚ ΠΎΠ·Π½Π°Ρ‡Π°Ρ‚ΡŒ, Ρ‡Ρ‚ΠΎ Π½ΡƒΠΆΠ½ΠΎ ΠΊΠΎΠΏΠ°Ρ‚ΡŒ Π³Π»ΡƒΠ±ΠΆΠ΅.

Автор: Π’Π°Ρ€Π²Π°Ρ€Π° Π“ΠΎΡ€ΠΈΡ‡ΠΊΠΈΠ½Π°, Π²Π΅Ρ‚Π΅Ρ€ΠΈΠ½Π°Ρ€Π½Ρ‹ΠΉ Π²Ρ€Π°Ρ‡-Ρ‚Π΅Ρ€Π°ΠΏΠ΅Π²Ρ‚ ΠΈ ΠΎΡ„Ρ‚Π°Π»ΡŒΠΌΠΎΠ»ΠΎΠ³, «Laska Pets»

облысСниС Π²ΠΎΠΊΡ€ΡƒΠ³ Π³Π»Π°Π· Ρƒ кошки

КСйс Π²Π΅Ρ‚Π΅Ρ€ΠΈΠ½Π°Ρ€Π° — Π»Π΅Ρ‡Π΅Π½ΠΈΠ΅ Π΄Π΅ΠΌΠΎΠ΄Π΅ΠΊΠΎΠ·Π° Ρƒ кошСк

Начну сразу с кСйса, Ρ‡Ρ‚ΠΎΠ±Ρ‹ Π²Ρ‹ ΠΏΠΎΠ½ΠΈΠΌΠ°Π»ΠΈ со старта — с Ρ‡Π΅ΠΌ ΠΌΡ‹ ΠΈΠΌΠ΅Π΅ΠΌ Π΄Π΅Π»ΠΎ. Π”Π²Π° мСсяца Π½Π°Π·Π°Π΄ ΠΊΠΎ ΠΌΠ½Π΅ ΠΏΡ€ΠΈΡˆΠ»Π° Π²Π»Π°Π΄Π΅Π»ΠΈΡ†Π° пСрсидской кошки с ΠΆΠ°Π»ΠΎΠ±ΠΎΠΉ Π½Π° "странныС ΠΎΠ±Π»Ρ‹ΡΠ΅Π²ΡˆΠΈΠ΅ пятна Π²ΠΎΠΊΡ€ΡƒΠ³ Π³Π»Π°Π·". Кошка прСкрасно сСбя чувствовала, Π½ΠΈΠΊΠ°ΠΊΠΈΡ… ΠΏΡ€ΠΈΠ·Π½Π°ΠΊΠΎΠ² Π±ΠΎΠ»Π΅Π·Π½ΠΈ. АппСтит Π² Π½ΠΎΡ€ΠΌΠ΅, Π°ΠΊΡ‚ΠΈΠ²Π½ΠΎΡΡ‚ΡŒ Π½ΠΎΡ€ΠΌΠ°Π»ΡŒΠ½Π°Ρ, ΠΏΠΎΠ²Π΅Π΄Π΅Π½ΠΈΠ΅ Π½Π΅ измСнилось. Π’Π»Π°Π΄Π΅Π»ΠΈΡ†Π° Π±Ρ‹Π»Π° ΡƒΠ±Π΅ΠΆΠ΄Π΅Π½Π°, Ρ‡Ρ‚ΠΎ это просто космСтичСская ΠΏΡ€ΠΎΠ±Π»Π΅ΠΌΠ°, Ρ‡Ρ‚ΠΎ волосы отрастут сами.

Но ΠΊΠΎΠ³Π΄Π° я ΠΏΡ€ΠΎΠ²Π΅Π»Π° ΠΌΠΈΠΊΡ€ΠΎΡΠΊΠΎΠΏΠΈΡŽ соскоба с этих "пятСн", ΠΌΠΎΡ‘ ΠΏΡ€Π΅Π΄ΠΏΠΎΠ»ΠΎΠΆΠ΅Π½ΠΈΠ΅ ΠΏΠΎΠ΄Ρ‚Π²Π΅Ρ€Π΄ΠΈΠ»ΠΎΡΡŒ — Π΄Π΅ΠΌΠΎΠ΄Π΅ΠΊΠΎΠ·. Π’ΠΎΡ‡Π½Π΅Π΅, инфСкция, вызванная ΠΊΠ»Π΅Ρ‰ΠΎΠΌ Demodex cati.

Π§Ρ‚ΠΎ ΠΏΡ€ΠΎΠΈΠ·ΠΎΡˆΠ»ΠΎ дальшС, Π±Ρ‹Π»ΠΎ ΡƒΠ΄ΠΈΠ²ΠΈΡ‚Π΅Π»ΡŒΠ½ΠΎ. Π― пригласила Π²Π»Π°Π΄Π΅Π»ΠΈΡ†Ρƒ ΠΎΠ±ΡΡƒΠ΄ΠΈΡ‚ΡŒ Ρ€Π΅Π·ΡƒΠ»ΡŒΡ‚Π°Ρ‚Ρ‹ ΠΈ Ρ€Π΅ΠΊΠΎΠΌΠ΅Π½Π΄ΠΎΠ²Π°Π» ΠΏΠΎΠ»Π½ΠΎΠ΅ обслСдованиС, Π²ΠΊΠ»ΡŽΡ‡Π°Ρ тСсты Π½Π° FIV ΠΈ FeLV, Π°Π½Π°Π»ΠΈΠ·Ρ‹ ΠΊΡ€ΠΎΠ²ΠΈ ΠΈ Π±ΠΈΠΎΡ…ΠΈΠΌΠΈΡŽ. Π’Π»Π°Π΄Π΅Π»ΠΈΡ†Π° Π±Ρ‹Π»Π° Π² шокС. "Но это ΠΆΠ΅ просто коТная болСзнь? ΠŸΠΎΡ‡Π΅ΠΌΡƒ тСсты Π½Π° вирусы?" ΠŸΠΎΡ‚ΠΎΠΌΡƒ Ρ‡Ρ‚ΠΎ ΠΏΡ€ΠΈ Π³Π΅Π½Π΅Ρ€Π°Π»ΠΈΠ·ΠΎΠ²Π°Π½Π½ΠΎΠΉ Ρ„ΠΎΡ€ΠΌΠ΅ Π΄Π΅ΠΌΠΎΠ΄Π΅ΠΊΠΎΠ·Π° Ρƒ взрослой кошки это всСгда ΡƒΠΊΠ°Π·Ρ‹Π²Π°Π΅Ρ‚ Π½Π° ΠΈΠΌΠΌΡƒΠ½ΠΎΡΡƒΠΏΡ€Π΅ΡΡΠΈΡŽ, Π½Π° ΠΊΠ°ΠΊΡƒΡŽ-Ρ‚ΠΎ ΡΠΊΡ€Ρ‹Ρ‚ΡƒΡŽ ΠΏΡ€ΠΎΠ±Π»Π΅ΠΌΡƒ.

Оказалось, Ρ‡Ρ‚ΠΎ кошка Π±Ρ‹Π»Π° FIV-ΠΏΠΎΠ·ΠΈΡ‚ΠΈΠ²Π½Π°. Π’Π»Π°Π΄Π΅Π»ΠΈΡ†Π° Π½Π΅ Π·Π½Π°Π»Π° ΠΎΠ± этом. Π”Π΅ΠΌΠΎΠ΄Π΅ΠΊΠΎΠ· Π±Ρ‹Π» просто "красным Ρ„Π»Π°Π³ΠΎΠΌ" — ΠΏΠ΅Ρ€Π²Ρ‹ΠΌ Π²ΠΈΠ΄ΠΈΠΌΡ‹ΠΌ ΠΏΡ€ΠΈΠ·Π½Π°ΠΊΠΎΠΌ Ρ‚ΠΎΠ³ΠΎ, Ρ‡Ρ‚ΠΎ иммунная систСма кошки Π±Ρ‹Π»Π° Π½Π°Ρ€ΡƒΡˆΠ΅Π½Π°.

Π²Π΅Ρ‚Π΅Ρ€ΠΈΠ½Π°Ρ€ осматриваСт ΠΊΠΎΡˆΠΊΡƒ

Π§Ρ‚ΠΎ Ρ‚Π°ΠΊΠΎΠ΅ Π΄Π΅ΠΌΠΎΠ΄Π΅ΠΊΠΎΠ· Ρƒ кошки

Π”Π΅ΠΌΠΎΠ΄Π΅ΠΊΠΎΠ· — это ΠΏΠ°Ρ€Π°Π·ΠΈΡ‚Π°Ρ€Π½ΠΎΠ΅ Π·Π°Π±ΠΎΠ»Π΅Π²Π°Π½ΠΈΠ΅ ΠΊΠΎΠΆΠΈ, Π²Ρ‹Π·Ρ‹Π²Π°Π΅ΠΌΠΎΠ΅ ΠΊΡ€ΠΎΡˆΠ΅Ρ‡Π½Ρ‹ΠΌΠΈ ΠΊΠ»Π΅Ρ‰Π°ΠΌΠΈ Ρ€ΠΎΠ΄Π° Demodex. Π­Ρ‚ΠΈ ΠΊΠ»Π΅Ρ‰ΠΈ Π½Π°ΡΡ‚ΠΎΠ»ΡŒΠΊΠΎ малСнькиС, Ρ‡Ρ‚ΠΎ Π½Π΅Π²ΠΎΠΎΡ€ΡƒΠΆΡ‘Π½Π½Ρ‹ΠΌ Π³Π»Π°Π·ΠΎΠΌ ΠΈΡ… Π½Π΅ Π²ΠΈΠ΄Π½ΠΎ. Они ΠΆΠΈΠ²ΡƒΡ‚ Π² волосяных Ρ„ΠΎΠ»Π»ΠΈΠΊΡƒΠ»Π°Ρ… ΠΈ ΡΠ°Π»ΡŒΠ½Ρ‹Ρ… ΠΆΠ΅Π»Π΅Π·Π°Ρ… ΠΊΠΎΠΆΠΈ кошки, Π³Π΄Π΅ ΠΎΠ½ΠΈ Ρ€Π°Π·ΠΌΠ½ΠΎΠΆΠ°ΡŽΡ‚ΡΡ ΠΈ ΠΏΠΈΡ‚Π°ΡŽΡ‚ΡΡ ΠΊΠ»Π΅Ρ‚ΠΊΠ°ΠΌΠΈ ΠΊΠΎΠΆΠΈ ΠΈ сСкрСтом ΡΠ°Π»ΡŒΠ½Ρ‹Ρ… ΠΆΠ΅Π»Ρ‘Π·.

На ΠΏΠ΅Ρ€Π²Ρ‹ΠΉ взгляд, это Π·Π²ΡƒΡ‡ΠΈΡ‚ уТасно. Но Π²ΠΎΡ‚ Π² Ρ‡Ρ‘ΠΌ вся ΡΡƒΡ‚ΡŒ: Ρƒ Π°Π±ΡΠΎΠ»ΡŽΡ‚Π½ΠΎ Π·Π΄ΠΎΡ€ΠΎΠ²ΠΎΠΉ кошки с ΠΊΡ€Π΅ΠΏΠΊΠΎΠΉ ΠΈΠΌΠΌΡƒΠ½Π½ΠΎΠΉ систСмой эти ΠΊΠ»Π΅Ρ‰ΠΈ ΠΏΡ€ΠΈΡΡƒΡ‚ΡΡ‚Π²ΡƒΡŽΡ‚ Π½Π° ΠΊΠΎΠΆΠ΅, Π½ΠΎ Π½ΠΈΡ‡Π΅Π³ΠΎ Π½Π΅ Π΄Π΅Π»Π°ΡŽΡ‚. Π˜ΠΌΠΌΡƒΠ½Π½Π°Ρ систСма Π΄Π΅Ρ€ΠΆΠΈΡ‚ ΠΈΡ… ΠΏΠΎΠ΄ ΠΊΠΎΠ½Ρ‚Ρ€ΠΎΠ»Π΅ΠΌ, ΠΈ кошка Π½ΠΈΠΊΠΎΠ³Π΄Π° Π½Π΅ Π±ΠΎΠ»Π΅Π΅Ρ‚. Π˜Ρ… присутствиС Π½Π΅ Π²Ρ‹Π·Ρ‹Π²Π°Π΅Ρ‚ Π½ΠΈΠΊΠ°ΠΊΠΈΡ… симптомов.

Π‘ΠΎΠ»Π΅Π·Π½ΡŒ развиваСтся Ρ‚ΠΎΠ»ΡŒΠΊΠΎ Ρ‚ΠΎΠ³Π΄Π°, ΠΊΠΎΠ³Π΄Π° иммунная систСма ослаблСна ΠΈΠ»ΠΈ Π½Π°Ρ€ΡƒΡˆΠ΅Π½Π°. Π’ΠΎΠ³Π΄Π° ΠΊΠ»Π΅Ρ‰ΠΈ Π½Π°Ρ‡ΠΈΠ½Π°ΡŽΡ‚ Π±Π΅ΡΠΊΠΎΠ½Ρ‚Ρ€ΠΎΠ»ΡŒΠ½ΠΎ Ρ€Π°Π·ΠΌΠ½ΠΎΠΆΠ°Ρ‚ΡŒΡΡ, поврСТдая ΠΊΠΎΠΆΡƒ ΠΈ вызывая воспалСниС, ΠΈΠ½Ρ„Π΅ΠΊΡ†ΠΈΠΈ ΠΈ, Π² ΠΊΠΎΠ½Π΅Ρ‡Π½ΠΎΠΌ ΠΈΡ‚ΠΎΠ³Π΅, Π²ΠΈΠ΄ΠΈΠΌΡ‹Π΅ пораТСния ΠΊΠΎΠΆΠΈ.

Π­Ρ‚ΠΎ ΠΎΡ‡Π΅Π½ΡŒ Π²Π°ΠΆΠ½Ρ‹ΠΉ ΠΌΠΎΠΌΠ΅Π½Ρ‚: Π΄Π΅ΠΌΠΎΠ΄Π΅ΠΊΠΎΠ· Ρƒ кошки — это Π½Π΅ просто коТная болСзнь. Π­Ρ‚ΠΎ симптом Ρ‚ΠΎΠ³ΠΎ, Ρ‡Ρ‚ΠΎ Ρ‡Ρ‚ΠΎ-Ρ‚ΠΎ Π½Π΅ Ρ‚Π°ΠΊ с ΠΈΠΌΠΌΡƒΠ½Π½ΠΎΠΉ систСмой.

ΠΊΠ°Ρ€Ρ‚ΠΈΠ½ΠΊΠ° Π΄Π΅ΠΌΠΎΠ΄Π΅ΠΊΠΎΠ·Π°, вирусы, ΠΊΠ»Π΅Ρ‚ΠΊΠΈ, схСма строСния

Demodex cati vs Demodex gatoi

БущСствуСт Π΄Π²Π° Π²ΠΈΠ΄Π° ΠΊΠ»Π΅Ρ‰Π΅ΠΉ Demodex, ΠΊΠΎΡ‚ΠΎΡ€Ρ‹Π΅ Π²ΡΡ‚Ρ€Π΅Ρ‡Π°ΡŽΡ‚ΡΡ Ρƒ кошСк: Demodex cati ΠΈ Demodex gatoi. Π­Ρ‚ΠΎ Π΄Π²Π° ΡΠΎΠ²Π΅Ρ€ΡˆΠ΅Π½Π½ΠΎ Ρ€Π°Π·Π½Ρ‹Ρ… сущСства с Ρ€Π°Π·Π½Ρ‹ΠΌΠΈ ΠΏΠΎΠ²Π΅Π΄Π΅Π½ΠΈΠ΅ΠΌ, ΠΏΠ°Ρ‚ΠΎΠ³Π΅Π½Π½ΠΎΡΡ‚ΡŒΡŽ ΠΈ ΡΠΏΠΎΡΠΎΠ±Π½ΠΎΡΡ‚ΡŒΡŽ ΠΊ ΠΏΠ΅Ρ€Π΅Π΄Π°Ρ‡Π΅. Π Π°Π·Π»ΠΈΡ‡ΠΈΠ΅ ΠΌΠ΅ΠΆΠ΄Ρƒ Π½ΠΈΠΌΠΈ ΠΊΡ€ΠΈΡ‚ΠΈΡ‡Π½ΠΎ для понимания Π±ΠΎΠ»Π΅Π·Π½ΠΈ.

Demodex cati

Demodex cati ΠΎΠ±ΠΈΡ‚Π°Π΅Ρ‚ Π³Π»ΡƒΠ±ΠΎΠΊΠΎ Π² волосяных Ρ„ΠΎΠ»Π»ΠΈΠΊΡƒΠ»Π°Ρ… ΠΈ ΡΠ°Π»ΡŒΠ½Ρ‹Ρ… ΠΆΠ΅Π»Π΅Π·Π°Ρ… кошки. Π­Ρ‚ΠΎ коммСнсал — ΠΎΡ€Π³Π°Π½ΠΈΠ·ΠΌ, ΠΊΠΎΡ‚ΠΎΡ€Ρ‹ΠΉ ΠΆΠΈΠ²Ρ‘Ρ‚ Π½Π° ΠΈΠ»ΠΈ Π² хостС, Π½ΠΎ, ΠΏΡ€ΠΈ Π½ΠΎΡ€ΠΌΠ°Π»ΡŒΠ½Ρ‹Ρ… условиях, Π½Π΅ Π²Ρ‹Π·Ρ‹Π²Π°Π΅Ρ‚ Π±ΠΎΠ»Π΅Π·Π½ΠΈ.

Π“Π»Π°Π²Π½ΠΎΠ΅: Demodex cati Π½Π΅ Π·Π°Ρ€Π°Π·Π΅Π½. Π’Ρ‹ Π½Π΅ ΠΌΠΎΠΆΠ΅Ρ‚Π΅ ΠΏΠ΅Ρ€Π΅Π΄Π°Ρ‚ΡŒ Π΅Π³ΠΎ ΠΎΡ‚ ΠΎΠ΄Π½ΠΎΠΉ кошки ΠΊ Π΄Ρ€ΡƒΠ³ΠΎΠΉ Ρ‡Π΅Ρ€Π΅Π· ΠΊΠΎΠ½Ρ‚Π°ΠΊΡ‚. Π”Π°ΠΆΠ΅ ΠΏΡ€ΠΈ Π±Π»ΠΈΠ·ΠΊΠΎΠΌ ΠΊΠΎΠ½Ρ‚Π°ΠΊΡ‚Π΅, Π½Π°ΠΏΡ€ΠΈΠΌΠ΅Ρ€ ΠΏΡ€ΠΈ Π³Ρ€ΡƒΠΌΠΈΠ½Π³Π΅, Π·Π°Ρ€Π°ΠΆΠ΅Π½ΠΈΠ΅ Π½Π΅ происходит (Π·Π° ΠΈΡΠΊΠ»ΡŽΡ‡Π΅Π½ΠΈΠ΅ΠΌ ΠΌΠ°Ρ‚Π΅Ρ€ΠΈ, ΠΏΠ΅Ρ€Π΅Π΄Π°ΡŽΡ‰Π΅ΠΉ ΠΊΠ»Π΅Ρ‰Π΅ΠΉ котятам Ρ‡Π΅Ρ€Π΅Π· ΠΌΠΎΠ»ΠΎΠΊΠΎ ΠΈΠ»ΠΈ Π²Π½ΡƒΡ‚Ρ€ΠΈΡƒΡ‚Ρ€ΠΎΠ±Π½ΠΎ). Если Ρƒ ΠΎΠ΄Π½ΠΎΠΉ кошки Π² ΠΌΠ½ΠΎΠ³ΠΎΠΊΠΎΡˆΠ°Ρ‡ΡŒΠ΅ΠΌ Π΄ΠΎΠΌΠ΅ развился Π΄Π΅ΠΌΠΎΠ΄Π΅ΠΊΠΎΠ·, Π²Ρ‹Π·Π²Π°Π½Π½Ρ‹ΠΉ D. cati, ΠΎΡΡ‚Π°Π»ΡŒΠ½Ρ‹Π΅ кошки Π² Π΄ΠΎΠΌΠ΅ Π½Π΅ Π·Π°Π±ΠΎΠ»Π΅ΡŽΡ‚ ΠΎΡ‚ Π½Π΅Ρ‘.

D. cati часто Π²Ρ‹Π·Ρ‹Π²Π°Π΅Ρ‚ Π»ΠΎΠΊΠ°Π»ΠΈΠ·ΠΎΠ²Π°Π½Π½Ρ‹Π΅ пораТСния — нСбольшиС участки облысСния, ΠΎΠ±Ρ‹Ρ‡Π½ΠΎ Π²ΠΎΠΊΡ€ΡƒΠ³ Π³Π»Π°Π·, Π½Π° ΡƒΡˆΠ°Ρ…, носС ΠΈΠ»ΠΈ Π»Π°ΠΏΠ°Ρ…. Π—ΡƒΠ΄, ΠΊΠ°ΠΊ ΠΏΡ€Π°Π²ΠΈΠ»ΠΎ, слабый ΠΈΠ»ΠΈ Π²ΠΎΠΎΠ±Ρ‰Π΅ отсутствуСт. Часто хозяин просто Π·Π°ΠΌΠ΅Ρ‡Π°Π΅Ρ‚ Π½Π΅Π±ΠΎΠ»ΡŒΡˆΡƒΡŽ ΠΎΠ±Π»Π°ΡΡ‚ΡŒ облысСния ΠΈ Π΄ΡƒΠΌΠ°Π΅Ρ‚: "Π‘Ρ‚Ρ€Π°Π½Π½ΠΎ, Π½ΠΎ, ΠΏΠΎΡ…ΠΎΠΆΠ΅, Π½ΠΈΡ‡Π΅Π³ΠΎ ΡΠ΅Ρ€ΡŒΡ‘Π·Π½ΠΎΠ³ΠΎ."

ΠŸΡ€ΠΈ Π³Π΅Π½Π΅Ρ€Π°Π»ΠΈΠ·ΠΎΠ²Π°Π½Π½ΠΎΠΉ Ρ„ΠΎΡ€ΠΌΠ΅ (ΠΊΠΎΠ³Π΄Π° ΠΏΠΎΡ€Π°ΠΆΠ΅Π½Ρ‹ большиС участки) Π·Π°Π±ΠΎΠ»Π΅Π²Π°Π½ΠΈΠ΅ ΠΎΠ±Ρ‹Ρ‡Π½ΠΎ ΡƒΠΊΠ°Π·Ρ‹Π²Π°Π΅Ρ‚ Π½Π° ΠΊΠ°ΠΊΡƒΡŽ-Ρ‚ΠΎ ΡΠ΅Ρ€ΡŒΡ‘Π·Π½ΡƒΡŽ ΠΈΠΌΠΌΡƒΠ½ΠΎΡΡƒΠΏΡ€Π΅ΡΡΠΈΡŽ. Π­Ρ‚ΠΎ ΠΌΠΎΠΆΠ΅Ρ‚ Π±Ρ‹Ρ‚ΡŒ FIV, FeLV, сахарный Π΄ΠΈΠ°Π±Π΅Ρ‚, Π΄Π»ΠΈΡ‚Π΅Π»ΡŒΠ½ΠΎΠ΅ ΠΏΡ€ΠΈΠΌΠ΅Π½Π΅Π½ΠΈΠ΅ Π³Π»ΡŽΠΊΠΎΠΊΠΎΡ€Ρ‚ΠΈΠΊΠΎΡΡ‚Π΅Ρ€ΠΎΠΈΠ΄ΠΎΠ² ΠΈΠ»ΠΈ Π΄Ρ€ΡƒΠ³ΠΈΠ΅ условия, ΠΎΡΠ»Π°Π±Π»ΡΡŽΡ‰ΠΈΠ΅ ΠΈΠΌΠΌΡƒΠ½ΠΈΡ‚Π΅Ρ‚.

Π₯ΠΎΡ€ΠΎΡˆΠ°Ρ Π½ΠΎΠ²ΠΎΡΡ‚ΡŒ: локализованная Ρ„ΠΎΡ€ΠΌΠ° D. cati часто ΠΏΡ€ΠΎΡ…ΠΎΠ΄ΠΈΡ‚ ΡΠ°ΠΌΠΎΡΡ‚ΠΎΡΡ‚Π΅Π»ΡŒΠ½ΠΎ Π² Ρ‚Π΅Ρ‡Π΅Π½ΠΈΠ΅ Π½Π΅ΡΠΊΠΎΠ»ΡŒΠΊΠΈΡ… нСдСль ΠΈΠ»ΠΈ мСсяцСв, особСнно Ρƒ ΠΌΠΎΠ»ΠΎΠ΄Ρ‹Ρ… кошСк. Π˜ΠΌΠΌΡƒΠ½Π½Π°Ρ систСма просто справляСтся с ΠΈΠ½Ρ„Π΅ΠΊΡ†ΠΈΠ΅ΠΉ сама.

Π²Ρ€Π°Ρ‡ осматриваСт ΡƒΡˆΠΈ кошкС

Demodex gatoi

Demodex gatoi — это ΡΠΎΠ²Π΅Ρ€ΡˆΠ΅Π½Π½ΠΎ Π΄Ρ€ΡƒΠ³ΠΎΠ΅ Π·Π°Π±ΠΎΠ»Π΅Π²Π°Π½ΠΈΠ΅ ΠΈ Π²ΠΎΠ·Π±ΡƒΠ΄ΠΈΡ‚Π΅Π»ΡŒ

Π­Ρ‚ΠΎΡ‚ ΠΊΠ»Π΅Ρ‰ ΠΆΠΈΠ²Ρ‘Ρ‚ Π½Π΅ Π² Ρ„ΠΎΠ»Π»ΠΈΠΊΡƒΠ»Π°Ρ…, Π° Π² повСрхностной части эпидСрмиса, Π² Ρ€ΠΎΠ³ΠΎΠ²ΠΎΠΌ слоС ΠΊΠΎΠΆΠΈ (stratum corneum). Π­Ρ‚ΠΎ Π΄Π΅Π»Π°Π΅Ρ‚ Π΅Π³ΠΎ Π±ΠΎΠ»Π΅Π΅ доступным для ΠΏΠ΅Ρ€Π΅Π΄Π°Ρ‡ΠΈ.

Π“Π»Π°Π²Π½ΠΎΠ΅: Demodex gatoi ЗАРАЗЕН. Он пСрСдаётся ΠΎΡ‚ ΠΎΠ΄Π½ΠΎΠΉ кошки ΠΊ Π΄Ρ€ΡƒΠ³ΠΎΠΉ ΠΏΡ€ΠΈ прямом ΠΊΠΎΠ½Ρ‚Π°ΠΊΡ‚Π΅ — Ρ‡Π΅Ρ€Π΅Π· ΠΎΠ±Π½ΡŽΡ…ΠΈΠ²Π°Π½ΠΈΠ΅, Π³Ρ€ΡƒΠΌΠΈΠ½Π³, совмСстный сон. ΠŸΠ΅Ρ€Π΅Π΄Π°Ρ‡Π° ΠΌΠΎΠΆΠ΅Ρ‚ ΠΏΡ€ΠΎΠΈΡΡ…ΠΎΠ΄ΠΈΡ‚ΡŒ Π΄Π°ΠΆΠ΅ ΠΏΡ€ΠΈ минимальном ΠΊΠΎΠ½Ρ‚Π°ΠΊΡ‚Π΅, ΠΏΠΎΡ‚ΠΎΠΌΡƒ Ρ‡Ρ‚ΠΎ ΠΊΠ»Π΅Ρ‰ΠΈ находятся Π² повСрхностном слоС ΠΊΠΎΠΆΠΈ ΠΈ Π² слюнС.

Π‘ΠΎΠ»Π΅Π΅ Ρ‚ΠΎΠ³ΠΎ, ΠΌΠΎΠΆΠ΅Ρ‚ Π±Ρ‹Ρ‚ΡŒ асимптомноС Π½ΠΎΡΠΈΡ‚Π΅Π»ΡŒΡΡ‚Π²ΠΎ. Кошка ΠΌΠΎΠΆΠ΅Ρ‚ Π±Ρ‹Ρ‚ΡŒ ΠΈΠ½Ρ„ΠΈΡ†ΠΈΡ€ΠΎΠ²Π°Π½Π° D. gatoi, ΡΠΎΠ²Π΅Ρ€ΡˆΠ΅Π½Π½ΠΎ Π½Π΅ ΠΏΠΎΠΊΠ°Π·Ρ‹Π²Π°Ρ‚ΡŒ Π½ΠΈΠΊΠ°ΠΊΠΈΡ… ΠΏΡ€ΠΈΠ·Π½Π°ΠΊΠΎΠ² Π±ΠΎΠ»Π΅Π·Π½ΠΈ, Π½ΠΎ ΠΏΡ€ΠΈ этом Π°ΠΊΡ‚ΠΈΠ²Π½ΠΎ ΠΏΠ΅Ρ€Π΅Π΄Π°Π²Π°Ρ‚ΡŒ Π΅Ρ‘ Π΄Ρ€ΡƒΠ³ΠΈΠΌ кошкам. Π­Ρ‚ΠΎ Π΄Π΅Π»Π°Π΅Ρ‚ D. gatoi особСнно опасным Π² ΠΌΠ½ΠΎΠ³ΠΎΠΊΠΎΡˆΠ°Ρ‡ΡŒΠΈΡ… Π΄ΠΎΠΌΠ°Ρ…, ΠΏΠΈΡ‚ΠΎΠΌΠ½ΠΈΠΊΠ°Ρ… ΠΈ Π½Π° ΠΊΠΎΡˆΠ°Ρ‡ΡŒΠΈΡ… выставках.

D. gatoi Π²Ρ‹Π·Ρ‹Π²Π°Π΅Ρ‚ интСнсивный Π·ΡƒΠ΄ — часто ΠΌΡƒΡ‡ΠΈΡ‚Π΅Π»ΡŒΠ½Ρ‹ΠΉ. Кошка расчёсываСт ΠΏΠΎΡ€Π°ΠΆΡ‘Π½Π½Ρ‹Π΅ участки, Ρ‡Ρ‚ΠΎ ΠΏΡ€ΠΈΠ²ΠΎΠ΄ΠΈΡ‚ ΠΊ расчёсам, Π²Ρ‚ΠΎΡ€ΠΈΡ‡Π½Ρ‹ΠΌ инфСкциям ΠΈ Π΄Π°Π»ΡŒΠ½Π΅ΠΉΡˆΠ΅ΠΌΡƒ ΡƒΡΡƒΠ³ΡƒΠ±Π»Π΅Π½ΠΈΡŽ состояния. Π‘ΠΎΠ»Π΅Π·Π½ΡŒ ΠΌΠΎΠΆΠ΅Ρ‚ Π±Ρ‹Ρ‚ΡŒ Π³Π΅Π½Π΅Ρ€Π°Π»ΠΈΠ·ΠΎΠ²Π°Π½Π½ΠΎΠΉ, пораТая большиС участки Ρ‚Π΅Π»Π°.

Π˜Π½Ρ‚Π΅Ρ€Π΅ΡΠ½Ρ‹ΠΉ ΠΌΠΎΠΌΠ΅Π½Ρ‚: D. gatoi ΠΌΠΎΠΆΠ΅Ρ‚ Π²Ρ‹Π·Ρ‹Π²Π°Ρ‚ΡŒ Π³Π΅Π½Π΅Ρ€Π°Π»ΠΈΠ·ΠΎΠ²Π°Π½Π½ΠΎΠ΅ Π·Π°Π±ΠΎΠ»Π΅Π²Π°Π½ΠΈΠ΅ Π΄Π°ΠΆΠ΅ Ρƒ Π·Π΄ΠΎΡ€ΠΎΠ²Ρ‹Ρ… кошСк. Π’ ΠΎΡ‚Π»ΠΈΡ‡ΠΈΠ΅ ΠΎΡ‚ D. cati, Π΅ΠΌΡƒ Π½Π΅ Π½ΡƒΠΆΠ½Π° иммуносупрСссия, Ρ‡Ρ‚ΠΎΠ±Ρ‹ Π²Ρ‹Π·Π²Π°Ρ‚ΡŒ болСзнь. Π₯отя ΠΏΠΎΡ‡Π΅ΠΌΡƒ Π½Π΅ΠΊΠΎΡ‚ΠΎΡ€Ρ‹Π΅ кошки Π·Π°Π±ΠΎΠ»Π΅Π²Π°ΡŽΡ‚, Π° Π΄Ρ€ΡƒΠ³ΠΈΠ΅ ΠΎΡΡ‚Π°ΡŽΡ‚ΡΡ Π·Π΄ΠΎΡ€ΠΎΠ²Ρ‹ΠΌΠΈ ΠΏΡ€ΠΈ ΠΎΠ΄ΠΈΠ½Π°ΠΊΠΎΠ²ΠΎΠΉ Π½Π°Π³Ρ€ΡƒΠ·ΠΊΠ΅ ΠΏΠ°Ρ€Π°Π·ΠΈΡ‚ΠΎΠ², остаётся Π·Π°Π³Π°Π΄ΠΊΠΎΠΉ. Π’ΠΎΠ·ΠΌΠΎΠΆΠ½ΠΎ, это Π³ΠΈΠΏΠ΅Ρ€Ρ‡ΡƒΠ²ΡΡ‚Π²ΠΈΡ‚Π΅Π»ΡŒΠ½ΠΎΡΡ‚ΡŒ ΠΈΠΌΠΌΡƒΠ½Π½ΠΎΠΉ систСмы ΠΊ ΠΊΠ»Π΅Ρ‰Π°ΠΌ.

Π‘ΠΎΠ²Π΅Ρ‚ Π²Π΅Ρ‚Π΅Ρ€ΠΈΠ½Π°Ρ€Π°: Ρ€Π°Π·Π»ΠΈΡ‡ΠΈΠ΅ ΠΌΠ΅ΠΆΠ΄Ρƒ D. cati ΠΈ D. gatoi ΠΈΠΌΠ΅Π΅Ρ‚ практичСскоС Π·Π½Π°Ρ‡Π΅Π½ΠΈΠ΅ для лСчСния ΠΈ управлСния болСзнью.

Если я Π΄ΠΈΠ°Π³Π½ΠΎΡΡ‚ΠΈΡ€ΡƒΡŽ D. cati Ρƒ взрослой кошки с Π³Π΅Π½Π΅Ρ€Π°Π»ΠΈΠ·ΠΎΠ²Π°Π½Π½ΠΎΠΉ Ρ„ΠΎΡ€ΠΌΠΎΠΉ, я Π½Π΅ Ρ‚ΠΎΠ»ΡŒΠΊΠΎ Π½Π°Π·Π½Π°Ρ‡Π°ΡŽ Π»Π΅Ρ‡Π΅Π½ΠΈΠ΅ ΠΏΡ€ΠΎΡ‚ΠΈΠ² ΠΊΠ»Π΅Ρ‰Π΅ΠΉ, Π½ΠΎ ΠΈ ΠΏΡ€ΠΎΠ²ΠΎΠΆΡƒ ΠΏΠΎΠ»Π½ΠΎΠ΅ обслСдованиС: тСсты Π½Π° FIV/FeLV, Π°Π½Π°Π»ΠΈΠ·Ρ‹ ΠΊΡ€ΠΎΠ²ΠΈ, ΠΏΡ€ΠΎΠ²Π΅Ρ€ΠΊΡƒ Ρ„ΡƒΠ½ΠΊΡ†ΠΈΠΈ Ρ‰ΠΈΡ‚ΠΎΠ²ΠΈΠ΄Π½ΠΎΠΉ ΠΆΠ΅Π»Π΅Π·Ρ‹, уровня сахара Π² ΠΊΡ€ΠΎΠ²ΠΈ. ΠŸΠΎΡ‚ΠΎΠΌΡƒ Ρ‡Ρ‚ΠΎ Π³Π΄Π΅-Ρ‚ΠΎ скрываСтся основная ΠΏΡ€ΠΎΠ±Π»Π΅ΠΌΠ°.

Если ΠΆΠ΅ я Π΄ΠΈΠ°Π³Π½ΠΎΡΡ‚ΠΈΡ€ΡƒΡŽ D. gatoi, я знаю, Ρ‡Ρ‚ΠΎ Π½ΡƒΠΆΠ½ΠΎ Π»Π΅Ρ‡ΠΈΡ‚ΡŒ всСх кошСк Π² Π΄ΠΎΠΌΠ΅, Π΄Π°ΠΆΠ΅ Ρ‚Π΅, ΠΊΠΎΡ‚ΠΎΡ€Ρ‹Π΅ выглядят Π·Π΄ΠΎΡ€ΠΎΠ²Ρ‹ΠΌΠΈ. И я Ρ€Π΅ΠΊΠΎΠΌΠ΅Π½Π΄ΡƒΡŽ ΠΊΠ°Ρ€Π°Π½Ρ‚ΠΈΠ½ ΠΈΠ»ΠΈ, ΠΏΠΎ ΠΊΡ€Π°ΠΉΠ½Π΅ΠΉ ΠΌΠ΅Ρ€Π΅, строгоС Ρ€Π°Π·Π΄Π΅Π»Π΅Π½ΠΈΠ΅ Π΄ΠΎ ΠΏΠΎΠ»Π½ΠΎΠ³ΠΎ выздоровлСния. ΠŸΠΎΡ‚ΠΎΠΌΡƒ Ρ‡Ρ‚ΠΎ это Π·Π°Ρ€Π°Π·Π½ΠΎΠ΅ Π·Π°Π±ΠΎΠ»Π΅Π²Π°Π½ΠΈΠ΅, ΠΈ Π±Π΅Π· контроля ΠΎΠ½ΠΎ распространится.

Π²Ρ€Π°Ρ‡ Π±Π΅Ρ€Π΅Ρ‚ ΠΊΡ€ΠΎΠ²ΡŒ Ρƒ кошки

Π‘ΠΈΠΌΠΏΡ‚ΠΎΠΌΡ‹ Π΄Π΅ΠΌΠΎΠ΄Π΅ΠΊΠΎΠ·Π° Ρƒ кошСк

Π‘ΠΈΠΌΠΏΡ‚ΠΎΠΌΡ‹ Π΄Π΅ΠΌΠΎΠ΄Π΅ΠΊΠΎΠ·Π° зависят ΠΎΡ‚ Ρ„ΠΎΡ€ΠΌΡ‹ заболСвания ΠΈ Π²ΠΈΠ΄Π° ΠΊΠ»Π΅Ρ‰Π΅ΠΉ.

Локализованная Ρ„ΠΎΡ€ΠΌΠ°

ΠŸΡ€ΠΈ Π»ΠΎΠΊΠ°Π»ΠΈΠ·ΠΎΠ²Π°Π½Π½ΠΎΠΉ Ρ„ΠΎΡ€ΠΌΠ΅ ΠΏΠΎΡ€Π°ΠΆΠ°ΡŽΡ‚ΡΡ ΠΎΡ‚Π΄Π΅Π»ΡŒΠ½Ρ‹Π΅ участки, ΠΎΠ±Ρ‹Ρ‡Π½ΠΎ Ρ€Π°Π·ΠΌΠ΅Ρ€ΠΎΠΌ 2-3 см. Π­Ρ‚ΠΎ ΠΌΠΎΠ³ΡƒΡ‚ Π±Ρ‹Ρ‚ΡŒ:

  • "Π”Π΅ΠΌΠΎΠ΄Π΅ΠΊΠΎΠ·Π½Ρ‹Π΅ ΠΎΡ‡ΠΊΠΈ" — это Ρ…Π°Ρ€Π°ΠΊΡ‚Π΅Ρ€Π½Ρ‹ΠΉ ΠΏΡ€ΠΈΠ·Π½Π°ΠΊ. ΠžΠ±Π»Ρ‹ΡΠ΅Π²ΡˆΠΈΠ΅ участки Π²ΠΎΠΊΡ€ΡƒΠ³ ΠΎΠ±ΠΎΠΈΡ… Π³Π»Π°Π·, ΠΈΠ½ΠΎΠ³Π΄Π° пСрСходящиС Π½Π° Π²Π΅ΠΊΠΈ. Выглядит ΠΊΠ°ΠΊ маска.
  • ΠŸΠΎΡ€Π°ΠΆΠ΅Π½ΠΈΡ Π½Π° носС, ΡƒΡˆΠ°Ρ…, Π»Π°ΠΏΠ°Ρ…, шСС
  • ΠžΠ±Π»Ρ‹ΡΠ΅Π½ΠΈΠ΅ Π±Π΅Π· Π΄Ρ€ΡƒΠ³ΠΈΡ… Π²ΠΈΠ΄ΠΈΠΌΡ‹Ρ… ΠΏΡ€ΠΈΠ·Π½Π°ΠΊΠΎΠ² воспалСния (ΠΏΡ€ΠΈ D. cati)
  • ΠŸΠ΅Ρ€Ρ…ΠΎΡ‚ΡŒ ΠΈ Ρ‡Π΅ΡˆΡƒΠΉΠΊΠΈ Π² ΠΏΠΎΡ€Π°ΠΆΠ΅Π½Π½Ρ‹Ρ… областях
  • ΠŸΠ°ΠΏΡƒΠ»Π΅Π·Π½Π°Ρ ΡΡ‹ΠΏΡŒ (малСнькиС Π±ΡƒΠ³ΠΎΡ€ΠΊΠΈ)
  • Π›Π΅Π³ΠΊΠΈΠΉ ΠΈΠ»ΠΈ ΠΎΡ‚ΡΡƒΡ‚ΡΡ‚Π²ΡƒΡŽΡ‰ΠΈΠΉ Π·ΡƒΠ΄ (ΠΏΡ€ΠΈ D. cati)
  • Π˜Π½Ρ‚Π΅Π½ΡΠΈΠ²Π½Ρ‹ΠΉ Π·ΡƒΠ΄ (ΠΏΡ€ΠΈ D. gatoi)
  • Иногда СдинствСнным ΠΏΡ€ΠΈΠ·Π½Π°ΠΊΠΎΠΌ ΠΌΠΎΠΆΠ΅Ρ‚ Π±Ρ‹Ρ‚ΡŒ Π½Π°Ρ€ΡƒΠΆΠ½Ρ‹ΠΉ ΠΎΡ‚ΠΈΡ‚ — воспалСниС ΡƒΡˆΠ΅ΠΉ, выдСлСния ΠΈΠ· слухового ΠΏΡ€ΠΎΡ…ΠΎΠ΄Π°, Π·Π°ΠΏΠ°Ρ…

Локализованная Ρ„ΠΎΡ€ΠΌΠ° часто выглядит Π±Π΅Π·ΠΎΠ±ΠΈΠ΄Π½ΠΎΠΉ. Π₯озяин Π΄ΡƒΠΌΠ°Π΅Ρ‚: "Ну, лысый участок Π²ΠΎΠΊΡ€ΡƒΠ³ Π³Π»Π°Π·Π°, ΠΌΠΎΠΆΠ΅Ρ‚ Π±Ρ‹Ρ‚ΡŒ, это Ρ‚Ρ€Π°Π²ΠΌΠ°? ΠœΠΎΠΆΠ΅Ρ‚ Π±Ρ‹Ρ‚ΡŒ, кошка сама Π²Ρ‹Ρ‰ΠΈΠΏΠ°Π»Π° ΡˆΠ΅Ρ€ΡΡ‚ΡŒ? ΠŸΡ€ΠΎΠΉΠ΄Ρ‘Ρ‚ само."

Иногда это Π΄Π΅ΠΉΡΡ‚Π²ΠΈΡ‚Π΅Π»ΡŒΠ½ΠΎ ΠΏΡ€ΠΎΡ…ΠΎΠ΄ΠΈΡ‚ само. Но ΠΈΠ½ΠΎΠ³Π΄Π° это просто Π½Π°Ρ‡Π°Π»ΠΎ Ρ‡Π΅Π³ΠΎ-Ρ‚ΠΎ Π±ΠΎΠ»Π΅Π΅ ΡΠ΅Ρ€ΡŒΡ‘Π·Π½ΠΎΠ³ΠΎ.

кошка Ρ‡Π΅ΡˆΠ΅Ρ‚ Π·Π°Π΄Π½Π΅ΠΉ Π»Π°ΠΏΠΎΠΉ Π·Π° ΡƒΡ…ΠΎΠΌ

ГСнСрализованная Ρ„ΠΎΡ€ΠΌΠ°

ГСнСрализованная Ρ„ΠΎΡ€ΠΌΠ° — это совсСм Π΄Ρ€ΡƒΠ³ΠΎΠ΅. ΠŸΡ€ΠΈ этой Ρ„ΠΎΡ€ΠΌΠ΅ ΠΏΠΎΡ€Π°ΠΆΠ΅Π½Ρ‹ большиС участки Ρ‚Π΅Π»Π°, ΠΈΠ½ΠΎΠ³Π΄Π° практичСски всё Ρ‚Π΅Π»ΠΎ.

ΠŸΡ€ΠΈΠ·Π½Π°ΠΊΠΈ Π²ΠΊΠ»ΡŽΡ‡Π°ΡŽΡ‚:

  • ΠžΠ±ΡˆΠΈΡ€Π½ΠΎΠ΅ облысСниС — волосы Π²Ρ‹ΠΏΠ°Π΄Π°ΡŽΡ‚ большими участками, оставляя Π³ΠΎΠ»ΡƒΡŽ ΠΈΠ»ΠΈ ΠΏΠΎΡ‡Ρ‚ΠΈ Π³ΠΎΠ»ΡƒΡŽ ΠΊΠΎΠΆΡƒ
  • Π˜Π½Ρ‚Π΅Π½ΡΠΈΠ²Π½Ρ‹ΠΉ Π·ΡƒΠ΄ — кошка постоянно расчёсываСт ΠΏΠΎΡ€Π°ΠΆΠ΅Π½Π½Ρ‹Π΅ участки (особСнно ΠΏΡ€ΠΈ D. gatoi)
  • РасчСсы ΠΈ Ρ€Π°Π½Ρ‹ — Π²ΠΈΠ΄ΠΈΠΌΡ‹Π΅ слСды ΠΎΡ‚ расчёсов, ΠΈΠ½ΠΎΠ³Π΄Π° с ΠΊΡ€ΠΎΠ²ΡŒΡŽ
  • Π“Π½ΠΎΠΉΠ½ΠΈΡ‡ΠΊΠΈ (пустулы) — малСнькиС Π³Π½ΠΎΠΉΠ½Ρ‹Π΅ ΠΏΡ€Ρ‹Ρ‰ΠΈ Π½Π° ΠΊΠΎΠΆΠ΅, Π½Π°ΠΏΠΎΠ»Π½Π΅Π½Π½Ρ‹Π΅ ΠΆΡ‘Π»Ρ‚ΠΎ-Π±Π΅Π»Ρ‹ΠΌ Π³Π½ΠΎΠ΅ΠΌ
  • ΠŸΠ°ΠΏΡƒΠ»Ρ‹ — малСнькиС Ρ‚Π²Ρ‘Ρ€Π΄Ρ‹Π΅ Π±ΡƒΠ³ΠΎΡ€ΠΊΠΈ Π½Π° ΠΊΠΎΠΆΠ΅
  • ΠŸΠ΅Ρ€Ρ…ΠΎΡ‚ΡŒ ΠΈ сСборСя — обильноС ΡˆΠ΅Π»ΡƒΡˆΠ΅Π½ΠΈΠ΅, ΠΊΠΎΠΆΠ° выглядит грязной
  • ΠšΠΎΡ€ΠΊΠΈ (ΡΡ‚Ρ€ΡƒΠΏΡŒΡ) — Π²Ρ‹ΡΠΎΡ…ΡˆΠΈΠΉ Π³Π½ΠΎΠΉ ΠΈ ΠΊΡ€ΠΎΠ²ΡŒ Π½Π° ΠΊΠΎΠΆΠ΅, ΠΎΠ±Ρ€Π°Π·ΡƒΡŽΡ‚ Ρ‚Π²Ρ‘Ρ€Π΄Ρ‹Π΅ ΠΊΠΎΡ€ΠΊΠΈ
  • ΠŸΡ€ΠΈΠΏΡƒΡ…Π°Π½ΠΈΠ΅ ΠΈ покраснСниС — ΠΊΠΎΠΆΠ° выглядит воспалСнной, ΠΈΠ½ΠΎΠ³Π΄Π° с ΠΆΠΈΠ΄ΠΊΠΎΡΡ‚ΡŒΡŽ
  • Π—Π°ΠΏΠ°Ρ… — пораТённая ΠΊΠΎΠΆΠ° ΠΌΠΎΠΆΠ΅Ρ‚ ΠΈΠΌΠ΅Ρ‚ΡŒ нСприятный Π·Π°ΠΏΠ°Ρ… ΠΈΠ·-Π·Π° Π²Ρ‚ΠΎΡ€ΠΈΡ‡Π½ΠΎΠΉ Π±Π°ΠΊΡ‚Π΅Ρ€ΠΈΠ°Π»ΡŒΠ½ΠΎΠΉ ΠΈΠ½Ρ„Π΅ΠΊΡ†ΠΈΠΈ
  • Вусклая, Π²Π·ΡŠΠ΅Ρ€ΠΎΡˆΠ΅Π½Π½Π°Ρ ΡˆΠ΅Ρ€ΡΡ‚ΡŒ — волосы выглядят ΠΏΠ»ΠΎΡ…ΠΎ, ΠΎΠ½ΠΈ склССны, сбиты
  • БистСмныС ΠΏΡ€ΠΈΠ·Π½Π°ΠΊΠΈ:
  • Π’ΡΠ»ΠΎΡΡ‚ΡŒ ΠΈ апатия
  • Π‘Π½ΠΈΠΆΠ΅Π½ΠΈΠ΅ Π°ΠΏΠΏΠ΅Ρ‚ΠΈΡ‚Π° ΠΈΠ»ΠΈ ΠΏΠΎΠ»Π½Ρ‹ΠΉ ΠΎΡ‚ΠΊΠ°Π· ΠΎΡ‚ ΠΏΠΈΡ‰ΠΈ
  • ΠŸΠΎΡ‚Π΅Ρ€Ρ вСса
  • ΠΠ°Ρ€ΡƒΡˆΠ΅Π½ΠΈΠ΅ тСрморСгуляции — кошка ΠΌΡ‘Ρ€Π·Π½Π΅Ρ‚, хотя Π² Π΄ΠΎΠΌΠ΅ Ρ‚Π΅ΠΏΠ»ΠΎ
  • КолСбания Ρ‚Π΅ΠΌΠΏΠ΅Ρ€Π°Ρ‚ΡƒΡ€Ρ‹ Ρ‚Π΅Π»Π° (нСбольшая Π»ΠΈΡ…ΠΎΡ€Π°Π΄ΠΊΠ°)
  • Π£Π²Π΅Π»ΠΈΡ‡Π΅Π½Π½Ρ‹Π΅ лимфатичСскиС ΡƒΠ·Π»Ρ‹ (особСнно Π² Π½Π°Ρ‡Π°Π»Π΅ заболСвания)
  • Π£Π³Π½Π΅Ρ‚Ρ‘Π½Π½ΠΎΠ΅ состояниС, Π½Π΅ΠΆΠ΅Π»Π°Π½ΠΈΠ΅ Π΄Π²ΠΈΠ³Π°Ρ‚ΡŒΡΡ

ΠŸΡ€ΠΈ Π³Π΅Π½Π΅Ρ€Π°Π»ΠΈΠ·ΠΎΠ²Π°Π½Π½ΠΎΠΉ Ρ„ΠΎΡ€ΠΌΠ΅ кошка выглядит больной. Π­Ρ‚ΠΎ ΡƒΠΆΠ΅ Π½Π΅ просто космСтичСская ΠΏΡ€ΠΎΠ±Π»Π΅ΠΌΠ° — это систСмноС Π·Π°Π±ΠΎΠ»Π΅Π²Π°Π½ΠΈΠ΅, Ρ‚Ρ€Π΅Π±ΡƒΡŽΡ‰Π΅Π΅ срочного лСчСния.

кошка Π»Π΅ΠΆΠΈΡ‚ Π±Π΅Π· двиТСния Π½Π° столС Ρƒ Π²Π΅Ρ‚Π΅Ρ€ΠΈΠ½Π°Ρ€Π°

Диагностика Π΄Π΅ΠΌΠΎΠ΄Π΅ΠΊΠΎΠ·Π° Ρƒ кошСк

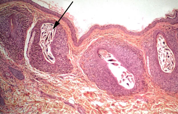
Диагностика Π΄Π΅ΠΌΠΎΠ΄Π΅ΠΊΠΎΠ·Π° основана Π½Π° выявлСнии ΠΊΠ»Π΅Ρ‰Π΅ΠΉ ΠΏΠΎΠ΄ микроскопом. Π­Ρ‚ΠΎ Π½Π΅ слоТно, Π½ΠΎ Ρ‚Ρ€Π΅Π±ΡƒΠ΅Ρ‚ внимания ΠΊ дСталям ΠΈ знания Ρ€Π°Π·Π»ΠΈΡ‡Π½Ρ‹Ρ… ΠΌΠ΅Ρ‚ΠΎΠ΄ΠΎΠ² Π·Π°Π±ΠΎΡ€Π° ΠΌΠ°Ρ‚Π΅Ρ€ΠΈΠ°Π»Π°.

Π“Π»ΡƒΠ±ΠΎΠΊΠΈΠΉ соскоб ΠΊΠΎΠΆΠΈ: Π·ΠΎΠ»ΠΎΡ‚ΠΎΠΉ стандарт

Π­Ρ‚ΠΎ основной ΠΌΠ΅Ρ‚ΠΎΠ΄ диагностики, особСнно для D. cati.

Π’Π΅Ρ…Π½ΠΈΠΊΠ° ΡΠ»Π΅Π΄ΡƒΡŽΡ‰Π°Ρ: я Π±Π΅Ρ€Ρƒ Π·Π°Ρ‚ΡƒΠΏΠ»Π΅Π½Π½ΠΎΠ΅ Π»Π΅Π·Π²ΠΈΠ΅ (Ρ‡Ρ‚ΠΎΠ±Ρ‹ Π½Π΅ ΠΏΠΎΡ€Π΅Π·Π°Ρ‚ΡŒ ΠΊΠΎΠΆΡƒ), Π½Π°Π½ΠΎΡˆΡƒ ΠΌΠΈΠ½Π΅Ρ€Π°Π»ΡŒΠ½ΠΎΠ΅ масло Π½Π° ΠΊΠΎΠΆΡƒ Π² области пораТСния, ΡΠΊΠ»Π°Π΄Ρ‹Π²Π°ΡŽ ΠΊΠΎΠΆΡƒ ΠΈ слСгка сТимаю Π΅Ρ‘ ΠΏΠ°Π»ΡŒΡ†Π°ΠΌΠΈ. Π­Ρ‚ΠΎ сТиманиС Π²Π°ΠΆΠ½ΠΎ — ΠΎΠ½ΠΎ Π²Ρ‹Π΄Π°Π²Π»ΠΈΠ²Π°Π΅Ρ‚ ΠΊΠ»Π΅Ρ‰Π΅ΠΉ ΠΈΠ· Ρ„ΠΎΠ»Π»ΠΈΠΊΡƒΠ»ΠΎΠ² Π½Π° ΠΏΠΎΠ²Π΅Ρ€Ρ…Π½ΠΎΡΡ‚ΡŒ. Π—Π°Ρ‚Π΅ΠΌ я скрСбу, ΠΈΡΠΏΠΎΠ»ΡŒΠ·ΡƒΡ Π΄Π°Π²Π»Π΅Π½ΠΈΠ΅, ΠΏΠΎΠΊΠ° Π½Π΅ появится нСбольшоС ΠΊΡ€ΠΎΠ²ΠΎΡ‚Π΅Ρ‡Π΅Π½ΠΈΠ΅ (это ΠΏΡ€ΠΈΠ·Π½Π°ΠΊ Ρ‚ΠΎΠ³ΠΎ, Ρ‡Ρ‚ΠΎ я достаточно Π³Π»ΡƒΠ±ΠΎΠΊΠΎ Π·Π°ΡˆΡ‘Π»).

ΠŸΠΎΠ»ΡƒΡ‡Π΅Π½Π½Ρ‹ΠΉ ΠΌΠ°Ρ‚Π΅Ρ€ΠΈΠ°Π» содСрТит ΠΊΡ€ΠΎΠ²ΡŒ, Π»ΠΈΠΌΡ„Ρƒ, эпитСлий, сало ΠΈ волосы. Π― ΠΏΠ΅Ρ€Π΅Π½ΠΎΡˆΡƒ Π΅Π³ΠΎ Π½Π° ΠΏΡ€Π΅Π΄ΠΌΠ΅Ρ‚Π½ΠΎΠ΅ стСкло с ΠΊΠ°ΠΏΠ»Π΅ΠΉ масла, Π½Π°ΠΊΡ€Ρ‹Π²Π°ΡŽ ΠΏΠΎΠΊΡ€ΠΎΠ²Π½Ρ‹ΠΌ стСклом ΠΈ ΡΠΌΠΎΡ‚Ρ€ΡŽ ΠΏΠΎΠ΄ микроскопом.

Π’Π°ΠΆΠ½ΠΎ Π±Ρ€Π°Ρ‚ΡŒ ΠΌΠ°Ρ‚Π΅Ρ€ΠΈΠ°Π» ΠΈΠ· ΠΠ•Π‘ΠšΠžΠ›Π¬ΠšΠ˜Π₯ мСст:

  • Π‘ Ρ€Π°Π·Π½Ρ‹Ρ… ΠΏΠΎΡ€Π°ΠΆΠ΅Π½Π½Ρ‹Ρ… участков
  • Π‘ Π³Ρ€Π°Π½ΠΈΡ†Ρ‹ ΠΌΠ΅ΠΆΠ΄Ρƒ Π·Π΄ΠΎΡ€ΠΎΠ²ΠΎΠΉ ΠΈ больной ΠΊΠΎΠΆΠ΅ΠΉ
  • Из мСст с Π²ΠΈΠ΄ΠΈΠΌΡ‹ΠΌΠΈ ΠΊΠΎΠΌΠ΅Π΄ΠΎΠ½Π°ΠΌΠΈ ΠΈΠ»ΠΈ фолликулярными слСпками

Π­Ρ‚ΠΎ ΠΏΠΎΡ‚ΠΎΠΌΡƒ, Ρ‡Ρ‚ΠΎ ΠΊΠ»Π΅Ρ‰ΠΈ распрСдСлСны Π½Π΅Ρ€Π°Π²Π½ΠΎΠΌΠ΅Ρ€Π½ΠΎ, ΠΈ ΠΎΠ΄ΠΈΠ½ соскоб ΠΌΠΎΠΆΠ΅Ρ‚ Π±Ρ‹Ρ‚ΡŒ Π»ΠΎΠΆΠ½ΠΎΠΎΡ‚Ρ€ΠΈΡ†Π°Ρ‚Π΅Π»ΡŒΠ½Ρ‹ΠΌ.

Π²Ρ€Π°Ρ‡ Π±Π΅Ρ€Π΅Ρ‚ соскоб ΠΊΠΎΠΆΠΈ ΠΈ кошки

Π‘ΠΊΠΎΡ‚Ρ‡-тСст (tape impression)

Π‘ΠΎΠ»Π΅Π΅ простой ΠΈ быстрый ΠΌΠ΅Ρ‚ΠΎΠ΄, особСнно для D. gatoi, ΠΊΠΎΡ‚ΠΎΡ€Ρ‹ΠΉ находится Π±Π»ΠΈΠ·ΠΊΠΎ ΠΊ повСрхности.

Π― ΠΏΡ€ΠΈΠΆΠΈΠΌΠ°ΡŽ ΠΏΡ€ΠΎΠ·Ρ€Π°Ρ‡Π½ΡƒΡŽ ΠΊΠ»Π΅ΠΉΠΊΡƒΡŽ Π»Π΅Π½Ρ‚Ρƒ (скотч) ΠΊ ΠΊΠΎΠΆΠ΅, собирая ΡΠΏΠΈΠ΄Π΅Ρ€ΠΌΠ°Π»ΡŒΠ½Ρ‹Π΅ Ρ‡Π΅ΡˆΡƒΠΉΠΊΠΈ, Π·Π°Ρ‚Π΅ΠΌ наклСиваю Π΅Ρ‘ Π½Π° ΠΏΡ€Π΅Π΄ΠΌΠ΅Ρ‚Π½ΠΎΠ΅ стСкло ΠΈ ΡΠΌΠΎΡ‚Ρ€ΡŽ ΠΏΠΎΠ΄ микроскопом. Π­Ρ‚ΠΎ Π½Π΅ Ρ‚Ρ€Π΅Π±ΡƒΠ΅Ρ‚ скрСбания, ΠΌΠ΅Π½Π΅Π΅ Π±ΠΎΠ»Π΅Π·Π½Π΅Π½Π½ΠΎ для кошки.

Врихоскопия (исслСдованиС Π²Ρ‹Ρ‰ΠΈΠΏΠ°Π½Π½Ρ‹Ρ… волос)

Π― Π²Ρ‹Ρ‰ΠΈΠΏΡ‹Π²Π°ΡŽ нСсколько волос (с корнями) ΠΈΠ· ΠΏΠΎΡ€Π°ΠΆΠ΅Π½Π½ΠΎΠΉ области, ΠΏΠΎΠΌΠ΅Ρ‰Π°ΡŽ ΠΈΡ… Π² каплю масла ΠΈ ΡΠΌΠΎΡ‚Ρ€ΡŽ ΠΏΠΎΠ΄ микроскопом. Π­Ρ‚ΠΎ ΠΌΠ΅Π½Π΅Π΅ Ρ‡ΡƒΠ²ΡΡ‚Π²ΠΈΡ‚Π΅Π»ΡŒΠ½ΠΎ, Ρ‡Π΅ΠΌ Π³Π»ΡƒΠ±ΠΎΠΊΠΈΠΉ соскоб, Π½ΠΎ ΠΌΠΎΠΆΠ΅Ρ‚ Π±Ρ‹Ρ‚ΡŒ ΠΏΠΎΠ»Π΅Π·Π½ΠΎ Π² областях, Π³Π΄Π΅ скрСбаниС Ρ‚Ρ€ΡƒΠ΄Π½ΠΎ (Π½Π°ΠΏΡ€ΠΈΠΌΠ΅Ρ€, Π²ΠΎΠΊΡ€ΡƒΠ³ Π³Π»Π°Π·, Π½Π° Π³ΡƒΠ±Π°Ρ…).

Цитология (ΠΊΠΎΠΆΠ½Ρ‹Π΅ ΠΎΡ‚ΠΏΠ΅Ρ‡Π°Ρ‚ΠΊΠΈ)

Π― ΠΏΡ€ΠΈΠΆΠΈΠΌΠ°ΡŽ ΠΏΡ€Π΅Π΄ΠΌΠ΅Ρ‚Π½ΠΎΠ΅ стСкло ΠΈΠ»ΠΈ Π²Π°Ρ‚Π½Ρ‹ΠΉ диск ΠΊ ΠΊΠΎΠΆΠ΅ ΠΈ ΡΠΌΠΎΡ‚Ρ€ΡŽ ΠΏΠΎΠ΄ микроскопом. Π­Ρ‚ΠΎ ΠΌΠΎΠΆΠ΅Ρ‚ ΠΏΠΎΠΊΠ°Π·Π°Ρ‚ΡŒ ΠΊΠ»Π΅Ρ‰Π΅ΠΉ, Π½ΠΎ ΠΌΠ΅Π½Π΅Π΅ Ρ‡ΡƒΠ²ΡΡ‚Π²ΠΈΡ‚Π΅Π»ΡŒΠ½ΠΎ.

Π²Ρ€Π°Ρ‡ осматриваСт ΠΏΡ€Π΅Π΄ΠΌΠ΅Ρ‚Π½ΠΎΠ΅ стСкло ΠΈΠ· микроскопа

Π§Ρ‚ΠΎ Π½Π°Π΄ΠΎ ΡƒΡ‡Π΅ΡΡ‚ΡŒ послС диагностики

  • Π›ΠΎΠΆΠ½ΠΎΠΎΡ‚Ρ€ΠΈΡ†Π°Ρ‚Π΅Π»ΡŒΠ½Ρ‹Π΅ Ρ€Π΅Π·ΡƒΠ»ΡŒΡ‚Π°Ρ‚Ρ‹. Π­Ρ‚ΠΎ частая ΠΏΡ€ΠΎΠ±Π»Π΅ΠΌΠ°, особСнно с D. gatoi. Кошки постоянно Π²Ρ‹Π»ΠΈΠ·Ρ‹Π²Π°ΡŽΡ‚ сСбя, удаляя ΠΊΠ»Π΅Ρ‰Π΅ΠΉ с повСрхности, поэтому скотч-тСст ΠΌΠΎΠΆΠ΅Ρ‚ Π±Ρ‹Ρ‚ΡŒ ΠΎΡ‚Ρ€ΠΈΡ†Π°Ρ‚Π΅Π»ΡŒΠ½Ρ‹ΠΌ, Π΄Π°ΠΆΠ΅ Ссли кошка ΠΈΠ½Ρ„ΠΈΡ†ΠΈΡ€ΠΎΠ²Π°Π½Π°.
  • ΠœΠ½ΠΎΠΆΠ΅ΡΡ‚Π²Π΅Π½Π½Ρ‹Π΅ ΠΏΡ€ΠΎΠ±Ρ‹. Π― всСгда Ρ€Π΅ΠΊΠΎΠΌΠ΅Π½Π΄ΡƒΡŽ нСсколько ΠΏΡ€ΠΎΠ± ΠΈΠ· Ρ€Π°Π·Π½Ρ‹Ρ… мСст, Ρ‡Ρ‚ΠΎΠ±Ρ‹ ΡƒΠ²Π΅Π»ΠΈΡ‡ΠΈΡ‚ΡŒ Π²Π΅Ρ€ΠΎΡΡ‚Π½ΠΎΡΡ‚ΡŒ обнаруТСния.
  • Π˜Π½Ρ‚Π΅Ρ€ΠΏΡ€Π΅Ρ‚Π°Ρ†ΠΈΡ Ρ€Π΅Π·ΡƒΠ»ΡŒΡ‚Π°Ρ‚ΠΎΠ². ΠžΠ±Π½Π°Ρ€ΡƒΠΆΠ΅Π½ΠΈΠ΅ ΠΎΠ΄Π½ΠΎΠ³ΠΎ-Π΄Π²ΡƒΡ… ΠΊΠ»Π΅Ρ‰Π΅ΠΉ ΠΌΠΎΠΆΠ΅Ρ‚ Π±Ρ‹Ρ‚ΡŒ случайной Π½Π°Ρ…ΠΎΠ΄ΠΊΠΎΠΉ Ρƒ Π·Π΄ΠΎΡ€ΠΎΠ²ΠΎΠΉ кошки (D. cati). Но Π½Π°Π»ΠΈΡ‡ΠΈΠ΅ мноТСствСнных ΠΊΠ»Π΅Ρ‰Π΅ΠΉ, особСнно Π»ΠΈΡ‡ΠΈΠ½ΠΎΠΊ ΠΈ Π½ΠΈΠΌΡ„ (ΠΌΠΎΠ»ΠΎΠ΄Ρ‹Ρ… Ρ„ΠΎΡ€ΠΌ), ΡƒΠΊΠ°Π·Ρ‹Π²Π°Π΅Ρ‚ Π½Π° патологичСский процСсс.

ΠŸΠΎΡ‡Π΅ΠΌΡƒ развиваСтся Π΄Π΅ΠΌΠΎΠ΄Π΅ΠΊΠΎΠ·

Π”Π΅ΠΌΠΎΠ΄Π΅ΠΊΠΎΠ· развиваСтся Ρ‚ΠΎΠ»ΡŒΠΊΠΎ ΠΏΡ€ΠΈ иммуносупрСссии ΠΈΠ»ΠΈ дисбалансС ΠΈΠΌΠΌΡƒΠ½Π½ΠΎΠΉ систСмы. Π€Π°ΠΊΡ‚ΠΎΡ€Ρ‹ риска Π²ΠΊΠ»ΡŽΡ‡Π°ΡŽΡ‚:

Π˜Π½Ρ„Π΅ΠΊΡ†ΠΈΠΈ:

  • FIV (вирус ΠΈΠΌΠΌΡƒΠ½ΠΎΠ΄Π΅Ρ„ΠΈΡ†ΠΈΡ‚Π° кошСк)
  • FeLV (вирус Π»Π΅ΠΉΠΊΠ΅ΠΌΠΈΠΈ кошСк)
  • Π”Ρ€ΡƒΠ³ΠΈΠ΅ вирусныС ΠΈΠ»ΠΈ Π±Π°ΠΊΡ‚Π΅Ρ€ΠΈΠ°Π»ΡŒΠ½Ρ‹Π΅ ΠΈΠ½Ρ„Π΅ΠΊΡ†ΠΈΠΈ

Π­Π½Π΄ΠΎΠΊΡ€ΠΈΠ½Π½Ρ‹Π΅ заболСвания:

  • Π‘Π°Ρ…Π°Ρ€Π½Ρ‹ΠΉ Π΄ΠΈΠ°Π±Π΅Ρ‚ (ΠΊΠ°ΠΊ Π² ΠΌΠΎΡ‘ΠΌ случаС с пСрсидской кошкой)
  • Дисфункция Ρ‰ΠΈΡ‚ΠΎΠ²ΠΈΠ΄Π½ΠΎΠΉ ΠΆΠ΅Π»Π΅Π·Ρ‹

ΠŸΡ€ΠΈΠΌΠ΅Π½Π΅Π½ΠΈΠ΅ лСкарств:

  • Π“Π»ΡŽΠΊΠΎΠΊΠΎΡ€Ρ‚ΠΈΠΊΠΎΡΡ‚Π΅Ρ€ΠΎΠΈΠ΄Ρ‹ (ΠΏΡ€Π΅Π΄Π½ΠΈΠ·ΠΎΠ»ΠΎΠ½, дСксамСтазон ΠΈ Π΄Ρ€ΡƒΠ³ΠΈΠ΅) — ΠΏΠΎΠ΄Π°Π²Π»ΡΡŽΡ‚ ΠΈΠΌΠΌΡƒΠ½ΠΈΡ‚Π΅Ρ‚
  • Π˜ΠΌΠΌΡƒΠ½ΠΎΡΡƒΠΏΡ€Π΅ΡΡΠΈΠ²Π½Ρ‹Π΅ ΠΏΡ€Π΅ΠΏΠ°Ρ€Π°Ρ‚Ρ‹ (для лСчСния Π°ΡƒΡ‚ΠΎΠΈΠΌΠΌΡƒΠ½Π½Ρ‹Ρ… Π·Π°Π±ΠΎΠ»Π΅Π²Π°Π½ΠΈΠΉ)

Возраст ΠΈ состояниС:

  • ΠšΠΎΡ‚ΡΡ‚Π° (нСзрСлая иммунная систСма)
  • ΠŸΠΎΠΆΠΈΠ»Ρ‹Π΅ кошки (ослаблСнный ΠΈΠΌΠΌΡƒΠ½ΠΈΡ‚Π΅Ρ‚)
  • ΠŸΠ»ΠΎΡ…ΠΎΠ΅ ΠΏΠΈΡ‚Π°Π½ΠΈΠ΅
  • Π₯роничСский стрСсс
  • Π‘ΠΊΡƒΡ‡Π΅Π½Π½ΠΎΠ΅ содСрТаниС (Π² ΠΏΠΈΡ‚ΠΎΠΌΠ½ΠΈΠΊΠ°Ρ…)

ГСнСтичСская ΠΏΡ€Π΅Π΄Ρ€Π°ΡΠΏΠΎΠ»ΠΎΠΆΠ΅Π½Π½ΠΎΡΡ‚ΡŒ:

  • НСкоторыС ΠΏΠΎΡ€ΠΎΠ΄Ρ‹ Π±ΠΎΠ»Π΅Π΅ ΠΏΠΎΠ΄Π²Π΅Ρ€ΠΆΠ΅Π½Ρ‹ (особСнно D. gatoi — Π² ΠΏΠΈΡ‚ΠΎΠΌΠ½ΠΈΠΊΠ°Ρ… Π½Π΅ΠΊΠΎΡ‚ΠΎΡ€Ρ‹Ρ… ΠΏΠΎΡ€ΠΎΠ΄ Π²Ρ‹ΡˆΠ΅ частота)
Π²Ρ€Π°Ρ‡ смотрит Π½Π° рСнтгСновский снимок, Π° кошка Π»Π΅ΠΆΠΈΡ‚ рядом

Π§Ρ‚ΠΎ я дСлаю ΠΏΡ€ΠΈ ΠΎΠ±Π½Π°Ρ€ΡƒΠΆΠ΅Π½ΠΈΠΈ Π΄Π΅ΠΌΠΎΠ΄Π΅ΠΊΠΎΠ·Π°

Когда я ΠΏΠΎΠ»ΡƒΡ‡Π°ΡŽ ΠΏΠΎΠ»ΠΎΠΆΠΈΡ‚Π΅Π»ΡŒΠ½Ρ‹ΠΉ Ρ€Π΅Π·ΡƒΠ»ΡŒΡ‚Π°Ρ‚ соскоба Π½Π° Π΄Π΅ΠΌΠΎΠ΄Π΅ΠΊΠΎΠ·, моя пСрвая рСакция — это Π½Π΅ Ρ‚ΠΎΠ»ΡŒΠΊΠΎ Π½Π°Π·Π½Π°Ρ‡ΠΈΡ‚ΡŒ Π»Π΅Ρ‡Π΅Π½ΠΈΠ΅ ΠΏΡ€ΠΎΡ‚ΠΈΠ² ΠΊΠ»Π΅Ρ‰Π΅ΠΉ.

Π― Π½Π°Ρ‡ΠΈΠ½Π°ΡŽ с истории Π±ΠΎΠ»Π΅Π·Π½ΠΈ. Как Π΄ΠΎΠ»Π³ΠΎ это длится? Кошка Π±Ρ‹Π»Π° Π³Π΄Π΅-Ρ‚ΠΎ (выставка, ΠΏΠΈΡ‚ΠΎΠΌΠ½ΠΈΠΊ, Π΄Ρ€ΡƒΠ³ΠΎΠΉ Π΄ΠΎΠΌ)? Π•ΡΡ‚ΡŒ Π»ΠΈ ΠΊΠΎΠ½Ρ‚Π°ΠΊΡ‚Π½Ρ‹Π΅ кошки? Кошка ΠΊΠΎΠ³Π΄Π°-Π½ΠΈΠ±ΡƒΠ΄ΡŒ ΠΏΠΎΠ»ΡƒΡ‡Π°Π»Π° стСроиды? Π•ΡΡ‚ΡŒ Π»ΠΈ Π΄Ρ€ΡƒΠ³ΠΈΠ΅ ΠΏΡ€ΠΈΠ·Π½Π°ΠΊΠΈ Π±ΠΎΠ»Π΅Π·Π½ΠΈ?

Для D. cati я ΠΎΠ±ΡΠ·Π°Ρ‚Π΅Π»ΡŒΠ½ΠΎ Ρ€Π΅ΠΊΠΎΠΌΠ΅Π½Π΄ΡƒΡŽ:

  • Анализ ΠΊΡ€ΠΎΠ²ΠΈ (ΠΏΠΎΠ»Π½Ρ‹ΠΉ ΠΈ биохимичСский)
  • ВСсты Π½Π° FIV ΠΈ FeLV
  • ΠŸΡ€ΠΎΠ²Π΅Ρ€ΠΊΡƒ Ρ„ΡƒΠ½ΠΊΡ†ΠΈΠΈ Ρ‰ΠΈΡ‚ΠΎΠ²ΠΈΠ΄Π½ΠΎΠΉ ΠΆΠ΅Π»Π΅Π·Ρ‹ (Π’4)
  • Π£Ρ€ΠΎΠ²Π΅Π½ΡŒ Π³Π»ΡŽΠΊΠΎΠ·Ρ‹ Π² ΠΊΡ€ΠΎΠ²ΠΈ
  • Анализ ΠΌΠΎΡ‡ΠΈ

ΠŸΠΎΡ‚ΠΎΠΌΡƒ Ρ‡Ρ‚ΠΎ Ссли я Π½Π°ΠΉΠ΄Ρƒ Π³Π΅Π½Π΅Ρ€Π°Π»ΠΈΠ·ΠΎΠ²Π°Π½Π½Ρ‹ΠΉ Π΄Π΅ΠΌΠΎΠ΄Π΅ΠΊΠΎΠ·, Π²Ρ‹Π·Π²Π°Π½Π½Ρ‹ΠΉ D. cati, я знаю, Ρ‡Ρ‚ΠΎ Π³Π΄Π΅-Ρ‚ΠΎ скрываСтся основная болСзнь. Моя Ρ€Π°Π±ΠΎΡ‚Π° — Π΅Ρ‘ Π½Π°ΠΉΡ‚ΠΈ.

Для D. gatoi — совсСм другая Ρ‚Π°ΠΊΡ‚ΠΈΠΊΠ°. Π― ΡƒΠ²Π΅Ρ€Π΅Π½, Ρ‡Ρ‚ΠΎ это Π·Π°Ρ€Π°Π·Π½ΠΎΠ΅ Π·Π°Π±ΠΎΠ»Π΅Π²Π°Π½ΠΈΠ΅, поэтому я Ρ€Π΅ΠΊΠΎΠΌΠ΅Π½Π΄ΡƒΡŽ ΠΊΠ°Ρ€Π°Π½Ρ‚ΠΈΠ½, Π»Π΅Ρ‡Π΅Π½ΠΈΠ΅ всСх ΠΊΠΎΠ½Ρ‚Π°ΠΊΡ‚Π½Ρ‹Ρ… кошСк ΠΈ строгий ΠΊΠΎΠ½Ρ‚Ρ€ΠΎΠ»ΡŒ ΠΎΠΊΡ€ΡƒΠΆΠ°ΡŽΡ‰Π΅ΠΉ срСды.

Как Π»Π΅Ρ‡ΠΈΡ‚ΡŒ Π΄Π΅ΠΌΠΎΠ΄Π΅ΠΊΠΎΠ· Ρƒ кошСк

Π›Π΅Ρ‡Π΅Π½ΠΈΠ΅ Π΄Π΅ΠΌΠΎΠ΄Π΅ΠΊΠΎΠ·Π° зависит ΠΎΡ‚ Π²ΠΈΠ΄Π° ΠΊΠ»Π΅Ρ‰Π΅ΠΉ, Ρ„ΠΎΡ€ΠΌΡ‹ заболСвания ΠΈ наличия ослоТнСний. 

Π‘ΠΎΠ²Ρ€Π΅ΠΌΠ΅Π½Π½Ρ‹Π΅ ΠΏΡ€Π΅ΠΏΠ°Ρ€Π°Ρ‚Ρ‹: изоксазолины

Fluralaner (Π‘Ρ€Π°Π²Π΅ΠΊΡ‚ΠΎ) — это ΠΌΠΎΠΉ Π²Ρ‹Π±ΠΎΡ€ Π½ΠΎΠΌΠ΅Ρ€ ΠΎΠ΄ΠΈΠ½.

Π­Ρ‚ΠΎ изоксазолин, класс инсСктицидов, ΠΊΠΎΡ‚ΠΎΡ€Ρ‹ΠΉ ΠΎΡ‡Π΅Π½ΡŒ эффСктивСн ΠΏΡ€ΠΎΡ‚ΠΈΠ² Π΄Π΅ΠΌΠΎΠ΄Π΅ΠΊΠΎΠ·Π°. Π€Π»ΡƒΡ€Π°Π»Π°Π½Π΅Ρ€ наносится Π½Π° ΠΊΠΎΠΆΡƒ Π² Π²ΠΈΠ΄Π΅ капСль Π½Π° Ρ…ΠΎΠ»ΠΊΡƒ. Всё просто: нанСси Π½Π° ΡΡƒΡ…ΡƒΡŽ ΠΊΠΎΠΆΡƒ Π½Π° спинС, ΠΌΠ΅ΠΆΠ΄Ρƒ Π»ΠΎΠΏΠ°Ρ‚ΠΊΠ°ΠΌΠΈ, Π³Π΄Π΅ кошка Π½Π΅ ΠΌΠΎΠΆΠ΅Ρ‚ Π²Ρ‹Π»ΠΈΠ·Π°Ρ‚ΡŒ. ДСйствуСт 8-12 нСдСль.

ΠžΠ±Ρ‹Ρ‡Π½ΠΎ трСбуСтся 1-2 ΠΎΠ±Ρ€Π°Π±ΠΎΡ‚ΠΊΠΈ для излСчСния. ΠšΠ»Π΅Ρ‰ΠΈ Π½Π°Ρ‡ΠΈΠ½Π°ΡŽΡ‚ ΡƒΠΌΠΈΡ€Π°Ρ‚ΡŒ Π² Ρ‚Π΅Ρ‡Π΅Π½ΠΈΠ΅ часов. Кошка Ρ…ΠΎΡ€ΠΎΡˆΠΎ пСрСносит ΠΏΡ€Π΅ΠΏΠ°Ρ€Π°Ρ‚, ΠΏΠΎΠ±ΠΎΡ‡Π½Ρ‹Ρ… эффСктов минимально.

ΠŸΡ€Π΅ΠΈΠΌΡƒΡ‰Π΅ΡΡ‚Π²Π°:

  • ΠŸΡ€ΠΎΡΡ‚ΠΎΠ΅ ΠΏΡ€ΠΈΠΌΠ΅Π½Π΅Π½ΠΈΠ΅ (ΠΎΠ΄ΠΈΠ½ Ρ€Π°Π· Π² 8 нСдСль)
  • Π­Ρ„Ρ„Π΅ΠΊΡ‚ΠΈΠ²Π΅Π½ ΠΏΡ€ΠΎΡ‚ΠΈΠ² ΠΎΠ±ΠΎΠΈΡ… Π²ΠΈΠ΄ΠΎΠ² Demodex
  • Π₯ΠΎΡ€ΠΎΡˆΠΎ пСрСносится
  • ДСйствуСт Ρ‚Π°ΠΊΠΆΠ΅ ΠΏΡ€ΠΎΡ‚ΠΈΠ² Π±Π»ΠΎΡ…, вшСй ΠΈ Π΄Ρ€ΡƒΠ³ΠΈΡ… ΠΏΠ°Ρ€Π°Π·ΠΈΡ‚ΠΎΠ²
  • ΠšΠΎΡ€ΠΎΡ‚ΠΊΠΎΠ΅ врСмя лСчСния (часто достаточно 2 ΠΎΠ±Ρ€Π°Π±ΠΎΡ‚ΠΎΠΊ)

Selamectin (Revolution Plus) — Ρ‚ΠΎΠΆΠ΅ Ρ…ΠΎΡ€ΠΎΡˆΠΈΠΉ Π²Ρ‹Π±ΠΎΡ€, наносится СТСнСдСльно.

Π²Ρ€Π°Ρ‡ Π΄Π΅Ρ€ΠΆΠΈΡ‚ Π² Ρ€ΡƒΠΊΠ°Ρ… Π΄Π²Π° ΡˆΠΏΡ€ΠΈΡ†Π° с лСкарством, кошка Π»Π΅ΠΆΠΈΡ‚ рядом

ΠšΠ»Π°ΡΡΠΈΡ‡Π΅ΡΠΊΠΈΠ΅ ΠΌΠ΅Ρ‚ΠΎΠ΄Ρ‹

Lime sulfur dips (2% раствор сСры, содСрТащСй ΠΈΠ·Π²Π΅ΡΡ‚ΡŒ)

Π­Ρ‚ΠΎ старый, ΠΏΡ€ΠΎΠ²Π΅Ρ€Π΅Π½Π½Ρ‹ΠΉ ΠΌΠ΅Ρ‚ΠΎΠ΄, Π½ΠΎ ΠΌΠ΅Π½Π΅Π΅ ΡƒΠ΄ΠΎΠ±Π½Ρ‹ΠΉ.

ВСхнология: ΠΊΠΎΡˆΠΊΡƒ ΠΎΠΊΡƒΠ½Π°ΡŽΡ‚ Π² раствор сСры СТСнСдСльно Π² Ρ‚Π΅Ρ‡Π΅Π½ΠΈΠ΅ 6-8 нСдСль. Π­Ρ‚ΠΎ ΠΏΠ°Ρ…Π½Π΅Ρ‚ уТасно (Π·Π°ΠΏΠ°Ρ… Ρ‚ΡƒΡ…Π»Ρ‹Ρ… яиц), ΠΎΠΊΡ€Π°ΡˆΠΈΠ²Π°Π΅Ρ‚ ΠΊΠΎΡˆΠΊΡƒ Π² ΠΆΡ‘Π»Ρ‚ΠΎ-ΠΊΠΎΡ€ΠΈΡ‡Π½Π΅Π²Ρ‹ΠΉ Ρ†Π²Π΅Ρ‚, ΠΌΠΎΠΆΠ΅Ρ‚ Π²Ρ‹Π·Π²Π°Ρ‚ΡŒ Ρ€Π°Π·Π΄Ρ€Π°ΠΆΠ΅Π½ΠΈΠ΅ ΠΊΠΎΠΆΠΈ.

Но это Ρ€Π°Π±ΠΎΡ‚Π°Π΅Ρ‚. Π‘Π΅Ρ€Π° ΠΈΠΌΠ΅Π΅Ρ‚ Π°ΠΊΠ°Ρ€ΠΈΡ†ΠΈΠ΄Π½Ρ‹Π΅ свойства ΠΈ ΡƒΠ±ΠΈΠ²Π°Π΅Ρ‚ ΠΊΠ»Π΅Ρ‰Π΅ΠΉ.

ΠœΠΈΠ½ΡƒΡΡ‹:

  • Π”Π»ΠΈΡ‚Π΅Π»ΡŒΠ½ΠΎΠ΅ Π»Π΅Ρ‡Π΅Π½ΠΈΠ΅ (6-8 нСдСль Π΅ΠΆΠ΅Π½Π΅Π΄Π΅Π»ΡŒΠ½Ρ‹Ρ… Π²Π°Π½Π½)
  • НСприятный Π·Π°ΠΏΠ°Ρ…
  • ΠœΠΎΠΆΠ΅Ρ‚ Π²Ρ‹Π·Π²Π°Ρ‚ΡŒ ΡΡƒΡ…ΠΎΡΡ‚ΡŒ ΠΊΠΎΠΆΠΈ
  • ΠžΠΊΡ€Π°ΡˆΠΈΠ²Π°Π΅Ρ‚ ΡˆΠ΅Ρ€ΡΡ‚ΡŒ
  • Кошки часто Π½Π΅ Π»ΡŽΠ±ΡΡ‚ этот процСсс

ΠŸΡ€Π΅ΠΈΠΌΡƒΡ‰Π΅ΡΡ‚Π²Π°:

  • Π”Π΅ΡˆΠ΅Π²ΠΎ
  • Π₯ΠΎΡ€ΠΎΡˆΠΎ Ρ€Π°Π±ΠΎΡ‚Π°Π΅Ρ‚
  • Доступно

Amitraz. Акарицид, наносится Π² Π²ΠΈΠ΄Π΅ Π²Π°Π½Π½ ΠΈΠ»ΠΈ полоскания 0.0125% ΠΊΠΎΠ½Ρ†Π΅Π½Ρ‚Ρ€Π°Ρ†ΠΈΠΈ. Π’Ρ€Π΅Π±ΡƒΠ΅Ρ‚ Π·Π°Ρ‰ΠΈΡ‚Ρ‹ ΠΏΡ€ΠΈ ΠΏΡ€ΠΈΠΌΠ΅Π½Π΅Π½ΠΈΠΈ (ΠΏΠ΅Ρ€Ρ‡Π°Ρ‚ΠΊΠΈ, маска).

ΠΊΠΎΡˆΠΊΡƒ Π΄Π΅Ρ€ΠΆΠ°Ρ‚ Ρ€ΡƒΠΊΠ°ΠΌΠΈ Π² ΠΏΠ΅Ρ€Ρ‡Π°Ρ‚ΠΊΠ°Ρ…

Π”ΠΎΠΏΠΎΠ»Π½ΠΈΡ‚Π΅Π»ΡŒΠ½Ρ‹Π΅ ΠΏΡ€Π΅ΠΏΠ°Ρ€Π°Ρ‚Ρ‹

  • Moxidectin/Imidacloprid (Π½Π°ΠΏΡ€ΠΈΠΌΠ΅Ρ€, Revolution) — наносится СТСнСдСльно.
  • Ivermectin (ΠΏΠ΅Ρ€ΠΎΡ€Π°Π»ΡŒΠ½Ρ‹ΠΉ) — Ρ‚Ρ€Π΅Π±ΡƒΠ΅Ρ‚ остороТности, ΠΌΠΎΠΆΠ΅Ρ‚ Π²Ρ‹Π·Π²Π°Ρ‚ΡŒ ΠΏΠΎΠ±ΠΎΡ‡Π½Ρ‹Π΅ эффСкты Ρƒ Π½Π΅ΠΊΠΎΡ‚ΠΎΡ€Ρ‹Ρ… кошСк.
  • ΠœΠΈΠ»Π±Π΅ΠΌΠΈΡ†ΠΈΠ½ оксим — Ρ€Π°Π±ΠΎΡ‚Π°Π΅Ρ‚, Π½ΠΎ ΠΈΡΠΏΠΎΠ»ΡŒΠ·ΡƒΠ΅Ρ‚ΡΡ Ρ€Π΅ΠΆΠ΅.
  • Π”ΠΎΡ€Π°ΠΌΠ΅ΠΊΡ‚ΠΈΠ½ — ΠΈΠ½ΡŠΠ΅ΠΊΡ†ΠΈΠΈ СТСнСдСльно.

Π”ΠΎΠΏΠΎΠ»Π½ΠΈΡ‚Π΅Π»ΡŒΠ½ΠΎΠ΅ Π»Π΅Ρ‡Π΅Π½ΠΈΠ΅, Ссли Π΅ΡΡ‚ΡŒ ослоТнСния

  • Антибиотики — Ссли Π΅ΡΡ‚ΡŒ вторичная Π±Π°ΠΊΡ‚Π΅Ρ€ΠΈΠ°Π»ΡŒΠ½Π°Ρ инфСкция (Ρ‡Ρ‚ΠΎ часто происходит). ΠžΠ±Ρ‹Ρ‡Π½ΠΎ амоксициллин, доксициклин ΠΈΠ»ΠΈ Π΄Ρ€ΡƒΠ³ΠΈΠ΅ ΡˆΠΈΡ€ΠΎΠΊΠΎΠ³ΠΎ спСктра.
  • ΠŸΡ€ΠΎΡ‚ΠΈΠ²ΠΎΠ²ΠΎΡΠΏΠ°Π»ΠΈΡ‚Π΅Π»ΡŒΠ½Ρ‹Π΅ ΠΏΡ€Π΅ΠΏΠ°Ρ€Π°Ρ‚Ρ‹ — для облСгчСния воспалСния. Иногда ΠΊΠΎΡ€ΠΎΡ‚ΠΊΠΈΠΉ курс стСроидов ΠΌΠΎΠΆΠ΅Ρ‚ ΠΏΠΎΠΌΠΎΡ‡ΡŒ, Π½ΠΎ с ΠΎΡΡ‚ΠΎΡ€ΠΎΠΆΠ½ΠΎΡΡ‚ΡŒΡŽ (ΠΎΠ½ΠΈ ΠΏΠΎΠ΄Π°Π²Π»ΡΡŽΡ‚ ΠΈΠΌΠΌΡƒΠ½ΠΈΡ‚Π΅Ρ‚, Ρ‡Ρ‚ΠΎ ΠΌΠΎΠΆΠ΅Ρ‚ ΡƒΡ…ΡƒΠ΄ΡˆΠΈΡ‚ΡŒ ΡΠΈΡ‚ΡƒΠ°Ρ†ΠΈΡŽ).
  • ΠŸΡ€ΠΎΡ‚ΠΈΠ²ΠΎΠ·ΡƒΠ΄Π½Ρ‹Π΅ ΠΏΡ€Π΅ΠΏΠ°Ρ€Π°Ρ‚Ρ‹ — Ρ‡Ρ‚ΠΎΠ±Ρ‹ ΠΏΠΎΠΌΠΎΡ‡ΡŒ кошкС Π½Π΅ Ρ€Π°ΡΡ‡Ρ‘ΡΡ‹Π²Π°Ρ‚ΡŒ пораТСния. Антигистамины, ΠΈΠ½Π³ΠΈΠ±ΠΈΡ‚ΠΎΡ€Ρ‹ GABAR (Π½Π°ΠΏΡ€ΠΈΠΌΠ΅Ρ€, Π»ΠΈΠ΄Π°ΠΌΠΈΠ΄ΠΈΠ½) ΠΈΠ»ΠΈ ΠΈΠ½Π³ΠΈΠ±ΠΈΡ‚ΠΎΡ€Ρ‹ JAK.
  • Π’ΠΈΡ‚Π°ΠΌΠΈΠ½Ρ‹ ΠΈ ΠΌΠΈΠ½Π΅Ρ€Π°Π»Ρ‹ — Π²ΠΈΡ‚Π°ΠΌΠΈΠ½ А, Π²ΠΈΡ‚Π°ΠΌΠΈΠ½ Π•, Ρ†ΠΈΠ½ΠΊ, сСлСн для ΠΏΠΎΠ΄Π΄Π΅Ρ€ΠΆΠΊΠΈ ΠΈΠΌΠΌΡƒΠ½ΠΈΡ‚Π΅Ρ‚Π° ΠΈ Π·Π΄ΠΎΡ€ΠΎΠ²ΡŒΡ ΠΊΠΎΠΆΠΈ.
  • Π›Π΅Ρ‡Π΅Π±Π½Ρ‹Π΅ ΡˆΠ°ΠΌΠΏΡƒΠ½ΠΈ — с антисСптичСскими ΠΈ ΠΏΡ€ΠΎΡ‚ΠΈΠ²ΠΎΠ²ΠΎΡΠΏΠ°Π»ΠΈΡ‚Π΅Π»ΡŒΠ½Ρ‹ΠΌΠΈ свойствами для очистки ΠΏΠΎΡ€Π°ΠΆΡ‘Π½Π½ΠΎΠΉ ΠΊΠΎΠΆΠΈ.
ΠΊΠΎΡˆΠΊΡƒ ΠΊΡƒΠΏΠ°ΡŽΡ‚ Π² Π²Π°Π½Π½ΠΎΠΉ Π»Π΅Ρ‡Π΅Π±Π½Ρ‹ΠΌ ΡˆΠ°ΠΌΠΏΡƒΠ½Π΅ΠΌ

ΠŸΠΎΡ‡Π΅ΠΌΡƒ Ρ‚Π°ΠΊ ΠΌΠ½ΠΎΠ³ΠΎ Π²Π»Π°Π΄Π΅Π»ΡŒΡ†Π΅Π² ΠΏΡ€Π΅Ρ€Ρ‹Π²Π°ΡŽΡ‚ Π»Π΅Ρ‡Π΅Π½ΠΈΠ΅ Ρ€Π°Π½ΠΎ

Π­Ρ‚ΠΎ ΠΎΠ΄Π½Π° ΠΈΠ· самых частых ΠΏΡ€ΠΎΠ±Π»Π΅ΠΌ, с ΠΊΠΎΡ‚ΠΎΡ€Ρ‹ΠΌΠΈ я ΡΡ‚Π°Π»ΠΊΠΈΠ²Π°ΡŽΡΡŒ. Π’Π»Π°Π΄Π΅Π»Π΅Ρ† Π²ΠΈΠ΄ΠΈΡ‚, Ρ‡Ρ‚ΠΎ Π·ΡƒΠ΄ ΠΏΡ€ΠΎΡˆΡ‘Π», ΡˆΠ΅Ρ€ΡΡ‚ΡŒ Π½Π°Ρ‡Π°Π»Π° ΠΎΡ‚Ρ€Π°ΡΡ‚Π°Ρ‚ΡŒ, ΠΈ Π΄ΡƒΠΌΠ°Π΅Ρ‚: "Π“ΠΎΡ‚ΠΎΠ²ΠΎ, я ΠΌΠΎΠ³Ρƒ ΠΎΡΡ‚Π°Π½ΠΎΠ²ΠΈΡ‚ΡŒ Π»Π΅Ρ‡Π΅Π½ΠΈΠ΅."

Но я всСгда Π³ΠΎΠ²ΠΎΡ€ΡŽ: "НСт, Π½Π΅ Π³ΠΎΡ‚ΠΎΠ²ΠΎ. ΠšΠ»Π΅Ρ‰ΠΈ Π΅Ρ‰Ρ‘ ΠΌΠΎΠ³ΡƒΡ‚ Π±Ρ‹Ρ‚ΡŒ." И ΠΊΠΎΠ³Π΄Π° ΠΎΠ½ΠΈ приносят ΠΏΠΎΠ²Ρ‚ΠΎΡ€Π½Ρ‹ΠΉ соскоб, ΠΎΠ½ часто всё Π΅Ρ‰Ρ‘ ΠΏΠΎΠ»ΠΎΠΆΠΈΡ‚Π΅Π»ΡŒΠ½Ρ‹ΠΉ. Π’ΠΎΠ³Π΄Π° ΠΌΡ‹ ΠΏΡ€ΠΎΠ΄ΠΎΠ»ΠΆΠ°Π΅ΠΌ Π»Π΅Ρ‡Π΅Π½ΠΈΠ΅.

Π­Ρ‚ΠΎ ΠΌΠΎΠΆΠ΅Ρ‚ Π±Ρ‹Ρ‚ΡŒ Ρ€Π°Π·ΠΎΡ‡Π°Ρ€ΠΎΠ²Ρ‹Π²Π°ΡŽΡ‰ΠΈΠΌ для Π²Π»Π°Π΄Π΅Π»ΡŒΡ†Π°, особСнно Ссли Π»Π΅Ρ‡Π΅Π½ΠΈΠ΅ Π΄Π»ΠΈΡ‚Π΅Π»ΡŒΠ½ΠΎΠ΅ (ΠΊΠ°ΠΊ с Π»Π°ΠΉΠΌ-ΡΡƒΠ»ΡŒΡ„ΡƒΡ€Π½Ρ‹ΠΌΠΈ Π²Π°Π½Π½Π°ΠΌΠΈ). Но это Π½Π΅ΠΎΠ±Ρ…ΠΎΠ΄ΠΈΠΌΠΎ.

Π― всСгда объясняю: "Π”Π°Π²Π°ΠΉΡ‚Π΅ Π±ΡƒΠ΄Π΅ΠΌ ΡƒΠ²Π΅Ρ€Π΅Π½Ρ‹, Ρ‡Ρ‚ΠΎ ΠΊΠ»Π΅Ρ‰ΠΈ Π΄Π΅ΠΉΡΡ‚Π²ΠΈΡ‚Π΅Π»ΡŒΠ½ΠΎ ΡƒΡˆΠ»ΠΈ, ΠΏΡ€Π΅ΠΆΠ΄Π΅ Ρ‡Π΅ΠΌ ΠΌΡ‹ ΠΏΡ€Π΅ΠΊΡ€Π°Ρ‚ΠΈΠΌ Π»Π΅Ρ‡Π΅Π½ΠΈΠ΅. Π’ ΠΏΡ€ΠΎΡ‚ΠΈΠ²Π½ΠΎΠΌ случаС ΠΎΠ½ΠΈ вСрнутся, ΠΈ Π²Π°ΠΌ придётся Π½Π°Ρ‡ΠΈΠ½Π°Ρ‚ΡŒ всё сначала."

Π€ΠΎΡ€ΠΌΡ‹ Π±ΠΎΠ»Π΅Π·Π½ΠΈ — ΡƒΡ…ΠΎ ΠΈ Π»Π°ΠΏΡ‹

ΠžΡ‚ΠΎΠ΄Π΅ΠΌΠΎΠ΄Π΅ΠΊΠΎΠ· (Π΄Π΅ΠΌΠΎΠ΄Π΅ΠΊΠΎΠ· ΡƒΡˆΠ΅ΠΉ) — это Π΄Π΅ΠΌΠΎΠ΄Π΅ΠΊΠΎΠ· Π²Π½ΡƒΡ‚Ρ€ΠΈ ΠΈ Π²ΠΎΠΊΡ€ΡƒΠ³ слухового ΠΏΡ€ΠΎΡ…ΠΎΠ΄Π°. ΠœΠΎΠΆΠ΅Ρ‚ Π±Ρ‹Ρ‚ΡŒ СдинствСнным ΠΏΡ€ΠΈΠ·Π½Π°ΠΊΠΎΠΌ заболСвания.

ΠŸΡ€ΠΈΠ·Π½Π°ΠΊΠΈ:

  • ВыдСлСния ΠΈΠ· ΡƒΡˆΠ΅ΠΉ
  • Π—Π°ΠΏΠ°Ρ… ΠΈΠ· ΡƒΡˆΠ΅ΠΉ
  • Кошка трясёт Π³ΠΎΠ»ΠΎΠ²ΠΎΠΉ, Ρ‡Π΅ΡˆΠ΅Ρ‚ ΡƒΡˆΠΈ
  • Π§Π΅Ρ€Π½Ρ‹ΠΉ, грязный Π²ΠΈΠ΄ Π²Π½ΡƒΡ‚Ρ€ΠΈ ΡƒΡ…Π°

Для диагностики Π±Π΅Ρ€Ρƒ ΠΌΠ°Ρ‚Π΅Ρ€ΠΈΠ°Π» Π²Π°Ρ‚Π½ΠΎΠΉ ΠΏΠ°Π»ΠΎΡ‡ΠΊΠΎΠΉ ΠΈΠ· слухового ΠΏΡ€ΠΎΡ…ΠΎΠ΄Π° ΠΈ ΡΠΌΠΎΡ‚Ρ€ΡŽ ΠΏΠΎΠ΄ микроскопом.

Π›Π΅Ρ‡Π΅Π½ΠΈΠ΅: ΡΠΏΠ΅Ρ†ΠΈΠ°Π»ΡŒΠ½Ρ‹Π΅ ΠΊΠ°ΠΏΠ»ΠΈ Π² ΡƒΡˆΠΈ (с Π°ΠΊΠ°Ρ€ΠΈΡ†ΠΈΠ΄Π°ΠΌΠΈ), ΠΎΠ±Ρ‰Π΅Π΅ Π»Π΅Ρ‡Π΅Π½ΠΈΠ΅ (Ρ„Π»ΡƒΡ€Π°Π»Π°Π½Π΅Ρ€ ΠΈΠ»ΠΈ Π΄Ρ€ΡƒΠ³ΠΈΠ΅ ΠΏΡ€Π΅ΠΏΠ°Ρ€Π°Ρ‚Ρ‹), Π°Π½Ρ‚ΠΈΠ±ΠΈΠΎΡ‚ΠΈΠΊΠΈ ΠΏΡ€ΠΈ ΠΈΠ½Ρ„Π΅ΠΊΡ†ΠΈΠΈ.

ПододСмодСкоз (Π΄Π΅ΠΌΠΎΠ΄Π΅ΠΊΠΎΠ· Π»Π°ΠΏ) — ΠΏΠΎΡ€Π°ΠΆΠ΅Π½ΠΈΠ΅ ΠΊΠΎΠΆΠΈ ΠΌΠ΅ΠΆΠ΄Ρƒ ΠΏΠ°Π»ΡŒΡ†Π°ΠΌΠΈ ΠΈ Π½Π° ΠΏΠΎΠ΄ΡƒΡˆΠ΅Ρ‡ΠΊΠ°Ρ… Π»Π°ΠΏ.

ΠŸΡ€ΠΈΠ·Π½Π°ΠΊΠΈ:

  • Π₯Ρ€ΠΎΠΌΠΎΡ‚Π° (кошка ΠΏΡ€ΠΈΡ…Ρ€Π°ΠΌΡ‹Π²Π°Π΅Ρ‚)
  • Π£Ρ‚ΠΎΠ»Ρ‰Π΅Π½ΠΈΠ΅ ΠΈ ΠΎΠ³Ρ€ΡƒΠ±Π΅Π½ΠΈΠ΅ ΠΊΠΎΠΆΠΈ Π½Π° Π»Π°ΠΏΠ°Ρ…
  • Π’Ρ€Π΅Ρ‰ΠΈΠ½Ρ‹, ΠΈΠ½ΠΎΠ³Π΄Π° с ΠΊΡ€ΠΎΠ²ΡŒΡŽ
  • Π—ΡƒΠ΄ Π² Π»Π°ΠΏΠ°Ρ…

Π­Ρ‚ΠΎ ΠΌΠΎΠΆΠ΅Ρ‚ Π±Ρ‹Ρ‚ΡŒ ΠΎΡ‡Π΅Π½ΡŒ Π±ΠΎΠ»Π΅Π·Π½Π΅Π½Π½Ρ‹ΠΌ ΠΈ Π²Ρ‹Π·Ρ‹Π²Π°Ρ‚ΡŒ Ρ…Ρ€ΠΎΠΌΠΎΡ‚Ρƒ. Π’Ρ€Π΅Π±ΡƒΠ΅Ρ‚ Ρ‚Π°ΠΊΠΎΠ³ΠΎ ΠΆΠ΅ лСчСния, ΠΊΠ°ΠΊ Π³Π΅Π½Π΅Ρ€Π°Π»ΠΈΠ·ΠΎΠ²Π°Π½Π½Ρ‹ΠΉ Π΄Π΅ΠΌΠΎΠ΄Π΅ΠΊΠΎΠ·, Π½ΠΎ ΠΈΠ½ΠΎΠ³Π΄Π° Ρ‚Ρ€Π΅Π±ΡƒΠ΅Ρ‚ Π±ΠΎΠ»Π΅Π΅ интСнсивного ΠΏΠΎΠ΄Ρ…ΠΎΠ΄Π°.

Π²Ρ€Π°Ρ‡ осматриваСт Π»Π°ΠΏΡƒ Ρƒ кошки

ΠŸΡ€ΠΎΡ„ΠΈΠ»Π°ΠΊΡ‚ΠΈΠΊΠ°: ΠΊΠ°ΠΊ ΠΈΠ·Π±Π΅ΠΆΠ°Ρ‚ΡŒ Π΄Π΅ΠΌΠΎΠ΄Π΅ΠΊΠΎΠ·Π°

ΠŸΡ€ΠΎΡ„ΠΈΠ»Π°ΠΊΡ‚ΠΈΠΊΠ° Π΄Π΅ΠΌΠΎΠ΄Π΅ΠΊΠΎΠ·Π° основана Π½Π° ΠΏΠΎΠ΄Π΄Π΅Ρ€ΠΆΠ°Π½ΠΈΠΈ сильного ΠΈΠΌΠΌΡƒΠ½ΠΈΡ‚Π΅Ρ‚Π° ΠΈ ΠΌΠΈΠ½ΠΈΠΌΠΈΠ·Π°Ρ†ΠΈΠΈ Ρ„Π°ΠΊΡ‚ΠΎΡ€ΠΎΠ² риска. Π’ΠΎΡ‚, Ρ‡Ρ‚ΠΎ я ΠΌΠΎΠ³Ρƒ ΠΏΠΎΡΠΎΠ²Π΅Ρ‚ΠΎΠ²Π°Ρ‚ΡŒ:

  • БбалансированноС ΠΏΠΈΡ‚Π°Π½ΠΈΠ΅ — ΠΊΠΎΡ€ΠΌΠΈΡ‚Π΅ ΠΊΠΎΡˆΠΊΡƒ качСствСнным ΠΊΠΎΡ€ΠΌΠΎΠΌ, Π±ΠΎΠ³Π°Ρ‚Ρ‹ΠΌ Π±Π΅Π»ΠΊΠΎΠΌ ΠΈ Π½Π΅Π·Π°ΠΌΠ΅Π½ΠΈΠΌΡ‹ΠΌΠΈ ΠΆΠΈΡ€Π½Ρ‹ΠΌΠΈ кислотами. Π­Ρ‚ΠΎ ΠΏΠΎΠ΄Π΄Π΅Ρ€ΠΆΠΈΠ²Π°Π΅Ρ‚ Π·Π΄ΠΎΡ€ΠΎΠ²ΡŒΠ΅ ΠΊΠΎΠΆΠΈ ΠΈ ΠΈΠΌΠΌΡƒΠ½ΠΈΡ‚Π΅Ρ‚Π°.
  • ΠŸΠΎΠ΄Π΄Π΅Ρ€ΠΆΠ°Π½ΠΈΠ΅ ΠΈΠΌΠΌΡƒΠ½ΠΈΡ‚Π΅Ρ‚Π° — ΠΈΠ·Π±Π΅Π³Π°ΠΉΡ‚Π΅ Π½Π΅Π½ΡƒΠΆΠ½Ρ‹Ρ… стСроидов, Π»Π΅Ρ‡ΠΈΡ‚Π΅ ΠΈΠ½Ρ„Π΅ΠΊΡ†ΠΈΠΎΠ½Π½Ρ‹Π΅ заболСвания, ΠΊΠΎΠ½Ρ‚Ρ€ΠΎΠ»ΠΈΡ€ΡƒΠΉΡ‚Π΅ хроничСскиС Π±ΠΎΠ»Π΅Π·Π½ΠΈ (Π΄ΠΈΠ°Π±Π΅Ρ‚, Π³ΠΈΠΏΠ΅Ρ€Ρ‚ΠΈΡ€Π΅ΠΎΠ·).
  • ΠœΠΈΠ½ΠΈΠΌΠΈΠ·Π°Ρ†ΠΈΡ стрСсса — ΠΈΠ·Π±Π΅Π³Π°ΠΉΡ‚Π΅ ΠΏΠ΅Ρ€Π΅Π΅Π·Π΄ΠΎΠ², Π³Ρ€ΠΎΠΌΠΊΠΈΡ… Π·Π²ΡƒΠΊΠΎΠ², появлСния Π½ΠΎΠ²Ρ‹Ρ… ΠΆΠΈΠ²ΠΎΡ‚Π½Ρ‹Ρ… (Ссли это Π²Ρ‹Π·Ρ‹Π²Π°Π΅Ρ‚ стрСсс). БтрСсс подавляСт ΠΈΠΌΠΌΡƒΠ½ΠΈΡ‚Π΅Ρ‚.
  • РСгулярныС Π²Π΅Ρ‚Π΅Ρ€ΠΈΠ½Π°Ρ€Π½Ρ‹Π΅ осмотры — это позволяСт Π²Ρ‹ΡΠ²ΠΈΡ‚ΡŒ ΠΏΡ€ΠΎΠ±Π»Π΅ΠΌΡ‹ Π½Π° Ρ€Π°Π½Π½ΠΈΡ… стадиях, ΠΊΠΎΠ³Π΄Π° ΠΎΠ½ΠΈ Π΅Ρ‰Ρ‘ лСчатся.
  • Π‘ΠΊΡ€ΠΈΠ½ΠΈΠ½Π³ Π½Π° ΠΈΠ½Ρ„Π΅ΠΊΡ†ΠΈΠΎΠ½Π½Ρ‹Π΅ заболСвания — тСсты Π½Π° FIV ΠΈ FeLV ΠΏΡ€ΠΈ появлСнии Π½ΠΎΠ²ΠΎΠΉ кошки Π² Π΄ΠΎΠΌΠ΅. Если Ρƒ вас ΠΌΠ½ΠΎΠ³ΠΎΠΊΠΎΡˆΠ°Ρ‡ΠΈΠΉ Π΄ΠΎΠΌ, Π·Π½Π°ΠΉΡ‚Π΅ статус ΠΊΠ°ΠΆΠ΄ΠΎΠΉ кошки.
  • ΠšΠΎΠ½Ρ‚Ρ€ΠΎΠ»ΡŒ Π² ΠΏΠΈΡ‚ΠΎΠΌΠ½ΠΈΠΊΠ°Ρ… ΠΈ ΠΏΡ€ΠΈ Ρ€Π°Π·Π²Π΅Π΄Π΅Π½ΠΈΠΈ — Ссли Π²Ρ‹ Ρ€Π°Π±ΠΎΡ‚Π°Π΅Ρ‚Π΅ с кошками Π² ΠΏΠΈΡ‚ΠΎΠΌΠ½ΠΈΠΊΠ΅, рСгулярно провСряйтС ΠΈΡ… Π½Π° Π΄Π΅ΠΌΠΎΠ΄Π΅ΠΊΠΎΠ· ΠΈ D. gatoi. Π­Ρ‚ΠΎ особСнно Π²Π°ΠΆΠ½ΠΎ для D. gatoi, ΠΊΠΎΡ‚ΠΎΡ€Ρ‹ΠΉ ΠΌΠΎΠΆΠ΅Ρ‚ Π±Ρ‹Ρ‚ΡŒ асимптомным носитСлСм.
  • Π˜ΡΠΊΠ»ΡŽΡ‡Π΅Π½ΠΈΠ΅ ΠΈΠ· развСдСния — кошки с Π³Π΅Π½Π΅Ρ€Π°Π»ΠΈΠ·ΠΎΠ²Π°Π½Π½ΠΎΠΉ Ρ„ΠΎΡ€ΠΌΠΎΠΉ Π΄Π΅ΠΌΠΎΠ΄Π΅ΠΊΠΎΠ·Π° Π½Π΅ Π΄ΠΎΠ»ΠΆΠ½Ρ‹ ΠΈΡΠΏΠΎΠ»ΡŒΠ·ΠΎΠ²Π°Ρ‚ΡŒΡΡ Π² Ρ€Π°Π·Π²Π΅Π΄Π΅Π½ΠΈΠΈ, Ρ‚Π°ΠΊ ΠΊΠ°ΠΊ это ΠΌΠΎΠΆΠ΅Ρ‚ Π±Ρ‹Ρ‚ΡŒ гСнСтичСски обусловлСнной ΠΏΡ€Π΅Π΄Ρ€Π°ΡΠΏΠΎΠ»ΠΎΠΆΠ΅Π½Π½ΠΎΡΡ‚ΡŒΡŽ.
  • ΠŸΡ€ΠΎΡ„ΠΈΠ»Π°ΠΊΡ‚ΠΈΡ‡Π΅ΡΠΊΠ°Ρ ΠΎΠ±Ρ€Π°Π±ΠΎΡ‚ΠΊΠ° ΠΎΡ‚ ΠΏΠ°Ρ€Π°Π·ΠΈΡ‚ΠΎΠ² — рСгулярная ΠΎΠ±Ρ€Π°Π±ΠΎΡ‚ΠΊΠ° ΠΎΡ‚ Π²Π½Π΅ΡˆΠ½ΠΈΡ… ΠΏΠ°Ρ€Π°Π·ΠΈΡ‚ΠΎΠ² ΠΌΠΎΠΆΠ΅Ρ‚ ΠΏΠΎΠΌΠΎΡ‡ΡŒ ΠΏΠΎΠ΄Π΄Π΅Ρ€ΠΆΠΈΠ²Π°Ρ‚ΡŒ Π·Π΄ΠΎΡ€ΠΎΠ²ΡŒΠ΅ ΠΊΠΎΠΆΠΈ. Π€Π»ΡƒΡ€Π°Π»Π°Π½Π΅Ρ€, Π½Π°ΠΏΡ€ΠΈΠΌΠ΅Ρ€, ΠΌΠΎΠΆΠ½ΠΎ ΠΈΡΠΏΠΎΠ»ΡŒΠ·ΠΎΠ²Π°Ρ‚ΡŒ профилактичСски.

Если Ρƒ вас Π΅ΡΡ‚ΡŒ кошка с ΠΏΠΎΠ΄ΠΎΠ·Ρ€Π΅Π½ΠΈΠ΅ΠΌ Π½Π° Π΄Π΅ΠΌΠΎΠ΄Π΅ΠΊΠΎΠ· ΠΈΠ»ΠΈ Π²Ρ‹ Ρ…ΠΎΡ‚ΠΈΡ‚Π΅ ΠΏΡ€ΠΎΡ„Π΅ΡΡΠΈΠΎΠ½Π°Π»ΡŒΠ½ΠΎΠ³ΠΎ совСта, ΠΎΠ±Ρ€Π°Ρ‰Π°ΠΉΡ‚Π΅ΡΡŒ Π² ΠΊΠ»ΠΈΠ½ΠΈΠΊΡƒ «Laska Pets». Π― ΠΈ ΠΌΠΎΠΉ ΠΊΠΎΠ»Π»Π΅Π³ΠΈ ΠΏΡ€ΠΎΠ²Π΅Π΄Ρ‘ΠΌ ΠΏΠΎΠ»Π½ΠΎΠ΅ обслСдованиС, ΠΎΠΏΡ€Π΅Π΄Π΅Π»ΠΈΠΌ Π²ΠΈΠ΄ ΠΊΠ»Π΅Ρ‰Π΅ΠΉ, Π½Π°ΠΉΠ΄Ρ‘ΠΌ ΠΎΡΠ½ΠΎΠ²Π½ΡƒΡŽ ΠΏΡ€ΠΈΡ‡ΠΈΠ½Ρƒ ΠΈ Ρ€Π°Π·Ρ€Π°Π±ΠΎΡ‚Π°Π΅ΠΌ ΠΏΠ»Π°Π½ лСчСния ΡΠΏΠ΅Ρ†ΠΈΠ°Π»ΡŒΠ½ΠΎ для вашСй кошки.

Π²Ρ€Π°Ρ‡ ΠΈ ΠΊΠ»ΠΈΠ΅Π½Ρ‚ стоят Π² ΠΊΠ°Π±ΠΈΠ½Π΅Ρ‚Π΅ ΠΊΠ»ΠΈΠ½ΠΈΠΊΠΈ, кошка Π² пСрСноскС

Часто Π·Π°Π΄Π°Π²Π°Π΅ΠΌΡ‹Π΅ вопросы

Π”Π΅ΠΌΠΎΠ΄Π΅ΠΊΠΎΠ· Π·Π°Ρ€Π°Π·Π΅Π½ для Ρ‡Π΅Π»ΠΎΠ²Π΅ΠΊΠ°?

НСт. Π”Π΅ΠΌΠΎΠ΄Π΅ΠΊΠΎΠ· Ρƒ кошСк β€” это Π²Π΅Ρ‚Π΅Ρ€ΠΈΠ½Π°Ρ€Π½ΠΎΠ΅ Π·Π°Π±ΠΎΠ»Π΅Π²Π°Π½ΠΈΠ΅, Π½Π΅ опасноС для Ρ‡Π΅Π»ΠΎΠ²Π΅ΠΊΠ°. Demodex mites ΡΠ²Π»ΡΡŽΡ‚ΡΡ видоспСцифичными, Ρ‚ΠΎ Π΅ΡΡ‚ΡŒ ΠΎΠ½ΠΈ ΠΈΠ½Ρ„ΠΈΡ†ΠΈΡ€ΡƒΡŽΡ‚ Ρ‚ΠΎΠ»ΡŒΠΊΠΎ ΠΎΠΏΡ€Π΅Π΄Π΅Π»Ρ‘Π½Π½Ρ‹Π΅ Π²ΠΈΠ΄Ρ‹ ΠΆΠΈΠ²ΠΎΡ‚Π½Ρ‹Ρ…. ΠšΠ»Π΅Ρ‰ΠΈ Demodex ΠΎΡ‚ кошки Π½Π΅ смогут ΠΆΠΈΡ‚ΡŒ Π½Π° Ρ‡Π΅Π»ΠΎΠ²Π΅ΠΊΠ΅.

ΠœΠΎΠΆΠ΅Ρ‚ Π»ΠΈ моя здоровая кошка Π·Π°Π±ΠΎΠ»Π΅Ρ‚ΡŒ Π΄Π΅ΠΌΠΎΠ΄Π΅ΠΊΠΎΠ·ΠΎΠΌ ΠΎΡ‚ Π΄Ρ€ΡƒΠ³ΠΎΠΉ кошки?

Π­Ρ‚ΠΎ зависит ΠΎΡ‚ Π²ΠΈΠ΄Π°. D. cati Π½Π΅ Π·Π°Ρ€Π°Π·Π΅Π½ ΠΌΠ΅ΠΆΠ΄Ρƒ кошками (Π·Π° ΠΈΡΠΊΠ»ΡŽΡ‡Π΅Π½ΠΈΠ΅ΠΌ ΠΏΠ΅Ρ€Π΅Π΄Π°Ρ‡ΠΈ ΠΎΡ‚ ΠΌΠ°Ρ‚Π΅Ρ€ΠΈ котятам). D. gatoi Π·Π°Ρ€Π°Π·Π΅Π½. Если Π² Π΄ΠΎΠΌΠ΅ зараТённая кошка с D. gatoi, ΠΎΡΡ‚Π°Π»ΡŒΠ½Ρ‹Π΅ кошки ΠΌΠΎΠ³ΡƒΡ‚ Π·Π°Π±ΠΎΠ»Π΅Ρ‚ΡŒ, особСнно ΠΏΡ€ΠΈ Π±Π»ΠΈΠ·ΠΊΠΎΠΌ ΠΊΠΎΠ½Ρ‚Π°ΠΊΡ‚Π΅.

Π§Ρ‚ΠΎ Π±ΡƒΠ΄Π΅Ρ‚, Ссли я Π½Π΅ Π»Π΅Ρ‡Ρƒ Π΄Π΅ΠΌΠΎΠ΄Π΅ΠΊΠΎΠ·?

ΠŸΡ€ΠΈ Π»ΠΎΠΊΠ°Π»ΠΈΠ·ΠΎΠ²Π°Π½Π½ΠΎΠΉ Ρ„ΠΎΡ€ΠΌΠ΅ D. cati ΠΌΠΎΠΆΠ΅Ρ‚ ΠΏΡ€ΠΎΠΉΡ‚ΠΈ само. Но ΠΏΡ€ΠΈ Π³Π΅Π½Π΅Ρ€Π°Π»ΠΈΠ·ΠΎΠ²Π°Π½Π½ΠΎΠΉ Ρ„ΠΎΡ€ΠΌΠ΅ Π·Π°Π±ΠΎΠ»Π΅Π²Π°Π½ΠΈΠ΅ Π±ΡƒΠ΄Π΅Ρ‚ ΠΏΡ€ΠΎΠ³Ρ€Π΅ΡΡΠΈΡ€ΠΎΠ²Π°Ρ‚ΡŒ, ΠΌΠΎΠΆΠ΅Ρ‚ Ρ€Π°Π·Π²ΠΈΡ‚ΡŒΡΡ вторичная инфСкция, систСмныС ослоТнСния. ΠŸΡ€ΠΈ D. gatoi Π·Π°Π±ΠΎΠ»Π΅Π²Π°Π½ΠΈΠ΅ распространится Π½Π° Π΄Ρ€ΡƒΠ³ΠΈΡ… кошСк.

Бколько Π²Ρ€Π΅ΠΌΠ΅Π½ΠΈ трСбуСтся Π»Π΅Ρ‡Π΅Π½ΠΈΠ΅?

ΠŸΡ€ΠΈ использовании Ρ„Π»ΡƒΡ€Π°Π»Π°Π½Π΅Ρ€Π° часто достаточно 1-2 ΠΎΠ±Ρ€Π°Π±ΠΎΡ‚ΠΎΠΊ. ΠŸΡ€ΠΈ использовании Π»Π°ΠΉΠΌ-ΡΡƒΠ»ΡŒΡ„ΡƒΡ€Π½Ρ‹Ρ… Π²Π°Π½Π½ трСбуСтся 6-8 нСдСль Π΅ΠΆΠ΅Π½Π΅Π΄Π΅Π»ΡŒΠ½Ρ‹Ρ… Π²Π°Π½Π½. ΠšΠΎΠ½Ρ‚Ρ€ΠΎΠ»ΡŒ послС лСчСния Π·Π°Π½ΠΈΠΌΠ°Π΅Ρ‚ ΠΌΠΈΠ½ΠΈΠΌΡƒΠΌ 2 мСсяца (Π΄Π²Π° ΠΊΠΎΠ½Ρ‚Ρ€ΠΎΠ»ΡŒΠ½Ρ‹Ρ… соскоба с ΠΈΠ½Ρ‚Π΅Ρ€Π²Π°Π»ΠΎΠΌ Π² мСсяц).

ΠœΠΎΠΆΠ΅Ρ‚ Π»ΠΈ Π΄Π΅ΠΌΠΎΠ΄Π΅ΠΊΠΎΠ· Π²Π΅Ρ€Π½ΡƒΡ‚ΡŒΡΡ?

Π”Π°, Π²ΠΎΠ·ΠΌΠΎΠΆΠ½Ρ‹ Ρ€Π΅Ρ†ΠΈΠ΄ΠΈΠ²Ρ‹, особСнно Ссли основноС Π·Π°Π±ΠΎΠ»Π΅Π²Π°Π½ΠΈΠ΅ Π½Π΅ контролируСтся. Если ΠΈΠΌΠΌΡƒΠ½ΠΈΡ‚Π΅Ρ‚ остаётся ΠΏΠΎΠ΄Π°Π²Π»Π΅Π½Π½Ρ‹ΠΌ, ΠΊΠ»Π΅Ρ‰ΠΈ ΠΌΠΎΠ³ΡƒΡ‚ снова Π½Π°Ρ‡Π°Ρ‚ΡŒ Ρ€Π°Π·ΠΌΠ½ΠΎΠΆΠ°Ρ‚ΡŒΡΡ. ΠŸΠΎΡΡ‚ΠΎΠΌΡƒ Π»Π΅Ρ‡Π΅Π½ΠΈΠ΅ основной Π±ΠΎΠ»Π΅Π·Π½ΠΈ ΠΊΡ€ΠΈΡ‚ΠΈΡ‡Π½ΠΎ.

НуТно Π»ΠΈ Π»Π΅Ρ‡ΠΈΡ‚ΡŒ всС кошки Π² ΠΌΠ½ΠΎΠ³ΠΎΠΊΠΎΡˆΠ°Ρ‡ΡŒΠ΅ΠΌ Π΄ΠΎΠΌΠ΅?

ΠŸΡ€ΠΈ D. cati β€” Π½Π΅Ρ‚, Ρ‚ΠΎΠ»ΡŒΠΊΠΎ пораТённая кошка. ΠŸΡ€ΠΈ D. gatoi β€” Π΄Π°, Π½ΡƒΠΆΠ½ΠΎ Π»Π΅Ρ‡ΠΈΡ‚ΡŒ всСх, Π΄Π°ΠΆΠ΅ Ссли ΠΎΠ½ΠΈ выглядят Π·Π΄ΠΎΡ€ΠΎΠ²Ρ‹ΠΌΠΈ.

ΠœΠΎΠΆΠ΅Ρ‚ Π»ΠΈ Π΄Π΅ΠΌΠΎΠ΄Π΅ΠΊΠΎΠ· Π±Ρ‹Ρ‚ΡŒ ΠΏΡ€ΠΈΠ·Π½Π°ΠΊΠΎΠΌ Π±ΠΎΠ»Π΅Π΅ ΡΠ΅Ρ€ΡŒΡ‘Π·Π½ΠΎΠΉ Π±ΠΎΠ»Π΅Π·Π½ΠΈ?

Π”Π°. ΠŸΡ€ΠΈ Π³Π΅Π½Π΅Ρ€Π°Π»ΠΈΠ·ΠΎΠ²Π°Π½Π½ΠΎΠΉ Ρ„ΠΎΡ€ΠΌΠ΅ Ρƒ взрослой кошки это часто ΠΏΡ€ΠΈΠ·Π½Π°ΠΊ иммуносупрСссии, Π²Ρ‹Π·Π²Π°Π½Π½ΠΎΠΉ FIV, FeLV, сахарным Π΄ΠΈΠ°Π±Π΅Ρ‚ΠΎΠΌ ΠΈΠ»ΠΈ Π΄Ρ€ΡƒΠ³ΠΈΠΌ Π·Π°Π±ΠΎΠ»Π΅Π²Π°Π½ΠΈΠ΅ΠΌ. НСобходимо обслСдованиС.