Π₯имиотСрапия для собак ΠΈ кошСк

10.02.2026
18 ΠΌΠΈΠ½.
207
0
0
Π’Π°Ρ€Π²Π°Ρ€Π° Π“ΠΎΡ€ΠΈΡ‡ΠΊΠΈΠ½Π°
Π’Π°Ρ€Π²Π°Ρ€Π° Π“ΠΎΡ€ΠΈΡ‡ΠΊΠΈΠ½Π°
Π’Π΅Ρ€Π°ΠΏΠ΅Π²Ρ‚, ΠΎΡ„Ρ‚Π°Π»ΡŒΠΌΠΎΠ»ΠΎΠ³

Π‘ΠΎΠ΄Π΅Ρ€ΠΆΠ°Π½ΠΈΠ΅

  1. Π§Ρ‚ΠΎ Ρ‚Π°ΠΊΠΎΠ΅ химиотСрапия: Π²ΠΎΠΉΠ½Π° с Ρ€Π°ΠΊΠΎΠΌ Π½Π° молСкулярном ΡƒΡ€ΠΎΠ²Π½Π΅
  2. ΠžΡΠ½ΠΎΠ²Π½Ρ‹Π΅ ΠΏΡ€Π΅ΠΏΠ°Ρ€Π°Ρ‚Ρ‹ для Ρ…ΠΈΠΌΠΈΠΎΡ‚Π΅Ρ€Π°ΠΏΠΈΠΈ собак ΠΈ кошСк
    1. Доксорубицин (Адриамицин)
    2. Винкристин (Онковин)
    3. Циклофосфамид (Эндоксан)
    4. ΠšΠ°Ρ€Π±ΠΎΠΏΠ»Π°Ρ‚ΠΈΠ½
    5. ΠŸΡ€Π΅Π΄Π½ΠΈΠ·ΠΎΠ»ΠΎΠ½
    6. Π”Ρ€ΡƒΠ³ΠΈΠ΅ ΠΏΡ€Π΅ΠΏΠ°Ρ€Π°Ρ‚Ρ‹
  3. ΠžΡΠ½ΠΎΠ²Π½Ρ‹Π΅ Ρ‚ΠΈΠΏΡ‹ Ρ€Π°ΠΊΠ°: ΠΊΠΎΠ³Π΄Π° химиотСрапия Ρ€Π°Π±ΠΎΡ‚Π°Π΅Ρ‚ Π»ΡƒΡ‡ΡˆΠ΅ всСго
  4. Π›ΠΈΠΌΡ„ΠΎΠΌΠ°
  5. ΠœΠ°ΡΡ‚ΠΎΡ†ΠΈΡ‚ΠΎΠΌΠ°
  6. ΠžΡΡ‚Π΅ΠΎΡΠ°Ρ€ΠΊΠΎΠΌΠ°
  7. ГСмангиосаркома
  8. Π Π°ΠΊ ΠΌΠΎΠ»ΠΎΡ‡Π½ΠΎΠΉ ΠΆΠ΅Π»Π΅Π·Ρ‹: исход зависит ΠΎΡ‚ стадии
  9. ΠŸΠΎΡ‡Π΅ΠΌΡƒ я Π½ΠΈΠΊΠΎΠ³Π΄Π° Π½Π΅ ΠΎΠ±Π΅Ρ‰Π°ΡŽ ΠΈΠ·Π»Π΅Ρ‡Π΅Π½ΠΈΠ΅
  10. ΠŸΠΎΠ±ΠΎΡ‡Π½Ρ‹Π΅ эффСкты: Ρ€Π΅Π°Π»ΡŒΠ½Ρ‹, Π½ΠΎ управляСмы
    1. Π–Π΅Π»ΡƒΠ΄ΠΎΡ‡Π½ΠΎ-ΠΊΠΈΡˆΠ΅Ρ‡Π½Ρ‹Π΅ ΠΏΠΎΠ±ΠΎΡ‡Π½Ρ‹Π΅ эффСкты (30% ΠΆΠΈΠ²ΠΎΡ‚Π½Ρ‹Ρ…)
    2. ΠšΠΎΡΡ‚Π½ΠΎΠΌΠΎΠ·Π³ΠΎΠ²Π°Ρ супрСссия (22% ΠΆΠΈΠ²ΠΎΡ‚Π½Ρ‹Ρ…)
  11. Π”Ρ€ΡƒΠ³ΠΈΠ΅ ΠΏΠΎΠ±ΠΎΡ‡Π½Ρ‹Π΅ эффСкты
  12. Как я ΡƒΠΏΡ€Π°Π²Π»ΡΡŽ ΠΏΠΎΠ±ΠΎΡ‡Π½Ρ‹ΠΌΠΈ эффСктами
  13. Π”ΠΎΠΌΠ°ΡˆΠ½ΠΈΠΉ ΡƒΡ…ΠΎΠ΄ ΠΈ ΠΏΠΎΠ΄Π΄Π΅Ρ€ΠΆΠΊΠ° Π²ΠΎ врСмя Ρ…ΠΈΠΌΠΈΠΎΡ‚Π΅Ρ€Π°ΠΏΠΈΠΈ
  14. ΠœΠ΅Ρ‚Ρ€ΠΎΠ½ΠΎΠΌΠ½Π°Ρ химиотСрапия: Π½ΠΎΠ²ΠΎΠ΅ Π½Π°ΠΏΡ€Π°Π²Π»Π΅Π½ΠΈΠ΅ Π² Π»Π΅Ρ‡Π΅Π½ΠΈΠΈ Ρ€Π°ΠΊΠ°
    1. КСйс Π²Π΅Ρ‚Π΅Ρ€ΠΈΠ½Π°Ρ€Π°
Π‘Ρ€ΠΎΡ‡Π½Ρ‹ΠΉ Π²Ρ‹Π·ΠΎΠ² Π²Π΅Ρ‚Π΅Ρ€ΠΈΠ½Π°Ρ€Π°
ΠœΡ‹ всСгда Π³ΠΎΡ‚ΠΎΠ²Ρ‹ ΠΏΠΎΠΌΠΎΡ‡ΡŒ ΠΈ ΠΎΡ‚Π²Π΅Ρ‚ΠΈΡ‚ΡŒ Π½Π° Π»ΡŽΠ±Ρ‹Π΅ вопросы. ΠžΠ±Ρ€Π°Ρ‰Π°ΠΉΡ‚Π΅ΡΡŒ!

Π”ΠΈΠ°Π³Π½ΠΎΠ· «Ρ€Π°ΠΊ» Π·Π²ΡƒΡ‡ΠΈΡ‚ ΠΊΠ°ΠΊ ΠΏΡ€ΠΈΠ³ΠΎΠ²ΠΎΡ€. Π’Π»Π°Π΄Π΅Π»ΡŒΡ†Ρ‹ ΠΏΠ°Π΄Π°ΡŽΡ‚ Π΄ΡƒΡ…ΠΎΠΌ, ΠΏΠΎΡ‚ΠΎΠΌΡƒ Ρ‡Ρ‚ΠΎ Π΄ΠΎΠΌΠ° Π΄ΠΈΠ°Π³Π½ΠΎΠ· Ρ€Π°ΠΊΠ° часто ΠΎΠ·Π½Π°Ρ‡Π°Π΅Ρ‚ ΡΠΌΠ΅Ρ€Ρ‚ΡŒ. Им каТСтся, Ρ‡Ρ‚ΠΎ Ρƒ ΠΈΡ… ΠΏΠΈΡ‚ΠΎΠΌΡ†Π° Π½Π΅Ρ‚ шансов. И я понимаю эту Π»ΠΎΠ³ΠΈΠΊΡƒ. Π Π°ΠΊ агрСссивСн. Π Π°ΠΊ ΠΊΠΎΠ²Π°Ρ€Π΅Π½. Π Π°ΠΊ часто Π²Ρ‹ΠΈΠ³Ρ€Ρ‹Π²Π°Π΅Ρ‚.

Π’ этой ΡΡ‚Π°Ρ‚ΡŒΠ΅ я расскаТу Π²Π°ΠΌ всё ΠΎ Ρ…ΠΈΠΌΠΈΠΎΡ‚Π΅Ρ€Π°ΠΏΠΈΠΈ для ΠΆΠΈΠ²ΠΎΡ‚Π½Ρ‹Ρ…: ΠΊΠ°ΠΊ ΠΎΠ½Π° Ρ€Π°Π±ΠΎΡ‚Π°Π΅Ρ‚, ΠΊΠ°ΠΊΠΈΠ΅ ΠΏΡ€Π΅ΠΏΠ°Ρ€Π°Ρ‚Ρ‹ ΠΈΡΠΏΠΎΠ»ΡŒΠ·ΡƒΡŽΡ‚ΡΡ, ΠΊΠ°ΠΊΠΈΠ΅ ΠΏΠΎΠ±ΠΎΡ‡Π½Ρ‹Π΅ эффСкты Π²ΠΎΠ·ΠΌΠΎΠΆΠ½Ρ‹ ΠΈ ΠΊΠ°ΠΊ ΠΎΠ½Π° ΠΌΠΎΠΆΠ΅Ρ‚ спасти Тизнь вашСй собаки ΠΈΠ»ΠΈ кошки. И самоС Π³Π»Π°Π²Π½ΠΎΠ΅, я объясню, ΠΏΠΎΡ‡Π΅ΠΌΡƒ Π² Π²Π΅Ρ‚Π΅Ρ€ΠΈΠ½Π°Ρ€Π½ΠΎΠΉ ΠΎΠ½ΠΊΠΎΠ»ΠΎΠ³ΠΈΠΈ ΠΌΡ‹ Π½Π΅ гонимся Π·Π° ΠΈΠ·Π»Π΅Ρ‡Π΅Π½ΠΈΠ΅ΠΌ, Π° стрСмимся ΠΊ качСству ΠΆΠΈΠ·Π½ΠΈ.

Автор: Π’Π°Ρ€Π²Π°Ρ€Π° Π“ΠΎΡ€ΠΈΡ‡ΠΊΠΈΠ½Π°, Π²Π΅Ρ‚Π΅Ρ€ΠΈΠ½Π°Ρ€Π½Ρ‹ΠΉ Π²Ρ€Π°Ρ‡-Ρ‚Π΅Ρ€Π°ΠΏΠ΅Π²Ρ‚ ΠΈ ΠΎΡ„Ρ‚Π°Π»ΡŒΠΌΠΎΠ»ΠΎΠ³, «Laska Pets»

химичСскиС элСмСнты Π°Ρ‚Π°ΠΊΡƒΡŽΡ‚ ΠΊΠ»Π΅Ρ‚ΠΊΡƒ Ρ€Π°ΠΊΠ° Π½Π° Ρ„ΠΎΠ½Π΅ собаки

Π§Ρ‚ΠΎ Ρ‚Π°ΠΊΠΎΠ΅ химиотСрапия: Π²ΠΎΠΉΠ½Π° с Ρ€Π°ΠΊΠΎΠΌ Π½Π° молСкулярном ΡƒΡ€ΠΎΠ²Π½Π΅

Π₯имиотСрапия — это использованиС химичСских ΠΏΡ€Π΅ΠΏΠ°Ρ€Π°Ρ‚ΠΎΠ², Π½Π°Π·Ρ‹Π²Π°Π΅ΠΌΡ‹Ρ… цитостатиками ΠΈ цитотоксинами, для уничтоТСния Ρ€Π°ΠΊΠΎΠ²Ρ‹Ρ… ΠΊΠ»Π΅Ρ‚ΠΎΠΊ ΠΈΠ»ΠΈ замСдлСния ΠΈΡ… роста.

Π’ΠΎΡ‚ ΠΊΠ°ΠΊ это Ρ€Π°Π±ΠΎΡ‚Π°Π΅Ρ‚. Π Π°ΠΊΠΎΠ²Ρ‹Π΅ ΠΊΠ»Π΅Ρ‚ΠΊΠΈ ΠΎΡ‚Π»ΠΈΡ‡Π°ΡŽΡ‚ΡΡ ΠΎΡ‚ Π·Π΄ΠΎΡ€ΠΎΠ²Ρ‹Ρ… ΠΊΠ»Π΅Ρ‚ΠΎΠΊ ΠΎΠ΄Π½ΠΎΠΉ Π³Π»Π°Π²Π½ΠΎΠΉ характСристикой: ΠΎΠ½ΠΈ дСлятся Π±Π΅ΡΠΊΠΎΠ½Ρ‚Ρ€ΠΎΠ»ΡŒΠ½ΠΎ. Π’ Ρ‚ΠΎ врСмя ΠΊΠ°ΠΊ здоровая ΠΊΠ»Π΅Ρ‚ΠΊΠ° ΠΈΠΌΠ΅Π΅Ρ‚ встроСнныС ΠΌΠ΅Ρ…Π°Π½ΠΈΠ·ΠΌΡ‹, ΠΊΠΎΡ‚ΠΎΡ€Ρ‹Π΅ говорят Π΅ΠΉ: "Π‘Ρ‚ΠΎΠΉ, Ρ‚Ρ‹ Ρ€Π°Π·Π΄Π΅Π»ΠΈΠ»Π°ΡΡŒ достаточно," Ρ€Π°ΠΊΠΎΠ²Ρ‹Π΅ ΠΊΠ»Π΅Ρ‚ΠΊΠΈ Π½Π΅ ΡΠ»ΡƒΡˆΠ°ΡŽΡ‚ эти сигналы. Они просто ΠΏΡ€ΠΎΠ΄ΠΎΠ»ΠΆΠ°ΡŽΡ‚ Π΄Π΅Π»ΠΈΡ‚ΡŒΡΡ, Π΄Π΅Π»ΠΈΡ‚ΡŒΡΡ, Π΄Π΅Π»ΠΈΡ‚ΡŒΡΡ.

ЦитостатичСскиС ΠΏΡ€Π΅ΠΏΠ°Ρ€Π°Ρ‚Ρ‹ Π²ΠΎΠ·Π΄Π΅ΠΉΡΡ‚Π²ΡƒΡŽΡ‚ Π½Π° процСсс ΠΊΠ»Π΅Ρ‚ΠΎΡ‡Π½ΠΎΠ³ΠΎ дСлСния. Они Π±Π»ΠΎΠΊΠΈΡ€ΡƒΡŽΡ‚ Π”ΠΠš, ΠΏΡ€Π΅ΠΏΡΡ‚ΡΡ‚Π²ΡƒΡŽΡ‚ синтСзу Π±Π΅Π»ΠΊΠΎΠ², Π½Π°Ρ€ΡƒΡˆΠ°ΡŽΡ‚ ΠΌΠ΅Ρ‚Π°Π±ΠΎΠ»ΠΈΠ·ΠΌ ΠΊΠ»Π΅Ρ‚ΠΎΠΊ. Π Π΅Π·ΡƒΠ»ΡŒΡ‚Π°Ρ‚: Ρ€Π°ΠΊΠΎΠ²Ρ‹Π΅ ΠΊΠ»Π΅Ρ‚ΠΊΠΈ ΠΏΠ΅Ρ€Π΅ΡΡ‚Π°ΡŽΡ‚ Π΄Π΅Π»ΠΈΡ‚ΡŒΡΡ ΠΈΠ»ΠΈ ΡƒΠΌΠΈΡ€Π°ΡŽΡ‚.

Π—Π΄ΠΎΡ€ΠΎΠ²Ρ‹Π΅ ΠΊΠ»Π΅Ρ‚ΠΊΠΈ Ρ‚ΠΎΠΆΠ΅ дСлятся, Π½ΠΎ ΠΌΠ΅Π΄Π»Π΅Π½Π½Π΅Π΅. ΠŸΠΎΡΡ‚ΠΎΠΌΡƒ ΠΎΠ½ΠΈ ΠΌΠ΅Π½Π΅Π΅ Ρ‡ΡƒΠ²ΡΡ‚Π²ΠΈΡ‚Π΅Π»ΡŒΠ½Ρ‹ ΠΊ этим ΠΏΡ€Π΅ΠΏΠ°Ρ€Π°Ρ‚Π°ΠΌ. Π­Ρ‚ΠΎ Π΄Π°Π΅Ρ‚ Π½Π°ΠΌ тСрапСвтичСскоС ΠΎΠΊΠ½ΠΎ — пространство, Π² ΠΊΠΎΡ‚ΠΎΡ€ΠΎΠΌ ΠΌΡ‹ ΠΌΠΎΠΆΠ΅ΠΌ ΡƒΠ±ΠΈΡ‚ΡŒ Ρ€Π°ΠΊΠΎΠ²Ρ‹Π΅ ΠΊΠ»Π΅Ρ‚ΠΊΠΈ ΠΈ ΠΎΡ‚Π½ΠΎΡΠΈΡ‚Π΅Π»ΡŒΠ½ΠΎ ΡΠΎΡ…Ρ€Π°Π½ΠΈΡ‚ΡŒ Π·Π΄ΠΎΡ€ΠΎΠ²Ρ‹Π΅ ΠΊΠ»Π΅Ρ‚ΠΊΠΈ.

ΠšΠ»ΡŽΡ‡Π΅Π²ΠΎΠ΅ слово здСсь — "ΠΎΡ‚Π½ΠΎΡΠΈΡ‚Π΅Π»ΡŒΠ½ΠΎ." Π­Ρ‚ΠΎ Π½Π΅ идСальноС Π»Π΅Ρ‡Π΅Π½ΠΈΠ΅. ΠŸΠΎΠ±ΠΎΡ‡Π½Ρ‹Π΅ эффСкты Π²ΠΎΠ·ΠΌΠΎΠΆΠ½Ρ‹. Но ΠΎΠ½ΠΈ управляСмы, ΠΈ Π² Π±ΠΎΠ»ΡŒΡˆΠΈΠ½ΡΡ‚Π²Π΅ случаСв ΠΌΠΈΠ½ΠΈΠΌΠ°Π»ΡŒΠ½Ρ‹.

ΠžΡΠ½ΠΎΠ²Π½Ρ‹Π΅ ΠΏΡ€Π΅ΠΏΠ°Ρ€Π°Ρ‚Ρ‹ для Ρ…ΠΈΠΌΠΈΠΎΡ‚Π΅Ρ€Π°ΠΏΠΈΠΈ собак ΠΈ кошСк

Π’ Π²Π΅Ρ‚Π΅Ρ€ΠΈΠ½Π°Ρ€Π½ΠΎΠΉ ΠΎΠ½ΠΊΠΎΠ»ΠΎΠ³ΠΈΠΈ ΠΈΡΠΏΠΎΠ»ΡŒΠ·ΡƒΡŽΡ‚ΡΡ Ρ‚Π΅ ΠΆΠ΅ ΠΏΡ€Π΅ΠΏΠ°Ρ€Π°Ρ‚Ρ‹, Ρ‡Ρ‚ΠΎ ΠΈ Π² чСловСчСской ΠΌΠ΅Π΄ΠΈΡ†ΠΈΠ½Π΅, Π½ΠΎ Π² Π΄ΠΎΠ·ΠΈΡ€ΠΎΠ²ΠΊΠ°Ρ… ΠΈ схСмах, Π°Π΄Π°ΠΏΡ‚ΠΈΡ€ΠΎΠ²Π°Π½Π½Ρ‹Ρ… для ΠΆΠΈΠ²ΠΎΡ‚Π½Ρ‹Ρ…. ΠžΡΠ½ΠΎΠ²Π½Ρ‹Π΅ ΠΏΡ€Π΅ΠΏΠ°Ρ€Π°Ρ‚Ρ‹, ΠΊΠΎΡ‚ΠΎΡ€Ρ‹Π΅ я ΠΈΡΠΏΠΎΠ»ΡŒΠ·ΡƒΡŽ:

Доксорубицин (Адриамицин)

Π­Ρ‚ΠΎ ΠΎΠ΄ΠΈΠ½ ΠΈΠ· самых Π²Π°ΠΆΠ½Ρ‹Ρ… ΠΏΡ€Π΅ΠΏΠ°Ρ€Π°Ρ‚ΠΎΠ² Π² нашСм арсСналС. Доксорубицин являСтся Π°Π½Ρ‚ΠΈΠ±ΠΈΠΎΡ‚ΠΈΠΊΠΎΠΌ, ΠΊΠΎΡ‚ΠΎΡ€Ρ‹ΠΉ воздСйствуСт Π½Π° Π”ΠΠš Ρ€Π°ΠΊΠΎΠ²Ρ‹Ρ… ΠΊΠ»Π΅Ρ‚ΠΎΠΊ.

Π― ΠΈΡΠΏΠΎΠ»ΡŒΠ·ΡƒΡŽ доксорубицин ΠΏΡ€ΠΈ Π»ΠΈΠΌΡ„ΠΎΠΌΠ΅, Ρ€Π°ΠΊΠ΅ ΠΌΠΎΠ»ΠΎΡ‡Π½ΠΎΠΉ ΠΆΠ΅Π»Π΅Π·Ρ‹, мастоцитомах. ИсслСдования ΠΏΠΎΠΊΠ°Π·Π°Π»ΠΈ, Ρ‡Ρ‚ΠΎ доксорубицин ΡƒΠ²Π΅Π»ΠΈΡ‡ΠΈΠ²Π°Π΅Ρ‚ Π²Ρ‹ΠΆΠΈΠ²Π°Π΅ΠΌΠΎΡΡ‚ΡŒ ΠΏΡ€ΠΈ Ρ€Π°ΠΊΠ΅ ΠΌΠΎΠ»ΠΎΡ‡Π½ΠΎΠΉ ΠΆΠ΅Π»Π΅Π·Ρ‹ Π² Π΄Π²Π°-Ρ‡Π΅Ρ‚Ρ‹Ρ€Π΅ Ρ€Π°Π·Π° ΠΏΠΎ ΡΡ€Π°Π²Π½Π΅Π½ΠΈΡŽ с Ρ…ΠΈΡ€ΡƒΡ€Π³ΠΈΠ΅ΠΉ ΠΎΠ΄Π½ΠΎΠΉ.

Вводится Π²Π½ΡƒΡ‚Ρ€ΠΈΠ²Π΅Π½Π½ΠΎ, ΠΌΠ΅Π΄Π»Π΅Π½Π½ΠΎ. ΠŸΡ€Π΅ΠΏΠ°Ρ€Π°Ρ‚ красного Ρ†Π²Π΅Ρ‚Π° — Π²Π»Π°Π΄Π΅Π»ΡŒΡ†Ρ‹ часто Π² шокС, видя ΠΊΡ€Π°ΡΠ½ΡƒΡŽ ΠΆΠΈΠ΄ΠΊΠΎΡΡ‚ΡŒ Π² ΠΊΠ°ΠΏΠ΅Π»ΡŒΠ½ΠΈΡ†Π΅. Но это просто Ρ†Π²Π΅Ρ‚ ΠΏΡ€Π΅ΠΏΠ°Ρ€Π°Ρ‚Π°, Π½Π΅ ΠΊΡ€ΠΎΠ²ΡŒ, ΠΊΠ°ΠΊ Π½Π΅ΠΊΠΎΡ‚ΠΎΡ€Ρ‹Π΅ Π΄ΡƒΠΌΠ°ΡŽΡ‚.

ΠŸΠΎΠ±ΠΎΡ‡Π½Ρ‹Π΅ эффСкты: Ρ‚ΠΎΡˆΠ½ΠΎΡ‚Π°, Ρ€Π²ΠΎΡ‚Π° (управляСтся ΠΏΡ€ΠΎΡ‚ΠΈΠ²ΠΎΡ€Π²ΠΎΡ‚Π½Ρ‹ΠΌΠΈ ΠΏΡ€Π΅ΠΏΠ°Ρ€Π°Ρ‚Π°ΠΌΠΈ), потСря Π°ΠΏΠΏΠ΅Ρ‚ΠΈΡ‚Π° (ΠΎΠ±Ρ‹Ρ‡Π½ΠΎ врСмСнная). На Π±ΠΎΠ»ΡŒΡˆΠΈΡ… кумулятивных Π΄ΠΎΠ·Π°Ρ… Π²ΠΎΠ·ΠΌΠΎΠΆΠ½Π° ΠΊΠ°Ρ€Π΄ΠΈΠΎΡ‚ΠΎΠΊΡΠΈΡ‡Π½ΠΎΡΡ‚ΡŒ (ΠΏΠΎΠ²Ρ€Π΅ΠΆΠ΄Π΅Π½ΠΈΠ΅ сСрдца), Π½ΠΎ это Ρ€Π΅Π΄ΠΊΠΎ ΠΏΡ€ΠΈ Π²Π΅Ρ‚Π΅Ρ€ΠΈΠ½Π°Ρ€Π½Ρ‹Ρ… ΠΏΡ€ΠΎΡ‚ΠΎΠΊΠΎΠ»Π°Ρ….

Винкристин (Онковин)

Алкалоид Π±Π°Ρ€Π²ΠΈΠ½ΠΊΠ°. Π’ΠΌΠ΅ΡˆΠΈΠ²Π°Π΅Ρ‚ΡΡ Π² построСниС ΠΌΠΈΠΊΡ€ΠΎΡ‚ΡƒΠ±ΡƒΠ»Π΅ΠΉ Π² Ρ€Π°ΠΊΠΎΠ²Ρ‹Ρ… ΠΊΠ»Π΅Ρ‚ΠΊΠ°Ρ…, Ρ‡Ρ‚ΠΎ ΠΏΡ€ΠΈΠ²ΠΎΠ΄ΠΈΡ‚ ΠΊ ΠΈΡ… Π³ΠΈΠ±Π΅Π»ΠΈ.

Π˜ΡΠΏΠΎΠ»ΡŒΠ·ΡƒΠ΅Ρ‚ΡΡ Π² ΠΊΠΎΠΌΠ±ΠΈΠ½ΠΈΡ€ΠΎΠ²Π°Π½Π½Ρ‹Ρ… ΠΏΡ€ΠΎΡ‚ΠΎΠΊΠΎΠ»Π°Ρ… (CHOP, ACOP). ΠžΡ‡Π΅Π½ΡŒ эффСктивСн. Вводится Π²Π½ΡƒΡ‚Ρ€ΠΈΠ²Π΅Π½Π½ΠΎ, ΠΌΠ΅Π΄Π»Π΅Π½Π½ΠΎ (2-3 ΠΌΠΈΠ½ΡƒΡ‚Ρ‹).

ΠŸΠΎΠ±ΠΎΡ‡Π½Ρ‹Π΅ эффСкты ΠΌΠΈΠ½ΠΈΠΌΠ°Π»ΡŒΠ½Ρ‹, Ссли Π²Π²ΠΎΠ΄ΠΈΡ‚ΡŒ ΠΏΡ€Π°Π²ΠΈΠ»ΡŒΠ½ΠΎ. Если Π²Π²ΠΎΠ΄ΠΈΡ‚ΡŒ слишком быстро ΠΈΠ»ΠΈ Ссли ΠΏΡ€ΠΎΠΈΠ·ΠΎΠΉΠ΄Ρ‘Ρ‚ экстравазация (Π²Ρ‹Ρ‚Π΅ΠΊΠ°Π½ΠΈΠ΅ ΠΈΠ· Π²Π΅Π½Ρ‹), Π²ΠΎΠ·ΠΌΠΎΠΆΠ΅Π½ Π½Π΅ΠΊΡ€ΠΎΠ· Ρ‚ΠΊΠ°Π½Π΅ΠΉ. Π­Ρ‚ΠΎ ΠΏΠΎΡ‡Π΅ΠΌΡƒ Ρ‚Π΅Ρ…Π½ΠΈΠΊΠ° ввСдСния ΠΊΡ€ΠΈΡ‚ΠΈΡ‡Π½Π°.

Циклофосфамид (Эндоксан)

ΠΠ»ΠΊΠΈΠ»ΠΈΡ€ΡƒΡŽΡ‰ΠΈΠΉ Π°Π³Π΅Π½Ρ‚. Π’ΠΌΠ΅ΡˆΠΈΠ²Π°Π΅Ρ‚ΡΡ Π² Π”ΠΠš Ρ€Π°ΠΊΠΎΠ²Ρ‹Ρ… ΠΊΠ»Π΅Ρ‚ΠΎΠΊ.

ΠœΠΎΠΆΠ΅Ρ‚ Π²Π²ΠΎΠ΄ΠΈΡ‚ΡŒΡΡ Π²Π½ΡƒΡ‚Ρ€ΠΈΠ²Π΅Π½Π½ΠΎ ΠΈΠ»ΠΈ ΠΏΠ΅Ρ€ΠΎΡ€Π°Π»ΡŒΠ½ΠΎ (Ρ‚Π°Π±Π»Π΅Ρ‚ΠΊΠΈ). ΠŸΡ€ΠΈ ΠΏΠ΅Ρ€ΠΎΡ€Π°Π»ΡŒΠ½ΠΎΠΌ Π²Π²Π΅Π΄Π΅Π½ΠΈΠΈ трСбуСтся Ρ…ΠΎΡ€ΠΎΡˆΠ°Ρ гидратация, ΠΏΠΎΡ‚ΠΎΠΌΡƒ Ρ‡Ρ‚ΠΎ ΠΏΡ€Π΅ΠΏΠ°Ρ€Π°Ρ‚ ΠΌΠΎΠΆΠ΅Ρ‚ Ρ€Π°Π·Π΄Ρ€Π°ΠΆΠ°Ρ‚ΡŒ ΠΌΠΎΡ‡Π΅Π²ΠΎΠΉ ΠΏΡƒΠ·Ρ‹Ρ€ΡŒ ΠΈ Π²Ρ‹Π·Π²Π°Ρ‚ΡŒ цистит.

ΠŸΠΎΠ±ΠΎΡ‡Π½Ρ‹Π΅ эффСкты: ΠΆΠ΅Π»ΡƒΠ΄ΠΎΡ‡Π½ΠΎ-ΠΊΠΈΡˆΠ΅Ρ‡Π½Ρ‹Π΅ ΠΏΡ€ΠΎΠ±Π»Π΅ΠΌΡ‹, потСря Π°ΠΏΠΏΠ΅Ρ‚ΠΈΡ‚Π°, Ρ€Π²ΠΎΡ‚Π°. ΠŸΡ€ΠΈ Π΄Π»ΠΈΡ‚Π΅Π»ΡŒΠ½ΠΎΠΌ ΠΏΡ€ΠΈΠΌΠ΅Π½Π΅Π½ΠΈΠΈ Π²ΠΎΠ·ΠΌΠΎΠΆΠ΅Π½ цистит с Π³Π΅ΠΌΠ°Ρ‚ΡƒΡ€ΠΈΠ΅ΠΉ (ΠΊΡ€ΠΎΠ²ΡŒ Π² ΠΌΠΎΡ‡Π΅).

ΠšΠ°Ρ€Π±ΠΎΠΏΠ»Π°Ρ‚ΠΈΠ½

ΠŸΠ»Π°Ρ‚ΠΈΠ½ΠΎΠ²Ρ‹ΠΉ Π°Π³Π΅Π½Ρ‚. Π˜ΡΠΏΠΎΠ»ΡŒΠ·ΡƒΠ΅Ρ‚ΡΡ ΠΏΡ€ΠΈ Ρ€Π΅Ρ†ΠΈΠ΄ΠΈΠ²ΠΈΡ€ΡƒΡŽΡ‰Π΅ΠΌ Ρ€Π°ΠΊΠ΅ ΠΈΠ»ΠΈ ΠΊΠΎΠ³Π΄Π° Π΄Ρ€ΡƒΠ³ΠΈΠ΅ ΠΏΡ€Π΅ΠΏΠ°Ρ€Π°Ρ‚Ρ‹ Π½Π΅ сработали.

НСйтропСния ΠΈ анСмия Π±ΠΎΠ»Π΅Π΅ вСроятны с ΠΊΠ°Ρ€Π±ΠΎΠΏΠ»Π°Ρ‚ΠΈΠ½ΠΎΠΌ, Ρ‡Π΅ΠΌ с Π΄Ρ€ΡƒΠ³ΠΈΠΌΠΈ ΠΏΡ€Π΅ΠΏΠ°Ρ€Π°Ρ‚Π°ΠΌΠΈ. Π’Ρ€Π΅Π±ΡƒΠ΅Ρ‚ Ρ‚Ρ‰Π°Ρ‚Π΅Π»ΡŒΠ½ΠΎΠ³ΠΎ контроля ΠΊΡ€ΠΎΠ²ΠΈ.

ΠŸΡ€Π΅Π΄Π½ΠΈΠ·ΠΎΠ»ΠΎΠ½

Π“Π»ΡŽΠΊΠΎΠΊΠΎΡ€Ρ‚ΠΈΠΊΠΎΡΡ‚Π΅Ρ€ΠΎΠΈΠ΄. Часто Ρ‡Π°ΡΡ‚ΡŒ ΠΊΠΎΠΌΠ±ΠΈΠ½ΠΈΡ€ΠΎΠ²Π°Π½Π½Ρ‹Ρ… ΠΏΡ€ΠΎΡ‚ΠΎΠΊΠΎΠ»ΠΎΠ². ΠŸΠΎΠΌΠΎΠ³Π°Π΅Ρ‚ ΡΠ½ΡΡ‚ΡŒ воспалСниС, ΡƒΠΌΠ΅Π½ΡŒΡˆΠΈΡ‚ΡŒ Ρ€Π²ΠΎΡ‚Ρƒ, ΡƒΠ»ΡƒΡ‡ΡˆΠΈΡ‚ΡŒ ΠΎΠ±Ρ‰Π΅Π΅ состояниС.

ΠœΠΎΠΆΠ΅Ρ‚ Ρ‚Π°ΠΊΠΆΠ΅ ΠΈΡΠΏΠΎΠ»ΡŒΠ·ΠΎΠ²Π°Ρ‚ΡŒΡΡ Π² ΠΌΠΎΠ½ΠΎΡ‚Π΅Ρ€Π°ΠΏΠΈΠΈ ΠΏΡ€ΠΈ Π½Π΅ΠΊΠΎΡ‚ΠΎΡ€Ρ‹Ρ… Ρ‚ΠΈΠΏΠ°Ρ… Π»ΠΈΠΌΡ„ΠΎΠΌΡ‹, особСнно Ρƒ кошСк, Π³Π΄Π΅ ΠΎΠ½ ΠΌΠΎΠΆΠ΅Ρ‚ Π΄Π°Ρ‚ΡŒ Π²Ρ€Π΅ΠΌΠ΅Π½Π½ΡƒΡŽ Ρ€Π΅ΠΌΠΈΡΡΠΈΡŽ.

Π”Ρ€ΡƒΠ³ΠΈΠ΅ ΠΏΡ€Π΅ΠΏΠ°Ρ€Π°Ρ‚Ρ‹

Π‘ΡƒΡ‰Π΅ΡΡ‚Π²ΡƒΡŽΡ‚ ΠΈ Π΄Ρ€ΡƒΠ³ΠΈΠ΅ ΠΏΡ€Π΅ΠΏΠ°Ρ€Π°Ρ‚Ρ‹: 

  • ломустин (CCNU), 
  • ΠΌΠ΅Π»Ρ„Π°Π»Π°Π½, 
  • митоксантрон, 
  • винбластин, 
  • Π²ΠΈΠ½ΠΎΡ€Π΅Π»Π±ΠΈΠ½, 
  • Π±Π»Π΅ΠΎΠΌΠΈΡ†ΠΈΠ½, 
  • Π³Π΅ΠΌΡ†ΠΈΡ‚Π°Π±ΠΈΠ½. 

Они ΠΈΡΠΏΠΎΠ»ΡŒΠ·ΡƒΡŽΡ‚ΡΡ Π² спСцифичСских случаях, Π² зависимости ΠΎΡ‚ Ρ‚ΠΈΠΏΠ° Ρ€Π°ΠΊΠ° ΠΈ ΠΎΡ‚Π²Π΅Ρ‚Π° Π½Π° ΠΏΠ΅Ρ€Π²ΠΈΡ‡Π½ΠΎΠ΅ Π»Π΅Ρ‡Π΅Π½ΠΈΠ΅.

Π²Ρ€Π°Ρ‡ ΠΏΡ€ΠΎΠ²ΠΎΠ΄ΠΈΡ‚ Ρ…ΠΈΠΌΠΈΠΎΡ‚Π΅Ρ€Π°ΠΏΠΈΡŽ собакС

ΠžΡΠ½ΠΎΠ²Π½Ρ‹Π΅ Ρ‚ΠΈΠΏΡ‹ Ρ€Π°ΠΊΠ°: ΠΊΠΎΠ³Π΄Π° химиотСрапия Ρ€Π°Π±ΠΎΡ‚Π°Π΅Ρ‚ Π»ΡƒΡ‡ΡˆΠ΅ всСго

НС всС Ρ€Π°ΠΊΠΈ ΠΎΠ΄ΠΈΠ½Π°ΠΊΠΎΠ²ΠΎ Ρ€Π΅Π°Π³ΠΈΡ€ΡƒΡŽΡ‚ Π½Π° Ρ…ΠΈΠΌΠΈΠΎΡ‚Π΅Ρ€Π°ΠΏΠΈΡŽ. НСкоторыС ΠΎΠΏΡƒΡ…ΠΎΠ»ΠΈ ΠΎΡ‡Π΅Π½ΡŒ Ρ‡ΡƒΠ²ΡΡ‚Π²ΠΈΡ‚Π΅Π»ΡŒΠ½Ρ‹ ΠΊ цитостатикам, Π΄Ρ€ΡƒΠ³ΠΈΠ΅ — рСзистСнтны. Π’ΠΎΡ‚ основныС Ρ‚ΠΈΠΏΡ‹, Π³Π΄Π΅ химиотСрапия Π΄ΠΎΠΊΠ°Π·Π°Π»Π° свою ΡΡ„Ρ„Π΅ΠΊΡ‚ΠΈΠ²Π½ΠΎΡΡ‚ΡŒ:

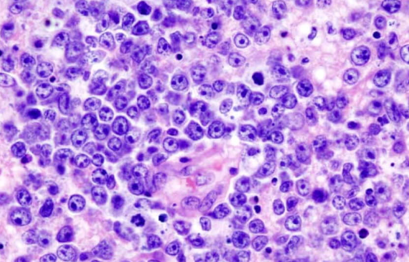
Π›ΠΈΠΌΡ„ΠΎΠΌΠ°

Π›ΠΈΠΌΡ„ΠΎΠΌΠ° — это Π½Π°ΠΈΠ±ΠΎΠ»Π΅Π΅ распространённый Ρ€Π°ΠΊ Ρƒ собак, составляя ΠΎΠΊΠΎΠ»ΠΎ 20% всСх ΠΎΠΏΡƒΡ…ΠΎΠ»Π΅ΠΉ. Π­Ρ‚ΠΎ Ρ€Π°ΠΊ Π»ΠΈΠΌΡ„ΠΎΡ†ΠΈΡ‚ΠΎΠ² ΠΈ Π»ΠΈΠΌΡ„ΠΎΠΈΠ΄Π½ΠΎΠΉ Ρ‚ΠΊΠ°Π½ΠΈ.

Π‘Π΅Π· лСчСния: собаки ΠΆΠΈΠ²ΡƒΡ‚ Ρ‡Π΅Ρ‚Ρ‹Ρ€Π΅-ΡˆΠ΅ΡΡ‚ΡŒ нСдСль. Кошки — ΡΡ‚ΠΎΠ»ΡŒΠΊΠΎ ΠΆΠ΅.

Π‘ Ρ…ΠΈΠΌΠΈΠΎΡ‚Π΅Ρ€Π°ΠΏΠΈΠ΅ΠΉ (CHOP ΠΏΡ€ΠΎΡ‚ΠΎΠΊΠΎΠ»): собаки Π΄ΠΎΡΡ‚ΠΈΠ³Π°ΡŽΡ‚ рСмиссии Π² 90% случаСв. МСдиана выТиваСмости — ΠΎΠ΄ΠΈΠ½ Π³ΠΎΠ΄. 25% собак ΠΆΠΈΠ²ΡƒΡ‚ Π΄Π²Π° ΠΈ Π±ΠΎΠ»Π΅Π΅ Π»Π΅Ρ‚. Π­Ρ‚ΠΎ нСвСроятно — ΠΌΡ‹ ΠΏΡ€ΠΎΠ΄Π»Π΅Π²Π°Π΅ΠΌ Тизнь Π² Ρ‡Π΅Ρ‚Ρ‹Ρ€Π΅-ΠΏΡΡ‚ΡŒ Ρ€Π°Π·, ΠΈ ΠΆΠΈΠ²ΠΎΡ‚Π½Ρ‹Π΅ находятся Π² рСмиссии, Π±Π΅Π· ΠΏΡ€ΠΈΠ·Π½Π°ΠΊΠΎΠ² Π±ΠΎΠ»Π΅Π·Π½ΠΈ.

Для кошСк Ρ€Π΅Π·ΡƒΠ»ΡŒΡ‚Π°Ρ‚Ρ‹ Π½Π΅ΠΌΠ½ΠΎΠ³ΠΎ Ρ…ΡƒΠΆΠ΅. ΠŸΡ€ΠΈ ΠΌΡƒΠ»ΡŒΡ‚ΠΈΠ΄Ρ€ΡƒΠ³ΠΎΠ²ΠΎΠΌ ΠΏΡ€ΠΎΡ‚ΠΎΠΊΠΎΠ»Π΅ 65% Π΄ΠΎΡΡ‚ΠΈΠ³Π°ΡŽΡ‚ рСмиссии. МСдиана выТиваСмости — сСмь мСсяцСв. Но Π½Π΅ΠΊΠΎΡ‚ΠΎΡ€Ρ‹Π΅ кошки, особСнно Ρ‚Π΅, ΠΊΠΎΡ‚ΠΎΡ€Ρ‹Π΅ достигли ΠΏΠΎΠ»Π½ΠΎΠΉ рСмиссии, ΠΆΠΈΠ²ΡƒΡ‚ Π½Π°ΠΌΠ½ΠΎΠ³ΠΎ дольшС — Π³ΠΎΠ΄, Π΄Π²Π° Π³ΠΎΠ΄Π°.

Π˜Π½Ρ‚Π΅Ρ€Π΅ΡΠ½Ρ‹ΠΉ ΠΌΠΎΠΌΠ΅Π½Ρ‚: ΠΏΡ€ΠΈ Π½ΠΈΠ·ΠΊΠΎΠ³Ρ€Π°Π΄Π½Π½ΠΎΠΉ Π»ΠΈΠΌΡ„ΠΎΠΌΠ΅ (ΠΌΠ΅Π΄Π»Π΅Π½Π½ΠΎ растущСй) Ρ€Π΅Π·ΡƒΠ»ΡŒΡ‚Π°Ρ‚Ρ‹ Π΅Ρ‰Ρ‘ Π»ΡƒΡ‡ΡˆΠ΅. МСдиана выТиваСмости кошСк — ΠΏΠΎΠ»Ρ‚ΠΎΡ€Π°-Π΄Π²Π° Π³ΠΎΠ΄Π°. А с ΠΏΠ΅Ρ€ΠΎΡ€Π°Π»ΡŒΠ½ΠΎΠΉ Ρ…ΠΈΠΌΠΈΠΎΡ‚Π΅Ρ€Π°ΠΏΠΈΠ΅ΠΉ (Ρ‚Π°Π±Π»Π΅Ρ‚ΠΊΠΈ) Π»Π΅Ρ‡Π΅Π½ΠΈΠ΅ становится Π΅Ρ‰Ρ‘ Π±ΠΎΠ»Π΅Π΅ ΡƒΠ΄ΠΎΠ±Π½Ρ‹ΠΌ.

Когда ΠΏΠ°Ρ†ΠΈΠ΅Π½Ρ‚ достигаСт рСмиссии Π² ΡˆΠ΅ΡΡ‚ΡŒ мСсяцСв, ΠΌΡ‹ ΠΌΠΎΠΆΠ΅ΠΌ ΠΎΡΡ‚Π°Π½ΠΎΠ²ΠΈΡ‚ΡŒ Π»Π΅Ρ‡Π΅Π½ΠΈΠ΅. Π–ΠΈΠ²ΠΎΡ‚Π½ΠΎΠ΅ остаётся ΠΏΠΎΠ΄ наблюдСниСм, СТСмСсячныС осмотры. Если Ρ€Π°ΠΊ вСрнётся, ΠΌΡ‹ возобновляСм Π»Π΅Ρ‡Π΅Π½ΠΈΠ΅. Вторая рСмиссия ΠΎΠ±Ρ‹Ρ‡Π½ΠΎ ΠΊΠΎΡ€ΠΎΡ‡Π΅, Π½ΠΎ всё Π΅Ρ‰Ρ‘ Π΄Π°Π΅Ρ‚ врСмя.

ΠΊΠ°Ρ€Ρ‚ΠΈΠ½ΠΊΠ° Π»ΠΈΠΌΡ„ΠΎΠΌΡ‹

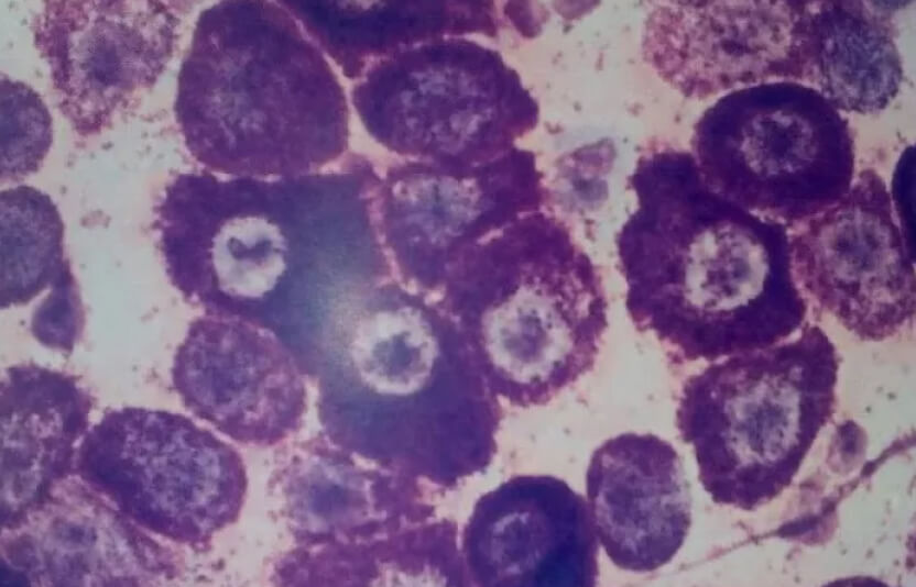
ΠœΠ°ΡΡ‚ΠΎΡ†ΠΈΡ‚ΠΎΠΌΠ°

ΠœΠ°ΡΡ‚ΠΎΡ†ΠΈΡ‚ΠΎΠΌΠ° — это ΠΎΠΏΡƒΡ…ΠΎΠ»ΡŒ ΠΈΠ· Ρ‚ΡƒΡ‡Π½Ρ‹Ρ… ΠΊΠ»Π΅Ρ‚ΠΎΠΊ. ΠžΡ‡Π΅Π½ΡŒ распространСна Ρƒ собак, особСнно Ρƒ боксСров ΠΈ Π±ΡƒΠ»ΡŒΠ΄ΠΎΠ³ΠΎΠ².

  • Grade I (Ρ…ΠΎΡ€ΠΎΡˆΠΈΠΉ ΠΏΡ€ΠΎΠ³Π½ΠΎΠ·): Ρ€Π΅Π΄ΠΊΠΎ мСтастазируСт, часто хирургия ΠΎΠ΄Π½Π° достаточна.
  • Grade II (ΠΏΡ€ΠΎΠΌΠ΅ΠΆΡƒΡ‚ΠΎΡ‡Π½Ρ‹ΠΉ ΠΏΡ€ΠΎΠ³Π½ΠΎΠ·): 20% мСтастазируСт, ΠΌΠΎΠΆΠ΅Ρ‚ ΠΏΠΎΡ‚Ρ€Π΅Π±ΠΎΠ²Π°Ρ‚ΡŒΡΡ химиотСрапия.
  • Grade III (ΠΏΠ»ΠΎΡ…ΠΎΠΉ ΠΏΡ€ΠΎΠ³Π½ΠΎΠ·): 80% мСтастазируСт, агрСссивная, Ρ‚Ρ€Π΅Π±ΡƒΠ΅Ρ‚ Ρ…ΠΈΠΌΠΈΠΎΡ‚Π΅Ρ€Π°ΠΏΠΈΠΈ.

ΠŸΡ€ΠΈ Grade III мастоцитомах Π±Π΅Π· лСчСния ΠΌΠ΅Π΄ΠΈΠ°Π½Π° выТиваСмости — 47 Π΄Π½Π΅ΠΉ. Π‘ΠΌΠ΅Ρ€Ρ‚Π΅Π»ΡŒΠ½ΠΎ. Π‘ ACOP ΠΏΡ€ΠΎΡ‚ΠΎΠΊΠΎΠ»ΠΎΠΌ (доксорубицин, циклофосфамид, винкристин, ΠΏΡ€Π΅Π΄Π½ΠΈΠ·ΠΎΠ»ΠΎΠ½) ΠΌΠ΅Π΄ΠΈΠ°Π½Π° увСличиваСтся Π΄ΠΎ 106 Π΄Π½Π΅ΠΉ. И, Ρ‡Ρ‚ΠΎ Π³Π»Π°Π²Π½ΠΎΠ΅, 27% ΠΆΠΈΠ²ΠΎΡ‚Π½Ρ‹Ρ… ΠΆΠΈΠ²ΡƒΡ‚ ΡˆΠ΅ΡΡ‚ΡŒ мСсяцСв ΠΈ дольшС.

Π­Ρ‚ΠΎ Π½Π΅ ΠΈΠ·Π»Π΅Ρ‡Π΅Π½ΠΈΠ΅, Π½ΠΎ это врСмя. И Π² этом врСмя ΠΆΠΈΠ²ΠΎΡ‚Π½ΠΎΠ΅ ΠΆΠΈΠ²Π΅Ρ‚ Π½ΠΎΡ€ΠΌΠ°Π»ΡŒΠ½ΠΎΠΉ Тизнью, с Ρ…ΠΎΡ€ΠΎΡˆΠΈΠΌ качСством.

ΠΊΠ°Ρ€Ρ‚ΠΈΠ½ΠΊΠ° масцитомы

ΠžΡΡ‚Π΅ΠΎΡΠ°Ρ€ΠΊΠΎΠΌΠ°

ΠžΡΡ‚Π΅ΠΎΡΠ°Ρ€ΠΊΠΎΠΌΠ° — это Ρ€Π°ΠΊ кости. ΠžΡ‡Π΅Π½ΡŒ агрСссивный. ΠžΠ±Ρ‹Ρ‡Π½ΠΎ ΠΏΠΎΡ€Π°ΠΆΠ°Π΅Ρ‚ Π΄Π»ΠΈΠ½Π½Ρ‹Π΅ кости конСчностСй ΠΊΡ€ΡƒΠΏΠ½Ρ‹Ρ… собак. ЗолотистыС Ρ€Π΅Ρ‚Ρ€ΠΈΠ²Π΅Ρ€Ρ‹, Π½Π΅ΠΌΠ΅Ρ†ΠΊΠΈΠ΅ ΠΎΠ²Ρ‡Π°Ρ€ΠΊΠΈ, Π½Π΅ΠΌΠ΅Ρ†ΠΊΠΈΠ΅ Π΄ΠΎΠ³ΠΈ — ΠΎΠ½ΠΈ Π² Π³Ρ€ΡƒΠΏΠΏΠ΅ риска.

  • ΠŸΡ€ΠΈΡ‡ΠΈΠ½Π°, ΠΏΠΎΡ‡Π΅ΠΌΡƒ остСосаркома Ρ‚Π°ΠΊ опасна: ΠΎΠ½Π° ΠΎΡ‡Π΅Π½ΡŒ быстро мСтастазируСт Π² Π»Ρ‘Π³ΠΊΠΈΠ΅. Π‘ΠΎΠ»ΡŒΡˆΠΈΠ½ΡΡ‚Π²ΠΎ собак ΠΈΠΌΠ΅ΡŽΡ‚ микромСтастазы (Π½Π΅Π²ΠΈΠ΄ΠΈΠΌΡ‹Π΅ мСтастазы) ΠΊ ΠΌΠΎΠΌΠ΅Π½Ρ‚Ρƒ Π΄ΠΈΠ°Π³Π½ΠΎΠ·Π°.
  • Π‘Π΅Π· лСчСния: нСсколько нСдСль.
  • Π‘ Ρ…ΠΈΡ€ΡƒΡ€Π³ΠΈΠ΅ΠΉ (ΠΎΠ±Ρ‹Ρ‡Π½ΠΎ ампутация): Ρ‡Π΅Ρ‚Ρ‹Ρ€Π΅-ΠΏΡΡ‚ΡŒ мСсяцСв.
  • Π‘ Ρ…ΠΈΡ€ΡƒΡ€Π³ΠΈΠ΅ΠΉ ΠΈ Ρ…ΠΈΠΌΠΈΠΎΡ‚Π΅Ρ€Π°ΠΏΠΈΠ΅ΠΉ: сСмь-Π΄Π²Π΅Π½Π°Π΄Ρ†Π°Ρ‚ΡŒ мСсяцСв. 20% собак ΠΆΠΈΠ²ΡƒΡ‚ Π΄Π²Π° Π³ΠΎΠ΄Π° ΠΈ большС.

Π­Ρ‚ΠΎ Ρ€Π°Π·Π½ΠΈΡ†Π° Π² мСсяцы. ΠœΠ΅ΡΡΡ†Ρ‹, ΠΊΠΎΠ³Π΄Π° собака ΠΌΠΎΠΆΠ΅Ρ‚ Π±Π΅Π³Π°Ρ‚ΡŒ, ΠΈΠ³Ρ€Π°Ρ‚ΡŒ, Π±Ρ‹Ρ‚ΡŒ с сСмьСй. ПослС Π°ΠΌΠΏΡƒΡ‚Π°Ρ†ΠΈΠΈ Π±ΠΎΠ»ΡŒΡˆΠΈΠ½ΡΡ‚Π²ΠΎ собак Π°Π΄Π°ΠΏΡ‚ΠΈΡ€ΡƒΡŽΡ‚ΡΡ ΠΎΡ‚Π»ΠΈΡ‡Π½ΠΎ. Π‘ Ρ…ΠΈΠΌΠΈΠΎΡ‚Π΅Ρ€Π°ΠΏΠΈΠ΅ΠΉ ΠΌΡ‹ борСмся с Π½Π΅Π²ΠΈΠ΄ΠΈΠΌΡ‹ΠΌΠΈ микромСтастазами, прСдотвращая ΠΈΡ… рост.

НовоС Π½Π°ΠΏΡ€Π°Π²Π»Π΅Π½ΠΈΠ΅ Π² Π»Π΅Ρ‡Π΅Π½ΠΈΠΈ остСосаркомы — мСтрономная химиотСрапия. НизкиС Π΄ΠΎΠ·Ρ‹, Π΄Π»ΠΈΡ‚Π΅Π»ΡŒΠ½ΠΎΠ΅ Π²Π²Π΅Π΄Π΅Π½ΠΈΠ΅. Одна собака с остСосаркомой Π²Π΅Ρ€Ρ…Π½Π΅ΠΉ Ρ‡Π΅Π»ΡŽΡΡ‚ΠΈ ΠΏΡ€ΠΎΠΆΠΈΠ»Π° 193 Π½Π΅Π΄Π΅Π»ΠΈ (ΠΏΠΎΡ‡Ρ‚ΠΈ Ρ‡Π΅Ρ‚Ρ‹Ρ€Π΅ Π³ΠΎΠ΄Π°!) с ΠΊΠΎΠΌΠ±ΠΈΠ½Π°Ρ†ΠΈΠ΅ΠΉ Ρ…ΠΈΡ€ΡƒΡ€Π³ΠΈΠΈ ΠΈ ΠΌΠ΅Ρ‚Ρ€ΠΎΠ½ΠΎΠΌΠ½ΠΎΠΉ Ρ…ΠΈΠΌΠΈΠΎΡ‚Π΅Ρ€Π°ΠΏΠΈΠΈ. Π­Ρ‚ΠΎ Π² 8-14 Ρ€Π°Π· дольшС, Ρ‡Π΅ΠΌ ΠΎΠ±Ρ‹Ρ‡Π½ΠΎ.

ΠΊΠ°Ρ€Ρ‚ΠΈΠ½ΠΊΠ° остСосаркомы

ГСмангиосаркома

ГСмангиосаркома — это ΠΎΠΏΡƒΡ…ΠΎΠ»ΡŒ ΠΈΠ· ΠΊΠ»Π΅Ρ‚ΠΎΠΊ, Π²Ρ‹ΡΡ‚ΠΈΠ»Π°ΡŽΡ‰ΠΈΡ… кровСносныС сосуды. ΠžΡ‡Π΅Π½ΡŒ агрСссивная. ΠžΠ±Ρ‹Ρ‡Π½ΠΎ ΠΏΠΎΡ€Π°ΠΆΠ°Π΅Ρ‚ сСлСзСнку ΠΈΠ»ΠΈ сСрдцС.

ΠŸΡ€ΠΎΠ±Π»Π΅ΠΌΠ°: ΠΎΠ½Π° часто ΠΏΡ€ΠΎΡ‚Π΅ΠΊΠ°Π΅Ρ‚ Π±Π΅Π· симптомов Π΄ΠΎ ΠΏΠΎΠ·Π΄Π½Π΅ΠΉ стадии. ΠŸΠΎΡ‚ΠΎΠΌ ΠΎΠΏΡƒΡ…ΠΎΠ»ΡŒ разрываСтся, происходит Π²Π½ΡƒΡ‚Ρ€Π΅Π½Π½Π΅Π΅ ΠΊΡ€ΠΎΠ²ΠΎΡ‚Π΅Ρ‡Π΅Π½ΠΈΠ΅, ΠΈ ΠΆΠΈΠ²ΠΎΡ‚Π½ΠΎΠ΅ ΠΏΠ°Π΄Π°Π΅Ρ‚. Π­Ρ‚ΠΎ нСотлоТная ситуация.

  • Π‘Π΅Π· лСчСния: ΠΎΠΊΠΎΠ»ΠΎ Ρ‚Ρ€Ρ‘Ρ… мСсяцСв (часто ΠΊΡ€ΠΎΠ²ΠΎΡ‚Π΅Ρ‡Π΅Π½ΠΈΠ΅ происходит Ρ€Π°Π½ΡŒΡˆΠ΅).
  • Π‘ сплСнэктомиСй (ΡƒΠ΄Π°Π»Π΅Π½ΠΈΠ΅ сСлСзСнки): ΠΏΠΎΠ»Ρ‚ΠΎΡ€Π°-Ρ‚Ρ€ΠΈ мСсяца.
  • Π‘ сплСнэктомиСй ΠΈ Ρ…ΠΈΠΌΠΈΠΎΡ‚Π΅Ρ€Π°ΠΏΠΈΠ΅ΠΉ: ΡˆΠ΅ΡΡ‚ΡŒ-восСмь мСсяцСв. НСкоторыС собаки ΠΆΠΈΠ²ΡƒΡ‚ Π³ΠΎΠ΄Π°.

Π₯имиотСрапия Π½Π΅ спасаСт всСх, Π½ΠΎ ΠΎΠ½Π° Π΄Π°Ρ‘Ρ‚ врСмя, врСмя Π½Π° Ρ†Π΅Π½Π½Ρ‹Π΅ ΠΌΠΎΠΌΠ΅Π½Ρ‚Ρ‹ с ΠΏΠΈΡ‚ΠΎΠΌΡ†Π΅ΠΌ.

ΠΊΠ°Ρ€Ρ‚ΠΈΠ½ΠΊΠ° гСмангиосаркомы

Π Π°ΠΊ ΠΌΠΎΠ»ΠΎΡ‡Π½ΠΎΠΉ ΠΆΠ΅Π»Π΅Π·Ρ‹: исход зависит ΠΎΡ‚ стадии

ΠŸΡ€ΠΈ Ρ€Π°ΠΊΠ΅ ΠΌΠΎΠ»ΠΎΡ‡Π½ΠΎΠΉ ΠΆΠ΅Π»Π΅Π·Ρ‹ доксорубицин стал ΠΈΠ³Ρ€ΠΎΠΉ-ΠΏΠ΅Ρ€Π΅Π»ΠΎΠΌΠΎΠΌ. Π£ кошСк с Ρ€Π°ΠΊΠΎΠΌ ΠΌΠΎΠ»ΠΎΡ‡Π½ΠΎΠΉ ΠΆΠ΅Π»Π΅Π·Ρ‹ III стадии Π±Π΅Π· лСчСния ΠΌΠ΅Π΄ΠΈΠ°Π½Π° выТиваСмости — нСсколько мСсяцСв. Π‘ доксорубицином ΠΌΠ΅Π΄ΠΈΠ°Π½Π° выТиваСмости увСличиваСтся Π΄ΠΎ 8,3 мСсяцСв Π΄ΠΎ прогрСссирования Π±ΠΎΠ»Π΅Π·Π½ΠΈ.

Доксорубицин ΡƒΠ²Π΅Π»ΠΈΡ‡ΠΈΠ²Π°Π΅Ρ‚ Π²Ρ‹ΠΆΠΈΠ²Π°Π΅ΠΌΠΎΡΡ‚ΡŒ Π² Π΄Π²Π°-Ρ‡Π΅Ρ‚Ρ‹Ρ€Π΅ Ρ€Π°Π·Π° ΠΏΡ€ΠΈ Ρ€Π°ΠΊΠ΅ ΠΌΠΎΠ»ΠΎΡ‡Π½ΠΎΠΉ ΠΆΠ΅Π»Π΅Π·Ρ‹ ΠΏΠΎ ΡΡ€Π°Π²Π½Π΅Π½ΠΈΡŽ с Ρ…ΠΈΡ€ΡƒΡ€Π³ΠΈΠ΅ΠΉ ΠΎΠ΄Π½ΠΎΠΉ.

ΠŸΠΎΡ‡Π΅ΠΌΡƒ я Π½ΠΈΠΊΠΎΠ³Π΄Π° Π½Π΅ ΠΎΠ±Π΅Ρ‰Π°ΡŽ ΠΈΠ·Π»Π΅Ρ‡Π΅Π½ΠΈΠ΅

Когда я Ρ€Π°Π·Π³ΠΎΠ²Π°Ρ€ΠΈΠ²Π°ΡŽ с Π²Π»Π°Π΄Π΅Π»ΡŒΡ†Π΅ΠΌ ΠΎ Ρ…ΠΈΠΌΠΈΠΎΡ‚Π΅Ρ€Π°ΠΏΠΈΠΈ, я Π½ΠΈΠΊΠΎΠ³Π΄Π° Π½Π΅ ΠΎΠ±Π΅Ρ‰Π°ΡŽ ΠΈΠ·Π»Π΅Ρ‡Π΅Π½ΠΈΠ΅. ΠŸΠΎΡ‡Ρ‚ΠΈ всС Ρ€Π°ΠΊΠΈ Ρƒ ΠΆΠΈΠ²ΠΎΡ‚Π½Ρ‹Ρ… Π½Π΅ΠΈΠ·Π»Π΅Ρ‡ΠΈΠΌΡ‹. ΠœΡ‹ Π½Π΅ ΠΌΠΎΠΆΠ΅ΠΌ ΠΏΠΎΠ»Π½ΠΎΡΡ‚ΡŒΡŽ ΠΈΠ·Π±Π°Π²ΠΈΡ‚ΡŒ ΠΆΠΈΠ²ΠΎΡ‚Π½ΠΎΠ΅ ΠΎΡ‚ Ρ€Π°ΠΊΠ°.

Но ΠΌΡ‹ ΠΌΠΎΠΆΠ΅ΠΌ Π΄Π°Ρ‚ΡŒ Π΅ΠΌΡƒ Ρ€Π΅ΠΌΠΈΡΡΠΈΡŽ. ΠœΡ‹ ΠΌΠΎΠΆΠ΅ΠΌ Π·Π°ΠΌΠ΅Π΄Π»ΠΈΡ‚ΡŒ рост ΠΎΠΏΡƒΡ…ΠΎΠ»ΠΈ. ΠœΡ‹ ΠΌΠΎΠΆΠ΅ΠΌ Π΄Π°Ρ‚ΡŒ Π΅ΠΌΡƒ мСсяцы, Π° ΠΈΠ½ΠΎΠ³Π΄Π° Π³ΠΎΠ΄Ρ‹ ΠΆΠΈΠ·Π½ΠΈ с Ρ…ΠΎΡ€ΠΎΡˆΠΈΠΌ качСством.

И качСство ΠΆΠΈΠ·Π½ΠΈ — это моя главная Ρ†Π΅Π»ΡŒ. Π’ Π²Π΅Ρ‚Π΅Ρ€ΠΈΠ½Π°Ρ€Π½ΠΎΠΉ ΠΎΠ½ΠΊΠΎΠ»ΠΎΠ³ΠΈΠΈ ΠΌΡ‹ ΠΈΠΌΠ΅Π΅ΠΌ ΠΎΡ‡Π΅Π½ΡŒ Π½ΠΈΠ·ΠΊΠΈΠΉ ΠΏΠΎΡ€ΠΎΠ³ для ΠΏΠΎΠ±ΠΎΡ‡Π½Ρ‹Ρ… эффСктов. Если я Π²ΠΈΠΆΡƒ, Ρ‡Ρ‚ΠΎ химиотСрапия приносит ΠΆΠΈΠ²ΠΎΡ‚Π½ΠΎΠΌΡƒ большС Π²Ρ€Π΅Π΄Π°, Ρ‡Π΅ΠΌ ΠΏΠΎΠ»ΡŒΠ·Ρ‹, я мСняю ΠΏΡ€Π΅ΠΏΠ°Ρ€Π°Ρ‚, сниТаю Π΄ΠΎΠ·Ρƒ ΠΈΠ»ΠΈ Π²ΠΎΠΎΠ±Ρ‰Π΅ ΠΏΠ΅Ρ€Π΅Ρ…ΠΎΠ΄Ρƒ Π½Π° ΠΏΠ°Π»Π»ΠΈΠ°Ρ‚ΠΈΠ²Π½ΡƒΡŽ ΠΏΠΎΠΌΠΎΡ‰ΡŒ.

Π‘ΠΎΠ»ΡŒΡˆΠΈΠ½ΡΡ‚Π²ΠΎ ΠΆΠΈΠ²ΠΎΡ‚Π½Ρ‹Ρ… Ρ…ΠΎΡ€ΠΎΡˆΠΎ пСрСносят Ρ…ΠΈΠΌΠΈΠΎΡ‚Π΅Ρ€Π°ΠΏΠΈΡŽ. 83% собак ΠΈΠΌΠ΅ΡŽΡ‚ Ρ‚ΠΎΠ»ΡŒΠΊΠΎ Π»Ρ‘Π³ΠΊΠΈΠ΅ ΠΏΠΎΠ±ΠΎΡ‡Π½Ρ‹Π΅ эффСкты (grade 1), ΠΊΠΎΡ‚ΠΎΡ€Ρ‹Π΅ Π½Π΅ Ρ‚Ρ€Π΅Π±ΡƒΡŽΡ‚ Π²ΠΌΠ΅ΡˆΠ°Ρ‚Π΅Π»ΡŒΡΡ‚Π²Π°. МСнСС 5% Ρ‚Ρ€Π΅Π±ΡƒΡŽΡ‚ госпитализации ΠΈΠ·-Π·Π° ΠΏΠΎΠ±ΠΎΡ‡Π½Ρ‹Ρ… эффСктов.

Π­Ρ‚ΠΎ совсСм другая ΠΊΠ°Ρ€Ρ‚ΠΈΠ½Π°, Ρ‡Π΅ΠΌ Π² чСловСчСской ΠΌΠ΅Π΄ΠΈΡ†ΠΈΠ½Π΅, Π³Π΄Π΅ химиотСрапия часто Π²Ρ‹Π·Ρ‹Π²Π°Π΅Ρ‚ ΡΠΈΠ»ΡŒΠ½Ρ‹Π΅ ΠΏΠΎΠ±ΠΎΡ‡Π½Ρ‹Π΅ эффСкты. Π£ людСй Ρ†Π΅Π»ΡŒ — ΠΈΠ·Π»Π΅Ρ‡Π΅Π½ΠΈΠ΅, ΠΈ ΠΎΠ½ΠΈ Π³ΠΎΡ‚ΠΎΠ²Ρ‹ Ρ‚Π΅Ρ€ΠΏΠ΅Ρ‚ΡŒ. Π£ ΠΆΠΈΠ²ΠΎΡ‚Π½Ρ‹Ρ… Ρ†Π΅Π»ΡŒ — ΠΊΠΎΠΌΡ„ΠΎΡ€Ρ‚ ΠΈ врСмя с сСмьСй.

Π²Ρ€Π°Ρ‡ ΠΈ ΠΊΠ»ΠΈΠ΅Π½Ρ‚ стоят ΠΎΠΊΠΎΠ»ΠΎ собаки Π½Π° столС Π²Π΅Ρ‚Π΅Ρ€ΠΈΠ½Π°Ρ€Π°

ΠŸΠΎΠ±ΠΎΡ‡Π½Ρ‹Π΅ эффСкты: Ρ€Π΅Π°Π»ΡŒΠ½Ρ‹, Π½ΠΎ управляСмы

Π”Π°, ΠΏΠΎΠ±ΠΎΡ‡Π½Ρ‹Π΅ эффСкты происходят. Но ΠΎΠ½ΠΈ ΠΎΠ±Ρ‹Ρ‡Π½ΠΎ мягчС, Ρ‡Π΅ΠΌ люди ΠΎΠΆΠΈΠ΄Π°ΡŽΡ‚.

Π–Π΅Π»ΡƒΠ΄ΠΎΡ‡Π½ΠΎ-ΠΊΠΈΡˆΠ΅Ρ‡Π½Ρ‹Π΅ ΠΏΠΎΠ±ΠΎΡ‡Π½Ρ‹Π΅ эффСкты (30% ΠΆΠΈΠ²ΠΎΡ‚Π½Ρ‹Ρ…)

  • Π Π²ΠΎΡ‚Π° ΠΈ Ρ‚ΠΎΡˆΠ½ΠΎΡ‚Π°. Π­Ρ‚ΠΎ Π½Π°ΠΈΠ±ΠΎΠ»Π΅Π΅ частый ΠΏΠΎΠ±ΠΎΡ‡Π½Ρ‹ΠΉ эффСкт. ΠŸΡ€ΠΎΠΈΡΡ…ΠΎΠ΄ΠΈΡ‚ Π² Ρ‚Π΅Ρ‡Π΅Π½ΠΈΠ΅ 24-72 часов послС лСчСния. ΠžΠ±Ρ‹Ρ‡Π½ΠΎ ΠΏΡ€ΠΎΡ…ΠΎΠ΄ΠΈΡ‚ Π·Π° нСсколько Π΄Π½Π΅ΠΉ. Π― профилактичСски даю ΠΏΡ€ΠΎΡ‚ΠΈΠ²ΠΎΡ€Π²ΠΎΡ‚Π½Ρ‹Π΅ ΠΏΡ€Π΅ΠΏΠ°Ρ€Π°Ρ‚Ρ‹. ΠœΠ°Ρ€ΠΎΠΏΠΈΡ‚Π°Π½Ρ‚ (Cerenia), ΠΌΠ΅Ρ‚ΠΎΠΊΠ»ΠΎΠΏΡ€Π°ΠΌΠΈΠ΄, Ρ„Π°ΠΌΠΎΡ‚ΠΈΠ΄ΠΈΠ½ — Π²Ρ‹Π±ΠΎΡ€ зависит ΠΎΡ‚ Ρ‚ΠΈΠΏΠ° химиотСрапСвтичСского ΠΏΡ€Π΅ΠΏΠ°Ρ€Π°Ρ‚Π°.
  • ДиарСя. Π’ΠΎΠ·ΠΌΠΎΠΆΠ½Π°, Π½ΠΎ ΠΌΠ΅Π½Π΅Π΅ частая, Ρ‡Π΅ΠΌ Ρ€Π²ΠΎΡ‚Π°. РСкомСндуСтся лёгкая Π΄ΠΈΠ΅Ρ‚Π°: отварная ΠΊΡƒΡ€ΠΈΡ†Π°, рис, консСрвы для ΠΆΠΈΠ²ΠΎΡ‚Π½Ρ‹Ρ… с Ρ‡ΡƒΠ²ΡΡ‚Π²ΠΈΡ‚Π΅Π»ΡŒΠ½Ρ‹ΠΌ Π–ΠšΠ’.
  • ΠŸΠΎΡ‚Π΅Ρ€Ρ Π°ΠΏΠΏΠ΅Ρ‚ΠΈΡ‚Π°. Π–ΠΈΠ²ΠΎΡ‚Π½ΠΎΠ΅ ΠΌΠΎΠΆΠ΅Ρ‚ ΠΎΡ‚ΠΊΠ°Π·Π°Ρ‚ΡŒΡΡ ΠΎΡ‚ Π΅Π΄Ρ‹ Π½Π° нСсколько Π΄Π½Π΅ΠΉ. ΠžΠ±Ρ‹Ρ‡Π½ΠΎ восстанавливаСтся. Если длится дольшС Π½Π΅Π΄Π΅Π»ΠΈ, ΠΌΠΎΠΆΠ΅Ρ‚ ΠΏΠΎΡ‚Ρ€Π΅Π±ΠΎΠ²Π°Ρ‚ΡŒΡΡ Π²ΠΌΠ΅ΡˆΠ°Ρ‚Π΅Π»ΡŒΡΡ‚Π²ΠΎ — мягкиС вкусныС ΠΏΡ€ΠΎΠ΄ΡƒΠΊΡ‚Ρ‹, Π²ΠΎΠ·ΠΌΠΎΠΆΠ½ΠΎ, стимуляторы Π°ΠΏΠΏΠ΅Ρ‚ΠΈΡ‚Π°.

ΠšΠΎΡΡ‚Π½ΠΎΠΌΠΎΠ·Π³ΠΎΠ²Π°Ρ супрСссия (22% ΠΆΠΈΠ²ΠΎΡ‚Π½Ρ‹Ρ…)

Π­Ρ‚ΠΎ Π±ΠΎΠ»Π΅Π΅ ΡΠ΅Ρ€ΡŒΡ‘Π·Π½Π°Ρ ΠΏΠΎΠ±ΠΎΡ‡Π½Ρ‹ΠΉ эффСкт. МногиС цитостатики Π²ΠΎΠ·Π΄Π΅ΠΉΡΡ‚Π²ΡƒΡŽΡ‚ Π½Π° быстро дСлящиСся ΠΊΠ»Π΅Ρ‚ΠΊΠΈ Π² костном ΠΌΠΎΠ·Π³Π΅, Π²ΠΊΠ»ΡŽΡ‡Π°Ρ ΠΊΠ»Π΅Ρ‚ΠΊΠΈ, ΠΊΠΎΡ‚ΠΎΡ€Ρ‹Π΅ производят Π±Π΅Π»Ρ‹Π΅ кровяныС ΠΊΠ»Π΅Ρ‚ΠΊΠΈ.

  • НСйтропСния (сниТСниС Π»Π΅ΠΉΠΊΠΎΡ†ΠΈΡ‚ΠΎΠ²) — Π½Π°ΠΈΠ±ΠΎΠ»Π΅Π΅ частая Ρ„ΠΎΡ€ΠΌΠ° костномозговой супрСссии. ΠžΠ±Ρ‹Ρ‡Π½ΠΎ развиваСтся Π½Π° 6-10 дСнь послС лСчСния (это называСтся "Π½Π°ΠΈΡ€ΠΎΠΌ" — врСмя наибольшСго сниТСния). ΠŸΡ€ΠΈ Π½Π΅ΠΉΡ‚Ρ€ΠΎΠΏΠ΅Π½ΠΈΠΈ ΠΆΠΈΠ²ΠΎΡ‚Π½ΠΎΠ΅ становится Π±ΠΎΠ»Π΅Π΅ восприимчивым ΠΊ инфСкциям. Если нСйтропСния тяТёлая (<500 ΠΊΠ»Π΅Ρ‚ΠΎΠΊ/μL), я даю Π°Π½Ρ‚ΠΈΠ±ΠΈΠΎΡ‚ΠΈΠΊΠΈ профилактичСски. Если нСйтропСния Π΅Ρ‰Ρ‘ тяТСлСС ΠΈ сопровоТдаСтся Π»ΠΈΡ…ΠΎΡ€Π°Π΄ΠΊΠΎΠΉ, это называСтся нСйтропСничСской Π»ΠΈΡ…ΠΎΡ€Π°Π΄ΠΊΠΎΠΉ ΠΈ Ρ‚Ρ€Π΅Π±ΡƒΠ΅Ρ‚ госпитализации, Π²Π½ΡƒΡ‚Ρ€ΠΈΠ²Π΅Π½Π½Ρ‹Ρ… Π°Π½Ρ‚ΠΈΠ±ΠΈΠΎΡ‚ΠΈΠΊΠΎΠ², ТидкостСй.
  • БСпсис (Π·Π°Ρ€Π°ΠΆΠ΅Π½ΠΈΠ΅ ΠΊΡ€ΠΎΠ²ΠΈ) ΠΌΠΎΠΆΠ΅Ρ‚ Ρ€Π°Π·Π²ΠΈΡ‚ΡŒΡΡ, ΠΈ это ΠΏΠΎΡ‚Π΅Π½Ρ†ΠΈΠ°Π»ΡŒΠ½ΠΎ ΡΠΌΠ΅Ρ€Ρ‚Π΅Π»ΡŒΠ½ΠΎ. Но это Ρ€Π΅Π΄ΠΊΠΎ — ΠΌΠ΅Π½Π΅Π΅ 1% ΠΆΠΈΠ²ΠΎΡ‚Π½Ρ‹Ρ….
  • ВромбоцитопСния (сниТСниС Ρ‚Ρ€ΠΎΠΌΠ±ΠΎΡ†ΠΈΡ‚ΠΎΠ², ΠΊΠ»Π΅Ρ‚ΠΎΠΊ, ΠΎΡ‚Π²Π΅Ρ‡Π°ΡŽΡ‰ΠΈΡ… Π·Π° ΡΠ²Ρ‘Ρ€Ρ‚Ρ‹Π²Π°Π΅ΠΌΠΎΡΡ‚ΡŒ) — Π²ΠΎΠ·ΠΌΠΎΠΆΠ½Π°, особСнно ΠΏΡ€ΠΈ ΠΏΠΎΠ²Ρ‚ΠΎΡ€Π½Ρ‹Ρ… лСчСниях. ΠŸΡ€ΠΈΠ·Π½Π°ΠΊΠΈ: ΠΏΠ΅Ρ‚Π΅Ρ…ΠΈΠΈ (малСнькиС кровоизлияния Π² ΠΊΠΎΠΆΠ΅), кровотСчСния ΠΈΠ· дёсСн, ΠΊΡ€ΠΎΠ²ΡŒ Π² ΠΌΠΎΡ‡Π΅ ΠΈΠ»ΠΈ ΠΊΠ°Π»Π΅.
Π²Ρ€Π°Ρ‡ смотрит Π½Π° ΠΏΡ€ΠΎΠ±ΠΈΡ€ΠΊΡƒ с ΠΊΡ€ΠΎΠ²ΡŒΡŽ, собака Π»Π΅ΠΆΠΈΡ‚ рядом

Π”Ρ€ΡƒΠ³ΠΈΠ΅ ΠΏΠΎΠ±ΠΎΡ‡Π½Ρ‹Π΅ эффСкты

  • ΠŸΠΎΡ‚Π΅Ρ€Ρ ΡˆΠ΅Ρ€ΡΡ‚ΠΈ. ΠžΠ±Ρ‹Ρ‡Π½ΠΎ Ρƒ ΠΏΠΎΡ€ΠΎΠ΄ Π±Π΅Π· линьки (Ρ‚Π΅Ρ€ΡŒΠ΅Ρ€Ρ‹, ΠΏΡƒΠ΄Π΅Π»ΠΈ, ΡˆΠ½Π°ΡƒΡ†Π΅Ρ€Ρ‹). Волосы становятся тусклыми, Π»ΠΎΠΌΠΊΠΈΠΌΠΈ, ΠΌΠΎΠ³ΡƒΡ‚ Π²Ρ‹ΠΏΠ°Π΄Π°Ρ‚ΡŒ. ΠžΠ±Ρ‹Ρ‡Π½ΠΎ Π²ΠΎΡΡΡ‚Π°Π½Π°Π²Π»ΠΈΠ²Π°ΡŽΡ‚ΡΡ послС окончания лСчСния.
  • ΠœΠ΅ΡΡ‚Π½Ρ‹Π΅ Ρ€Π΅Π°ΠΊΡ†ΠΈΠΈ. Если ΠΏΡ€Π΅ΠΏΠ°Ρ€Π°Ρ‚ Π²Ρ‹Ρ‚Π΅Ρ‡Π΅Ρ‚ ΠΈΠ· Π²Π΅Π½Ρ‹ (экстравазация), Π²ΠΎΠ·ΠΌΠΎΠΆΠ΅Π½ Π½Π΅ΠΊΡ€ΠΎΠ· Ρ‚ΠΊΠ°Π½Π΅ΠΉ, Ρ„Π»Π΅Π±ΠΈΡ‚ (воспалСниС Π²Π΅Π½Ρ‹). Π­Ρ‚ΠΎ ΠΏΠΎΡ‡Π΅ΠΌΡƒ Π²Π²ΠΎΠ΄ΠΈΡ‚ΡŒ эти ΠΏΡ€Π΅ΠΏΠ°Ρ€Π°Ρ‚Ρ‹ Π΄ΠΎΠ»ΠΆΠ΅Π½ ΠΎΠΏΡ‹Ρ‚Π½Ρ‹ΠΉ Π²Π΅Ρ‚Π΅Ρ€ΠΈΠ½Π°Ρ€.
  • ΠšΠ°Ρ€Π΄ΠΈΠΎΡ‚ΠΎΠΊΡΠΈΡ‡Π½ΠΎΡΡ‚ΡŒ. ΠŸΡ€ΠΈ доксорубицинС Π½Π° Π±ΠΎΠ»ΡŒΡˆΠΈΡ… кумулятивных Π΄ΠΎΠ·Π°Ρ… (>200 ΠΌΠ³/ΠΌ²) Π²ΠΎΠ·ΠΌΠΎΠΆΠ½ΠΎ ΠΏΠΎΠ²Ρ€Π΅ΠΆΠ΄Π΅Π½ΠΈΠ΅ сСрдца. Π­Ρ‚ΠΎ Ρ€Π΅Π΄ΠΊΠΎ ΠΏΡ€ΠΈ Π²Π΅Ρ‚Π΅Ρ€ΠΈΠ½Π°Ρ€Π½Ρ‹Ρ… ΠΏΡ€ΠΎΡ‚ΠΎΠΊΠΎΠ»Π°Ρ…, Π½ΠΎ ΠΌΡ‹ ΠΊΠΎΠ½Ρ‚Ρ€ΠΎΠ»ΠΈΡ€ΡƒΠ΅ΠΌ это, ограничивая кумулятивныС Π΄ΠΎΠ·Ρ‹ ΠΈ ΠΈΠ½ΠΎΠ³Π΄Π° проводя ΡΡ…ΠΎΠΊΠ°Ρ€Π΄ΠΈΠΎΠ³Ρ€Π°Ρ„ΠΈΡŽ.
ΠΊΠ»ΠΈΠ΅Π½Ρ‚ снимаСт с собаки ΠΊΠ»ΠΎΠΊ ΡˆΠ΅Ρ€ΡΡ‚ΠΈ

Как я ΡƒΠΏΡ€Π°Π²Π»ΡΡŽ ΠΏΠΎΠ±ΠΎΡ‡Π½Ρ‹ΠΌΠΈ эффСктами

Если ΠΆΠΈΠ²ΠΎΡ‚Π½ΠΎΠ΅ ΠΏΠΎΠ»ΡƒΡ‡Π°Π΅Ρ‚ ΡΠΈΠ»ΡŒΠ½Ρ‹Π΅ ΠΏΠΎΠ±ΠΎΡ‡Π½Ρ‹Π΅ эффСкты ΠΎΡ‚ Ρ…ΠΈΠΌΠΈΠΎΡ‚Π΅Ρ€Π°ΠΏΠΈΠΈ, это Π½Π΅ ΠΎΠ·Π½Π°Ρ‡Π°Π΅Ρ‚, Ρ‡Ρ‚ΠΎ Π½ΡƒΠΆΠ½ΠΎ ΠΎΡΡ‚Π°Π½ΠΎΠ²ΠΈΡ‚ΡŒ Π»Π΅Ρ‡Π΅Π½ΠΈΠ΅. Π­Ρ‚ΠΎ ΠΎΠ·Π½Π°Ρ‡Π°Π΅Ρ‚, Ρ‡Ρ‚ΠΎ Π½ΡƒΠΆΠ½ΠΎ ΠΈΠ·ΠΌΠ΅Π½ΠΈΡ‚ΡŒ ΠΏΠΎΠ΄Ρ…ΠΎΠ΄.

НСсколько стратСгий:

  1. Π‘ΠΌΠ΅Π½Π° ΠΏΡ€Π΅ΠΏΠ°Ρ€Π°Ρ‚Π°. Если ΠΆΠΈΠ²ΠΎΡ‚Π½ΠΎΠ΅ ΠΏΠ»ΠΎΡ…ΠΎ пСрСносит доксорубицин, я ΠΌΠΎΠ³Ρƒ ΠΏΠ΅Ρ€Π΅ΠΉΡ‚ΠΈ Π½Π° Π΄Ρ€ΡƒΠ³ΠΎΠΉ ΠΏΡ€Π΅ΠΏΠ°Ρ€Π°Ρ‚, ΠΊΠΎΡ‚ΠΎΡ€Ρ‹ΠΉ ΠΌΠΎΠΆΠ΅Ρ‚ Π±Ρ‹Ρ‚ΡŒ эффСктивСн, Π½ΠΎ Π»ΡƒΡ‡ΡˆΠ΅ пСрСносится.
  2. Π‘Π½ΠΈΠΆΠ΅Π½ΠΈΠ΅ Π΄ΠΎΠ·Ρ‹. Часто сниТСниС Π΄ΠΎΠ·Ρ‹ Π½Π° 10-20% достаточно, Ρ‡Ρ‚ΠΎΠ±Ρ‹ ΠΏΠΎΠ±ΠΎΡ‡Π½Ρ‹Π΅ эффСкты стали управляСмыми, ΠΈ ΠΏΡ€ΠΈ этом ΡΡ„Ρ„Π΅ΠΊΡ‚ΠΈΠ²Π½ΠΎΡΡ‚ΡŒ Π½Π΅ ΠΎΡ‡Π΅Π½ΡŒ страдаСт.
  3. ИзмСнСниС ΠΈΠ½Ρ‚Π΅Ρ€Π²Π°Π»Π°. ВмСсто СТСнСдСльного лСчСния ΠΌΠΎΠ³Ρƒ ΠΏΠ΅Ρ€Π΅ΠΉΡ‚ΠΈ Π½Π° Π»Π΅Ρ‡Π΅Π½ΠΈΠ΅ ΠΊΠ°ΠΆΠ΄Ρ‹Π΅ Π΄Π²Π΅ Π½Π΅Π΄Π΅Π»ΠΈ, давая ΠΆΠΈΠ²ΠΎΡ‚Π½ΠΎΠΌΡƒ большС Π²Ρ€Π΅ΠΌΠ΅Π½ΠΈ Π½Π° восстановлСниС.
  4. Π”ΠΎΠ±Π°Π²Π»Π΅Π½ΠΈΠ΅ ΠΏΠΎΠ΄Π΄Π΅Ρ€ΠΆΠΈΠ²Π°ΡŽΡ‰Π΅ΠΉ Ρ‚Π΅Ρ€Π°ΠΏΠΈΠΈ. Π›ΡƒΡ‡ΡˆΠΈΠ΅ ΠΏΡ€ΠΎΡ‚ΠΈΠ²ΠΎΡ€Π²ΠΎΡ‚Π½Ρ‹Π΅ ΠΏΡ€Π΅ΠΏΠ°Ρ€Π°Ρ‚Ρ‹, ΠΏΡ€ΠΎΠ±ΠΈΠΎΡ‚ΠΈΠΊΠΈ для ΠΊΠΈΡˆΠ΅Ρ‡Π½ΠΈΠΊΠ°, ΠΏΡ€ΠΎΡ‚ΠΈΠ²ΠΎΠ·ΡƒΠ΄Π½Ρ‹Π΅ ΠΏΡ€Π΅ΠΏΠ°Ρ€Π°Ρ‚Ρ‹, ΠΎΠ±Π΅Π·Π±ΠΎΠ»ΠΈΠ²Π°ΡŽΡ‰ΠΈΠ΅.
  5. ΠŸΠ΅Ρ€Π΅Ρ…ΠΎΠ΄ Π½Π° ΠΌΠ΅Ρ‚Ρ€ΠΎΠ½ΠΎΠΌΠ½ΡƒΡŽ Ρ…ΠΈΠΌΠΈΠΎΡ‚Π΅Ρ€Π°ΠΏΠΈΡŽ. Π­Ρ‚ΠΎ Π½ΠΈΠ·ΠΊΠΈΠ΅ Π΄ΠΎΠ·Ρ‹, часто ΠΏΠ΅Ρ€ΠΎΡ€Π°Π»ΡŒΠ½Ρ‹Π΅ (Ρ‚Π°Π±Π»Π΅Ρ‚ΠΊΠΈ), ΠΊΠΎΡ‚ΠΎΡ€Ρ‹Π΅ ΠΆΠΈΠ²ΠΎΡ‚Π½ΠΎΠ΅ ΠΌΠΎΠΆΠ΅Ρ‚ ΠΏΠΎΠ»ΡƒΡ‡Π°Ρ‚ΡŒ Π΄ΠΎΠΌΠ°. ΠŸΠ΅Ρ€Π΅Π½ΠΎΡΠΈΡ‚ΡΡ Π½Π°ΠΌΠ½ΠΎΠ³ΠΎ Π»ΡƒΡ‡ΡˆΠ΅.

Мой философский ΠΏΠΎΠ΄Ρ…ΠΎΠ΄: Ссли химиотСрапия Π²Ρ‹Π·Ρ‹Π²Π°Π΅Ρ‚ ΡΠΈΠ»ΡŒΠ½Ρ‹Π΅ страдания, это Π½Π΅ ΠΏΠΎΠΌΠΎΡ‰ΡŒ, это Π²Ρ€Π΅Π΄. Π’ этом случаС паллиативная ΠΏΠΎΠΌΠΎΡ‰ΡŒ (ΠΎΠ±Π»Π΅Π³Ρ‡Π΅Π½ΠΈΠ΅ Π±ΠΎΠ»ΠΈ ΠΈ дискомфорта) ΠΌΠΎΠΆΠ΅Ρ‚ Π±Ρ‹Ρ‚ΡŒ Π»ΡƒΡ‡ΡˆΠΈΠΌ Π²Π°Ρ€ΠΈΠ°Π½Ρ‚ΠΎΠΌ.

Π²Ρ€Π°Ρ‡ ΠΈΠ·ΡƒΡ‡Π°Π΅Ρ‚ листок с Π°Π½Π°Π»ΠΈΠ·Π°ΠΌΠΈ, ΠΊΠΎΡ‚ Π»Π΅ΠΆΠΈΡ‚ рядом

Π”ΠΎΠΌΠ°ΡˆΠ½ΠΈΠΉ ΡƒΡ…ΠΎΠ΄ ΠΈ ΠΏΠΎΠ΄Π΄Π΅Ρ€ΠΆΠΊΠ° Π²ΠΎ врСмя Ρ…ΠΈΠΌΠΈΠΎΡ‚Π΅Ρ€Π°ΠΏΠΈΠΈ

Роль Π²Π»Π°Π΄Π΅Π»ΡŒΡ†Π° ΠΊΡ€ΠΈΡ‚ΠΈΡ‡Π½Π° для ΡƒΡΠΏΠ΅ΡˆΠ½ΠΎΠΉ Ρ…ΠΈΠΌΠΈΠΎΡ‚Π΅Ρ€Π°ΠΏΠΈΠΈ. Π’ΠΎΡ‚ Ρ‡Ρ‚ΠΎ я Ρ€Π΅ΠΊΠΎΠΌΠ΅Π½Π΄ΡƒΡŽ:

  • ΠŸΠΈΡ‚Π°Π½ΠΈΠ΅. ΠšΠ°Ρ‡Π΅ΡΡ‚Π²Π΅Π½Π½Π°Ρ, ΠΏΠΈΡ‚Π°Ρ‚Π΅Π»ΡŒΠ½Π°Ρ Π΅Π΄Π°. НС ΡΠΊΡƒΠΏΠΈΡ‚Π΅ΡΡŒ Π½Π° Π±Π΅Π»ΠΎΠΊ. Π Π°ΠΊΠΎΠ²Ρ‹Π΅ ΠΊΠ»Π΅Ρ‚ΠΊΠΈ ΠΏΠΎΡ‚Ρ€Π΅Π±Π»ΡΡŽΡ‚ ΠΌΠ½ΠΎΠ³ΠΎ энСргии, ΠΈ ΠΎΡ€Π³Π°Π½ΠΈΠ·ΠΌ ΠΆΠΈΠ²ΠΎΡ‚Π½ΠΎΠ³ΠΎ нуТдаСтся Π² достаточном ΠΏΠΈΡ‚Π°Π½ΠΈΠΈ для восстановлСния.
  • Если ΠΆΠΈΠ²ΠΎΡ‚Π½ΠΎΠ΅ тСряСт Π°ΠΏΠΏΠ΅Ρ‚ΠΈΡ‚ послС лСчСния, ΠΏΡ€Π΅Π΄Π»Π°Π³Π°ΠΉΡ‚Π΅ мягкиС, вкусныС ΠΏΡ€ΠΎΠ΄ΡƒΠΊΡ‚Ρ‹: отварная ΠΊΡƒΡ€ΠΈΡ†Π°, Ρ€Ρ‹Π±Π°, ΡΠΏΠ΅Ρ†ΠΈΠ°Π»ΡŒΠ½Ρ‹Π΅ консСрвы для ΠΆΠΈΠ²ΠΎΡ‚Π½Ρ‹Ρ… с Ρ‡ΡƒΠ²ΡΡ‚Π²ΠΈΡ‚Π΅Π»ΡŒΠ½Ρ‹ΠΌ Π–ΠšΠ’.
  • Гидратация. Π£Π±Π΅Π΄ΠΈΡ‚Π΅ΡΡŒ, Ρ‡Ρ‚ΠΎ ΠΆΠΈΠ²ΠΎΡ‚Π½ΠΎΠ΅ ΠΏΡŒΡ‘Ρ‚ достаточно Π²ΠΎΠ΄Ρ‹. МоТно ΠΏΡ€Π΅Π΄Π»ΠΎΠΆΠΈΡ‚ΡŒ Π²Π»Π°ΠΆΠ½ΡƒΡŽ ΠΏΠΈΡ‰Ρƒ, Π±ΡƒΠ»ΡŒΠΎΠ½ (Π±Π΅Π· соли), Π»ΡŒΡ‘Π΄.
  • ΠžΡ‚Π΄Ρ‹Ρ…. Π”Π°ΠΉΡ‚Π΅ ΠΆΠΈΠ²ΠΎΡ‚Π½ΠΎΠΌΡƒ спокойноС мСсто для ΠΎΡ‚Π΄Ρ‹Ρ…Π°. Π’ ΠΏΠ΅Ρ€Π²Ρ‹Π΅ Π΄Π½ΠΈ послС лСчСния ΠΆΠΈΠ²ΠΎΡ‚Π½ΠΎΠ΅ ΠΌΠΎΠΆΠ΅Ρ‚ Π±Ρ‹Ρ‚ΡŒ вялым — это Π½ΠΎΡ€ΠΌΠ°Π»ΡŒΠ½ΠΎ. НС заставляйтС Π΅Π³ΠΎ ΠΈΠ³Ρ€Π°Ρ‚ΡŒ.
  • ΠšΠΎΠ½Ρ‚Ρ€ΠΎΠ»ΡŒ Ρ‚Π΅ΠΌΠΏΠ΅Ρ€Π°Ρ‚ΡƒΡ€Ρ‹. Если ΠΆΠΈΠ²ΠΎΡ‚Π½ΠΎΠ΅ ΠΏΠΎΠ»ΡƒΡ‡Π°Π΅Ρ‚ Π»Π΅Ρ‡Π΅Π½ΠΈΠ΅, ΠΊΠΎΡ‚ΠΎΡ€ΠΎΠ΅ ΠΌΠΎΠΆΠ΅Ρ‚ Π²Ρ‹Π·Π²Π°Ρ‚ΡŒ Π½Π΅ΠΉΡ‚Ρ€ΠΎΠΏΠ΅Π½ΠΈΡŽ, ΠΈ Ρƒ вас Π΅ΡΡ‚ΡŒ ΠΏΡ€ΠΈΠ·Π½Π°ΠΊΠΈ Π»ΠΈΡ…ΠΎΡ€Π°Π΄ΠΊΠΈ (Ρ‚Π΅ΠΌΠΏΠ΅Ρ€Π°Ρ‚ΡƒΡ€Π° Π²Ρ‹ΡˆΠ΅ 39,5°C), срочно ΡΠ²ΡΠΆΠΈΡ‚Π΅ΡΡŒ с Π²Π΅Ρ‚Π΅Ρ€ΠΈΠ½Π°Ρ€ΠΎΠΌ. Π­Ρ‚ΠΎ ΠΌΠΎΠΆΠ΅Ρ‚ Π±Ρ‹Ρ‚ΡŒ Ρ€Π°Π½Π½ΠΈΠΉ ΠΏΡ€ΠΈΠ·Π½Π°ΠΊ ΠΈΠ½Ρ„Π΅ΠΊΡ†ΠΈΠΈ.
  • ΠšΠΎΠ½Ρ‚Ρ€ΠΎΠ»ΡŒΠ½Ρ‹Π΅ Π²ΠΈΠ·ΠΈΡ‚Ρ‹. РСгулярныС Π²ΠΈΠ·ΠΈΡ‚Ρ‹ Π²Π΅Ρ‚Π΅Ρ€ΠΈΠ½Π°Ρ€Π°, Π°Π½Π°Π»ΠΈΠ·Ρ‹ ΠΊΡ€ΠΎΠ²ΠΈ ΠΏΠ΅Ρ€Π΅Π΄ ΠΊΠ°ΠΆΠ΄Ρ‹ΠΌ Π»Π΅Ρ‡Π΅Π½ΠΈΠ΅ΠΌ. Π­Ρ‚ΠΎ Π½Π΅ ΠΎΠΏΡ†ΠΈΠΎΠ½Π°Π»ΡŒΠ½ΠΎ — это Π½Π΅ΠΎΠ±Ρ…ΠΎΠ΄ΠΈΠΌΠΎ для бСзопасности.
  • ΠŸΠΎΠ΄Π΄Π΅Ρ€ΠΆΠΊΠ° ΠΈ наблюдСниС. Π’Π΅Π΄ΠΈΡ‚Π΅ Π΄Π½Π΅Π²Π½ΠΈΠΊ — ΠΊΠ°ΠΊ ΠΆΠΈΠ²ΠΎΡ‚Π½ΠΎΠ΅ сСбя чувствуСт, ΠΊΠ°ΠΊ Π΅Π³ΠΎ Π°ΠΏΠΏΠ΅Ρ‚ΠΈΡ‚, Π΅ΡΡ‚ΡŒ Π»ΠΈ Ρ€Π²ΠΎΡ‚Π°, диарСя. Π­Ρ‚ΠΎ ΠΏΠΎΠΌΠΎΠΆΠ΅Ρ‚ Π²Π΅Ρ‚Π΅Ρ€ΠΈΠ½Π°Ρ€Ρƒ ΡΠΊΠΎΡ€Ρ€Π΅ΠΊΡ‚ΠΈΡ€ΠΎΠ²Π°Ρ‚ΡŒ Π»Π΅Ρ‡Π΅Π½ΠΈΠ΅.
хозяин измСряСт Ρ‚Π΅ΠΌΠΏΠ΅Ρ€Π°Ρ‚ΡƒΡ€Ρƒ собакС

ΠœΠ΅Ρ‚Ρ€ΠΎΠ½ΠΎΠΌΠ½Π°Ρ химиотСрапия: Π½ΠΎΠ²ΠΎΠ΅ Π½Π°ΠΏΡ€Π°Π²Π»Π΅Π½ΠΈΠ΅ Π² Π»Π΅Ρ‡Π΅Π½ΠΈΠΈ Ρ€Π°ΠΊΠ°

Врадиционная химиотСрапия ΠΈΡΠΏΠΎΠ»ΡŒΠ·ΡƒΠ΅Ρ‚ высокиС Π΄ΠΎΠ·Ρ‹ ΠΏΡ€Π΅ΠΏΠ°Ρ€Π°Ρ‚ΠΎΠ² Π² ΠΎΡ‚Π΄Π΅Π»ΡŒΠ½Ρ‹Ρ… сСансах (MTD — maximum tolerated dose, максимально пСрСносимая Π΄ΠΎΠ·Π°).

ΠœΠ΅Ρ‚Ρ€ΠΎΠ½ΠΎΠΌΠ½Π°Ρ химиотСрапия — это Π½ΠΎΠ²ΠΎΠ΅ Π½Π°ΠΏΡ€Π°Π²Π»Π΅Π½ΠΈΠ΅, ΠΊΠΎΡ‚ΠΎΡ€ΠΎΠ΅ ΠΈΡΠΏΠΎΠ»ΡŒΠ·ΡƒΠ΅Ρ‚ Π½ΠΈΠ·ΠΊΠΈΠ΅ Π΄ΠΎΠ·Ρ‹ ΠΏΡ€Π΅ΠΏΠ°Ρ€Π°Ρ‚ΠΎΠ², Π²Π²ΠΎΠ΄ΠΈΠΌΡ‹Ρ… часто (Π½Π°ΠΏΡ€ΠΈΠΌΠ΅Ρ€, Π΅ΠΆΠ΅Π΄Π½Π΅Π²Π½ΠΎ) ΠΈΠ»ΠΈ Π½Π΅ΠΏΡ€Π΅Ρ€Ρ‹Π²Π½ΠΎ.

ΠŸΡ€Π΅ΠΈΠΌΡƒΡ‰Π΅ΡΡ‚Π²Π° ΠΌΠ΅Ρ‚Ρ€ΠΎΠ½ΠΎΠΌΠ½ΠΎΠΉ Ρ…ΠΈΠΌΠΈΠΎΡ‚Π΅Ρ€Π°ΠΏΠΈΠΈ:

  1. Π›ΡƒΡ‡ΡˆΠ΅ пСрСносится. ΠŸΠΎΠ±ΠΎΡ‡Π½Ρ‹Π΅ эффСкты Π½Π°ΠΌΠ½ΠΎΠ³ΠΎ мягчС, ΠΏΠΎΡ‚ΠΎΠΌΡƒ Ρ‡Ρ‚ΠΎ Π΄ΠΎΠ·Ρ‹ Π½ΠΈΠ·ΠΊΠΈΠ΅.
  2. МоТно ΠΈΡΠΏΠΎΠ»ΡŒΠ·ΠΎΠ²Π°Ρ‚ΡŒ Π΄ΠΎΠΌΠ°. Часто это Ρ‚Π°Π±Π»Π΅Ρ‚ΠΊΠΈ, ΠΊΠΎΡ‚ΠΎΡ€Ρ‹Π΅ Π²Π»Π°Π΄Π΅Π»Π΅Ρ† ΠΌΠΎΠΆΠ΅Ρ‚ Π΄Π°Π²Π°Ρ‚ΡŒ Π΄ΠΎΠΌΠ°, Π½Π΅ Π½ΡƒΠΆΠ½ΠΎ Π΅Π·Π΄ΠΈΡ‚ΡŒ Π² ΠΊΠ»ΠΈΠ½ΠΈΠΊΡƒ ΠΊΠ°ΠΆΠ΄ΡƒΡŽ нСдСлю.
  3. АнтиангиогСнный эффСкт. НизкиС Π΄ΠΎΠ·Ρ‹ ΠΏΡ€Π΅Π΄ΠΎΡ‚Π²Ρ€Π°Ρ‰Π°ΡŽΡ‚ рост Π½ΠΎΠ²Ρ‹Ρ… кровСносных сосудов, ΠΏΠΈΡ‚Π°ΡŽΡ‰ΠΈΡ… ΠΎΠΏΡƒΡ…ΠΎΠ»ΡŒ, Ρ‡Ρ‚ΠΎ замСдляСт Π΅Ρ‘ рост.
  4. ΠœΠΎΠΆΠ΅Ρ‚ ΠΊΠΎΠΌΠ±ΠΈΠ½ΠΈΡ€ΠΎΠ²Π°Ρ‚ΡŒΡΡ с высокодозной Ρ…ΠΈΠΌΠΈΠΎΡ‚Π΅Ρ€Π°ΠΏΠΈΠ΅ΠΉ. ВмСстС ΠΎΠ½ΠΈ часто Π±ΠΎΠ»Π΅Π΅ эффСктивны.
  5. Для ΠΏΡ€ΠΎΠ΄Π²ΠΈΠ½ΡƒΡ‚Ρ‹Ρ… стадий. Π˜ΡΠΏΠΎΠ»ΡŒΠ·ΡƒΠ΅Ρ‚ΡΡ, ΠΊΠΎΠ³Π΄Π° ΠΆΠΈΠ²ΠΎΡ‚Π½ΠΎΠ΅ Π½Π΅ ΠΌΠΎΠΆΠ΅Ρ‚ пСрСнСсти Π²Ρ‹ΡΠΎΠΊΠΎΠ΄ΠΎΠ·Π½ΡƒΡŽ Ρ…ΠΈΠΌΠΈΠΎΡ‚Π΅Ρ€Π°ΠΏΠΈΡŽ ΠΈΠ»ΠΈ ΠΎΠΏΡƒΡ…ΠΎΠ»ΡŒ рСзистСнтна ΠΊ Π½Π΅ΠΉ.

ΠŸΡ€ΠΈΠΌΠ΅Ρ€Ρ‹ ΠΏΡ€Π΅ΠΏΠ°Ρ€Π°Ρ‚ΠΎΠ² для ΠΌΠ΅Ρ‚Ρ€ΠΎΠ½ΠΎΠΌΠ½ΠΎΠΉ Ρ…ΠΈΠΌΠΈΠΎΡ‚Π΅Ρ€Π°ΠΏΠΈΠΈ:

  • Циклофосфамид (Ρ‚Π°Π±Π»Π΅Ρ‚ΠΊΠΈ, низкая Π΄ΠΎΠ·Π°)
  • Доксорубицин (низкая Π΄ΠΎΠ·Π°, ΠΈΠ½Ρ‚Ρ€Π°Π²Π΅Π½ΠΎΠ·Π½ΠΎ)
  • ΠšΠ°Ρ€Π±ΠΎΠΏΠ»Π°Ρ‚ΠΈΠ½ (низкая Π΄ΠΎΠ·Π°)

КСйс Π²Π΅Ρ‚Π΅Ρ€ΠΈΠ½Π°Ρ€Π°

Один ΠΈΠ· самых Π²ΠΏΠ΅Ρ‡Π°Ρ‚Π»ΡΡŽΡ‰ΠΈΡ… случаСв — собака с остСосаркомой Π²Π΅Ρ€Ρ…Π½Π΅ΠΉ Ρ‡Π΅Π»ΡŽΡΡ‚ΠΈ, которая ΠΏΠΎΠ»ΡƒΡ‡Π°Π»Π° ΠΌΠ΅Ρ‚Ρ€ΠΎΠ½ΠΎΠΌΠ½ΡƒΡŽ Ρ…ΠΈΠΌΠΈΠΎΡ‚Π΅Ρ€Π°ΠΏΠΈΡŽ ΠΊΠΎΠΌΠ±ΠΈΠ½ΠΈΡ€ΠΎΠ²Π°Π½Π½ΠΎ с Π΄Ρ€ΡƒΠ³ΠΈΠΌΠΈ ΠΏΡ€Π΅ΠΏΠ°Ρ€Π°Ρ‚Π°ΠΌΠΈ. Π­Ρ‚Π° собака ΠΏΡ€ΠΎΠΆΠΈΠ»Π° 193 Π½Π΅Π΄Π΅Π»ΠΈ послС Ρ…ΠΈΡ€ΡƒΡ€Π³ΠΈΠΈ (ΠΏΠΎΡ‡Ρ‚ΠΈ Ρ‡Π΅Ρ‚Ρ‹Ρ€Π΅ Π³ΠΎΠ΄Π°!), ΠΊΠΎΠ³Π΄Π° ΠΎΠ±Ρ‹Ρ‡Π½ΠΎ Π²Ρ‹ΠΆΠΈΠ²Π°Π΅ΠΌΠΎΡΡ‚ΡŒ 7-12 мСсяцСв.

Если вашСй собакС ΠΈΠ»ΠΈ кошкС диагностирован Ρ€Π°ΠΊ, Π½Π΅ тСряйтС Π½Π°Π΄Π΅ΠΆΠ΄Ρƒ. ΠŸΠΎΠ³ΠΎΠ²ΠΎΡ€ΠΈΡ‚Π΅ с Π²Π΅Ρ‚Π΅Ρ€ΠΈΠ½Π°Ρ€ΠΎΠΌ-ΠΎΠ½ΠΊΠΎΠ»ΠΎΠ³ΠΎΠΌ. Π£Π·Π½Π°ΠΉΡ‚Π΅ ΠΎ Π²Π°Ρ€ΠΈΠ°Π½Ρ‚Π°Ρ… Ρƒ Π²Π΅Ρ‚Π΅Ρ€ΠΈΠ½Π°Ρ€ΠΎΠ² ΠΊΠ»ΠΈΠ½ΠΈΠΊΠΈ Laska Pets. Π₯имиотСрапия для ΠΆΠΈΠ²ΠΎΡ‚Π½Ρ‹Ρ… ΠΌΠΎΠΆΠ΅Ρ‚ Π΄Π°Ρ‚ΡŒ Π²Π°ΠΌ Ρ‚ΠΎ, Ρ‡Π΅Π³ΠΎ Π²Ρ‹ Ρ…ΠΎΡ‚ΠΈΡ‚Π΅ большС всСго — большС Π²Ρ€Π΅ΠΌΠ΅Π½ΠΈ со своим ΠΏΠΈΡ‚ΠΎΠΌΡ†Π΅ΠΌ.

Π²Ρ€Π°Ρ‡ осматриваСт Ρ€Π°Π·Π»ΠΈΡ‡Π½Ρ‹Π΅ Ρ„Π»Π°ΠΊΠΎΠ½Ρ‡ΠΈΠΊΠΈ лСкарств ΠΈ ΠΏΡ€ΠΎΠ±ΠΈΡ€ΠΊΠΈ Ρƒ сСбя Π½Π° столС

Часто Π·Π°Π΄Π°Π²Π°Π΅ΠΌΡ‹Π΅ вопросы

Π₯имиотСрапия Π²Ρ‹Π·ΠΎΠ²Π΅Ρ‚ Π²Ρ‹ΠΏΠ°Π΄Π΅Π½ΠΈΠ΅ ΡˆΠ΅Ρ€ΡΡ‚ΠΈ Ρƒ ΠΌΠΎΠ΅ΠΉ собаки?

ΠžΠ±Ρ‹Ρ‡Π½ΠΎ Π½Π΅Ρ‚. Π’Ρ‹ΠΏΠ°Π΄Π΅Π½ΠΈΠ΅ ΡˆΠ΅Ρ€ΡΡ‚ΠΈ происходит Ρ‚ΠΎΠ»ΡŒΠΊΠΎ Ρƒ ΠΏΠΎΡ€ΠΎΠ΄ Π±Π΅Π· линьки (Ρ‚Π΅Ρ€ΡŒΠ΅Ρ€Ρ‹, ΠΏΡƒΠ΄Π΅Π»ΠΈ, ΡˆΠ½Π°ΡƒΡ†Π΅Ρ€Ρ‹) ΠΈ Ρ‚ΠΎ Π½Π΅ всСгда. Если происходит, волосы ΠΎΠ±Ρ‹Ρ‡Π½ΠΎ Π²ΠΎΡΡΡ‚Π°Π½Π°Π²Π»ΠΈΠ²Π°ΡŽΡ‚ΡΡ послС окончания лСчСния.

Мой ΠΏΠΈΡ‚ΠΎΠΌΠ΅Ρ† Π½Π΅ ΠΏΡ€ΠΎΠΆΠΈΠ²Ρ‘Ρ‚ дольшС мСсяца с Ρ…ΠΈΠΌΠΈΠΎΡ‚Π΅Ρ€Π°ΠΏΠΈΠ΅ΠΉ?

ΠŸΡ€ΠΎΡ‚ΠΈΠ²ΠΎΠΏΠΎΠ»ΠΎΠΆΠ½ΠΎΠ΅. ΠŸΡ€ΠΈ Π»ΠΈΠΌΡ„ΠΎΠΌΠ΅ Π±Π΅Π· лСчСния β€” 4-6 нСдСль. Π‘ Π»Π΅Ρ‡Π΅Π½ΠΈΠ΅ΠΌ β€” Π² срСднСм Π³ΠΎΠ΄. Π­Ρ‚ΠΎ колоссальная Ρ€Π°Π·Π½ΠΈΡ†Π°.

Π₯имиотСрапия ΠΌΡƒΡ‡ΠΈΡ‚Π΅Π»ΡŒΠ½Π° для ΠΆΠΈΠ²ΠΎΡ‚Π½ΠΎΠ³ΠΎ?

Π’ Π²Π΅Ρ‚Π΅Ρ€ΠΈΠ½Π°Ρ€Π½ΠΎΠΉ ΠΌΠ΅Π΄ΠΈΡ†ΠΈΠ½Π΅ ΠΏΡ€ΠΈΠΎΡ€ΠΈΡ‚Π΅Ρ‚ β€” качСство ΠΆΠΈΠ·Π½ΠΈ. Π‘ΠΎΠ»ΡŒΡˆΠΈΠ½ΡΡ‚Π²ΠΎ ΠΆΠΈΠ²ΠΎΡ‚Π½Ρ‹Ρ… Ρ…ΠΎΡ€ΠΎΡˆΠΎ пСрСносят Π»Π΅Ρ‡Π΅Π½ΠΈΠ΅. 83% ΠΈΠΌΠ΅ΡŽΡ‚ Ρ‚ΠΎΠ»ΡŒΠΊΠΎ Π»Ρ‘Π³ΠΊΠΈΠ΅ ΠΏΠΎΠ±ΠΎΡ‡Π½Ρ‹Π΅ эффСкты. Если ΠΆΠΈΠ²ΠΎΡ‚Π½ΠΎΠ΅ страдаСт, ΠΌΡ‹ измСняСм ΠΏΡ€ΠΎΡ‚ΠΎΠΊΠΎΠ» ΠΈΠ»ΠΈ ΠΈΡΠΏΠΎΠ»ΡŒΠ·ΡƒΠ΅ΠΌ ΠΏΠ°Π»Π»ΠΈΠ°Ρ‚ΠΈΠ²Π½ΡƒΡŽ ΠΏΠΎΠΌΠΎΡ‰ΡŒ.

ΠœΠΎΠ³ΡƒΡ‚ Π»ΠΈ ΠΆΠΈΠ²ΠΎΡ‚Π½Ρ‹Π΅ Π½Π°Ρ…ΠΎΠ΄ΠΈΡ‚ΡŒΡΡ Π΄ΠΎΠΌΠ° Π²ΠΎ врСмя Ρ…ΠΈΠΌΠΈΠΎΡ‚Π΅Ρ€Π°ΠΏΠΈΠΈ?

Π”Π°, Π°Π±ΡΠΎΠ»ΡŽΡ‚Π½ΠΎ. ПослС лСчСния ΠΆΠΈΠ²ΠΎΡ‚Π½ΠΎΠ΅ ΠΌΠΎΠΆΠ΅Ρ‚ ΠΈΠ΄Ρ‚ΠΈ Π΄ΠΎΠΌΠΎΠΉ. Π’Π»Π°Π΄Π΅Π»ΡŒΡ†Ρƒ Π΄Π°Π½Ρ‹ указания ΠΏΠΎ ΡƒΡ…ΠΎΠ΄Ρƒ, ΠΏΡ€ΠΎΡ‚ΠΈΠ²ΠΎΡ€Π²ΠΎΡ‚Π½Ρ‹Π΅ ΠΏΡ€Π΅ΠΏΠ°Ρ€Π°Ρ‚Ρ‹, Ρ€Π΅ΠΊΠΎΠΌΠ΅Π½Π΄Π°Ρ†ΠΈΠΈ ΠΏΠΎ ΠΊΠΎΡ€ΠΌΠ»Π΅Π½ΠΈΡŽ. Π–ΠΈΠ²ΠΎΡ‚Π½ΠΎΠ΅ находится Π΄ΠΎΠΌΠ°, со своСй сСмьСй.

Π§Ρ‚ΠΎ Ссли химиотСрапия Π½Π΅ Ρ€Π°Π±ΠΎΡ‚Π°Π΅Ρ‚?

ΠœΡ‹ ΠΎΡ†Π΅Π½ΠΈΠ²Π°Π΅ΠΌ Ρ€Π΅Π·ΡƒΠ»ΡŒΡ‚Π°Ρ‚Ρ‹. Если ΠΎΠΏΡƒΡ…ΠΎΠ»ΡŒ Π½Π΅ Ρ€Π΅Π°Π³ΠΈΡ€ΡƒΠ΅Ρ‚ Π½Π° ΠΎΠ΄ΠΈΠ½ ΠΏΡ€Π΅ΠΏΠ°Ρ€Π°Ρ‚, ΠΌΡ‹ ΠΏΡ€ΠΎΠ±ΡƒΠ΅ΠΌ Π΄Ρ€ΡƒΠ³ΠΎΠΉ. Если Π½ΠΈΡ‡Π΅Π³ΠΎ Π½Π΅ Ρ€Π°Π±ΠΎΡ‚Π°Π΅Ρ‚, ΠΌΡ‹ ΠΏΠ΅Ρ€Π΅Ρ…ΠΎΠ΄ΠΈΠΌ Π½Π° ΠΏΠ°Π»Π»ΠΈΠ°Ρ‚ΠΈΠ²Π½ΡƒΡŽ ΠΏΠΎΠΌΠΎΡ‰ΡŒ β€” ΠΎΠ±Π»Π΅Π³Ρ‡Π΅Π½ΠΈΠ΅ Π±ΠΎΠ»ΠΈ, ΠΊΠΎΠΌΡ„ΠΎΡ€Ρ‚, ΠΏΠΎΠ΄Π΄Π΅Ρ€ΠΆΠ°Π½ΠΈΠ΅ качСства ΠΆΠΈΠ·Π½ΠΈ.

Π­Ρ‚ΠΎ Π΄ΠΎΡ€ΠΎΠ³ΠΎ?

Π”Π°, химиотСрапия β€” Π½Π΅ Π΄Π΅ΡˆΡ‘Π²ΠΎΠ΅ Π»Π΅Ρ‡Π΅Π½ΠΈΠ΅. Π‘Ρ‚ΠΎΠΈΠΌΠΎΡΡ‚ΡŒ зависит ΠΎΡ‚ Ρ‚ΠΈΠΏΠ° Ρ€Π°ΠΊΠ°, ΠΈΡΠΏΠΎΠ»ΡŒΠ·ΡƒΠ΅ΠΌΡ‹Ρ… ΠΏΡ€Π΅ΠΏΠ°Ρ€Π°Ρ‚ΠΎΠ², количСства сСансов. Π­Ρ‚ΠΎ инвСстиция Π² Π·Π΄ΠΎΡ€ΠΎΠ²ΡŒΠ΅ ΠΈ Тизнь вашСго ΠΏΠΈΡ‚ΠΎΠΌΡ†Π°. Но ΠΌΠ½ΠΎΠ³ΠΈΠ΅ ΡΡ‡ΠΈΡ‚Π°ΡŽΡ‚, Ρ‡Ρ‚ΠΎ врСмя, ΠΊΠΎΡ‚ΠΎΡ€ΠΎΠ΅ Π΄Π°Ρ‘Ρ‚ химиотСрапия, стоит этой Ρ†Π΅Π½Ρ‹.

Если ΠΌΠΎΠΉ ΠΏΠΈΡ‚ΠΎΠΌΠ΅Ρ† достигнСт рСмиссии, вСрнётся Π»ΠΈ Ρ€Π°ΠΊ?

Π’ΠΎΠ·ΠΌΠΎΠΆΠ½ΠΎ. ΠŸΡ€ΠΈ Π»ΠΈΠΌΡ„ΠΎΠΌΠ΅, Ссли ΠΆΠΈΠ²ΠΎΡ‚Π½ΠΎΠ΅ Π² рСмиссии Π² Ρ‚Π΅Ρ‡Π΅Π½ΠΈΠ΅ ΡˆΠ΅ΡΡ‚ΠΈ мСсяцСв, ΠΌΡ‹ ΠΌΠΎΠΆΠ΅ΠΌ ΠΎΡΡ‚Π°Π½ΠΎΠ²ΠΈΡ‚ΡŒ Π»Π΅Ρ‡Π΅Π½ΠΈΠ΅. Π–ΠΈΠ²ΠΎΡ‚Π½ΠΎΠ΅ остаётся ΠΏΠΎΠ΄ наблюдСниСм. Если Ρ€Π°ΠΊ вСрнётся, ΠΌΡ‹ ΠΌΠΎΠΆΠ΅ΠΌ Π²ΠΎΠ·ΠΎΠ±Π½ΠΎΠ²ΠΈΡ‚ΡŒ Π»Π΅Ρ‡Π΅Π½ΠΈΠ΅. Вторая рСмиссия ΠΎΠ±Ρ‹Ρ‡Π½ΠΎ ΠΊΠΎΡ€ΠΎΡ‡Π΅, Π½ΠΎ всё Π΅Ρ‰Ρ‘ Π΄Π°Π΅Ρ‚ врСмя.

МоТно Π»ΠΈ ΡΠΎΡ‡Π΅Ρ‚Π°Ρ‚ΡŒ Ρ…ΠΈΠΌΠΈΠΎΡ‚Π΅Ρ€Π°ΠΏΠΈΡŽ с Ρ…ΠΈΡ€ΡƒΡ€Π³ΠΈΠ΅ΠΉ ΠΈ Π»ΡƒΡ‡Π΅Π²ΠΎΠΉ Ρ‚Π΅Ρ€Π°ΠΏΠΈΠ΅ΠΉ?

Π”Π°, часто это ΠΎΠΏΡ‚ΠΈΠΌΠ°Π»ΡŒΠ½ΠΎΠ΅ Π»Π΅Ρ‡Π΅Π½ΠΈΠ΅. НапримСр, ΠΏΡ€ΠΈ остСосаркомС β€” ампутация (хирургия), ΠΏΠΎΡ‚ΠΎΠΌ химиотСрапия для уничтоТСния микромСтастазов. ΠŸΡ€ΠΈ Π½Π΅ΠΏΠΎΠ»Π½ΠΎΠΌ ΡƒΠ΄Π°Π»Π΅Π½ΠΈΠΈ ΠΎΠΏΡƒΡ…ΠΎΠ»ΠΈ β€” химиотСрапия ΠΈ/ΠΈΠ»ΠΈ лучСвая тСрапия для контроля локального роста.

Как я ΡƒΠ·Π½Π°ΡŽ, Ρ€Π°Π±ΠΎΡ‚Π°Π΅Ρ‚ Π»ΠΈ Π»Π΅Ρ‡Π΅Π½ΠΈΠ΅?

ΠœΡ‹ ΠΎΡ†Π΅Π½ΠΈΠ²Π°Π΅ΠΌ Ρ€Π΅Π·ΡƒΠ»ΡŒΡ‚Π°Ρ‚Ρ‹ Ρ‡Π΅Ρ€Π΅Π· 2-4 Π½Π΅Π΄Π΅Π»ΠΈ послС Π½Π°Ρ‡Π°Π»Π° лСчСния. ΠŸΡ€ΠΎΠ²ΠΎΠ΄ΠΈΠΌ Π£Π—Π˜, Ρ€Π΅Π½Ρ‚Π³Π΅Π½ ΠΈΠ»ΠΈ ΠΏΠΎΠ²Ρ‚ΠΎΡ€Π½ΠΎΠ΅ физичСскоС обслСдованиС, Ρ‡Ρ‚ΠΎΠ±Ρ‹ ΠΏΠΎΡΠΌΠΎΡ‚Ρ€Π΅Ρ‚ΡŒ, ΡƒΠΌΠ΅Π½ΡŒΡˆΠΈΠ»Π°ΡΡŒ Π»ΠΈ ΠΎΠΏΡƒΡ…ΠΎΠ»ΡŒ. ΠšΡ€ΠΎΠ²ΡΠ½Ρ‹Π΅ Π°Π½Π°Π»ΠΈΠ·Ρ‹ ΠΏΠΎΠΊΠ°Π·Ρ‹Π²Π°ΡŽΡ‚ ΠΎΠ±Ρ‰Π΅Π΅ состояниС ΠΆΠΈΠ²ΠΎΡ‚Π½ΠΎΠ³ΠΎ. Π§Π΅Ρ€Π΅Π· 2 Ρ†ΠΈΠΊΠ»Π° лСчСния ΠΌΡ‹ ΠΈΠΌΠ΅Π΅ΠΌ Ρ…ΠΎΡ€ΠΎΡˆΠ΅Π΅ прСдставлСниС ΠΎΠ± эффСктивности.